嗨,大家好,我是真菌“小念”,
我的学名叫 白色念珠菌 ,
你可能并不熟悉我,
但我是无处不在的哦。
平时我默默地 藏身在你们的口腔内 ,
你没发现而已。
当时机成熟时
我就会出来兴风作浪,
引起口腔黏膜的病变。

一、什么是“白色念珠菌”?

念珠菌是真菌的一种。
我们是个大家族,
总共有200多个品种,
白色念珠菌是其中毒力最强的。
别看平时的我都挺怂,
是个圆圆的小胖子,
尽量不去惹是生非,
和口腔中其他细菌和平共处,
都是友好睦邻。
但是, 一旦主人抵抗力下降 ,
我就会摇身一变,
长出一节一节的菌丝,
这时我的毒力大增,
开始胡作非为,大闹口腔了。


二、“白色念珠菌”容易欺负哪些人?
一般正常人都有较强的抵抗力,我有什么不轨企图很快就会被主人的免疫系统扼制住,所以只能老老实实地潜伏着。
但是 对于新生儿、年老体弱者、长期使用广谱抗生素和免疫*制剂抑**者、艾滋病患者、肿瘤放化疗患者、佩戴全*活口**动义齿 者等人群,他们的抵抗力低,奈何不了我,就只能任我欺负了。


三、“口腔白色念珠菌病”有什么表现?
判断方法

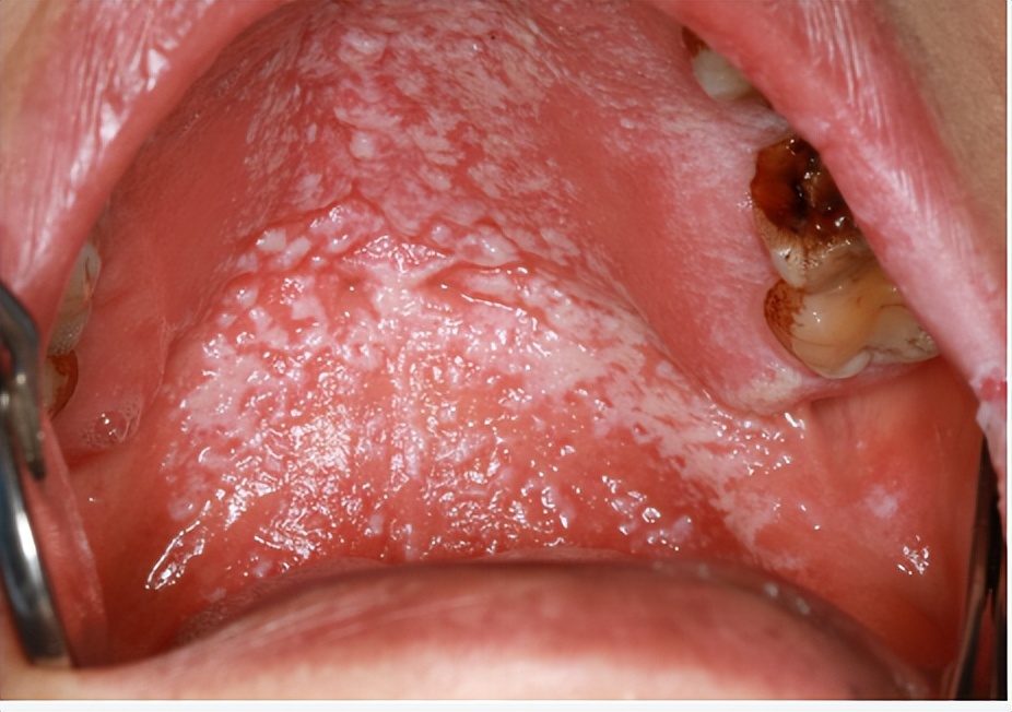
①最常见的就是 口腔黏膜上出现如凝乳状的白色斑片,用棉签稍用力是可以拭除的,露出基底部鲜红色的充血面,这种类型就是我们常说的“鹅口疮”,常见于新生儿和艾滋病患者。
②还有些表现为 舌乳头萎缩,口腔黏膜有斑片状充血,常见于长期大量使用广谱抗生素的患者。
③有些口腔内有大量牙齿缺失,佩戴了塑料或树脂材料的活动假牙患者, 在假牙覆盖下方的口腔黏膜常有亮红色水肿,有时有少量白色假膜,也跟念珠菌感染有关。
④还有少数患者 口腔黏膜上出现局限的、不可拭除的白色斑块,有时也与念珠菌感染有关,这种情况有可能发生癌变,要高度重视。
⑤除此之外,根据部位不同, 还可引起念珠菌性唇炎、口角炎等。
口腔念珠菌感染通常会有口干、味觉异常、黏膜烧灼感、口腔黏膜遇刺激性食物疼痛等症状。
四、得了“口腔念珠菌病”怎么办?
如果口腔内出现了上述症状, 建议及时到医院就诊以明确诊断及治疗。
口腔念珠菌病的治疗首先要去除易感因素,如停止滥用抗生素和糖皮质激素,清洁义齿,保持口腔卫生等。
一般局部治疗即可获得良好疗效。对 新生儿 鹅口疮,可用纱布缠在手指上,蘸取2-4%的碳酸氢钠溶液或制霉菌素混悬液轻轻擦洗宝宝口腔,同时宝宝的奶瓶、食具等一定要洗净煮沸消毒;

成年人可含服制霉菌素片,4次/日,1片/次;2-4%的碳酸氢钠溶液含漱,或浸泡义齿;其他还可局部使用咪康唑、洗必泰溶液、西地碘含片等;


念珠菌性白斑因存在癌变风险,建议密切观察随诊,必要时切除活检。
对病情顽固者,可配合口服药物,包括抗真菌药物、免疫增强剂等。
专家名片

姓名:宗娟娟
科室:黏膜牙周科
职称:主任医师 副教授 研究生导师
专长:口腔黏膜疑难疾病的诊疗;慢性牙周病的系统治疗,松牙固定术,牙周翻瓣及骨成形术,牙周植骨术,GTR术,退缩牙龈的根面覆盖术。
专家名片

姓名:黄美贞
科室:黏膜牙周科
职称:副主任医师
专长:口腔黏膜疑难疾病的诊疗;擅长中、重度牙周炎的系统治疗,种植体周围炎的治疗,松动牙固定术,各类牙龈成形,牙周翻瓣,牙周再生,牙周美学术。
作者:南昌大学附属口腔医院 黏膜牙周科 主任医师 宗娟娟
通讯员:张停停 陈尚文
编辑:黄萌楣
审校:谢涛
核发:万洪新
图片:本文部分图片来源于网络,版权归原作者所有,如有侵权请联系我们删除。