原标题:医生担忧!一女子五脏六腑全部反着长:已顺利出院
在影视作品中,会出现诸如心脏长在右边的人物,在中枪或者中刀之后,可以幸免一死,当然,这样的人在现实生活中也确实存在,不过你见过 五脏六腑全部反着长 的人吗?
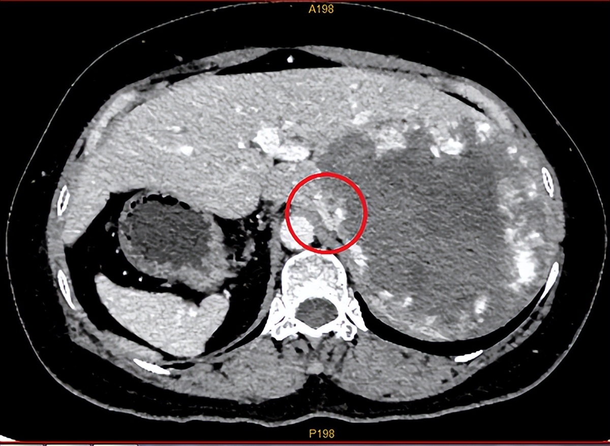
近日消息,广西医科大学附属武鸣医院接诊了一位特殊的病人卢女士。她因为上腹不适到医院就医,医生检查后发现卢女士不仅长了一个巨大血管瘤,而且器官内脏还是反着长的!

据医生介绍,卢女士的血管瘤体积巨大,已经占据她整个右肝范围,必须进行手术,但是,血管瘤一旦在术中破裂,止血异常困难,手术可能危及生命。
更让人感到棘手的是, 卢女士反着长的器官极大增加了手术难度 ,属于国内外均罕见记载的疑难手术病例。
最终历经5个小时的手术后,医生从卢女士体内切除出一个15 x 14×12厘米的巨大血管瘤,目前,卢女士恢复良好,已顺利出院。

图片来源:广西医科大学附属武鸣医院
医院肝胆外科主任介绍,“镜面人”是完全性胸腹腔内脏器反位(SIT) 的俗称,是指胸腹腔器官以及腹膜外的肾脏、肾上腺等均与正常解剖位置呈镜像分布,通俗来讲就是五脏六腑反着长。
“镜面人”为罕见的先天性畸形,发病率约为百万分之一, 而同时患有巨大肝血管瘤的概率仅千万分之一 。
他同时提醒称,内脏反位通常并不会影响人体健康,可一旦患病,尤其是需要手术治疗时,就会给医生带来巨大的障碍。
来源:快科技