
日常生活中,我们会发现自己的牙齿不知不觉就发黄了。发黄的牙齿不仅影响了我们的形象,还为我们的口腔健康埋下了隐患。
今天小编就给大家介绍一下,牙齿发黄的原因与拯救发黄牙齿的方法。
牙齿发黄的原因
牙齿发黄有很多原因,其中最主要的原因有外源性着色和内源性着色两个方面。
外源性着色

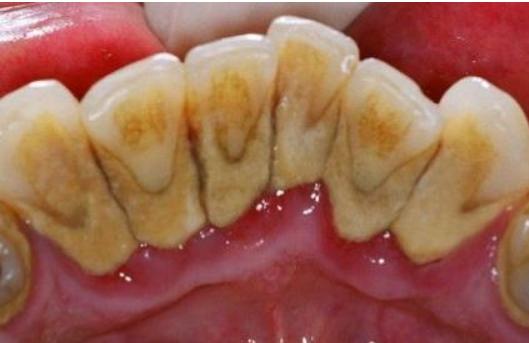
外源性着色是因为牙齿表面存在着许多细菌,它们分泌出许多黏性物质,日常饮食中的茶垢、烟渍以及饮用水中的一些矿物质吸附在这些黏性物质上,逐渐使牙齿发黄甚至变黑。
内源性着色

内源性着色是在牙齿发育过程中形成的。婴幼儿在牙齿发育过程中,如果长期饮用含有大量氟元素的水,会导致牙齿出现氟斑牙,牙面呈浅黄色或棕褐色。
看到这里,牙齿发黄的小伙伴不禁要问:“牙齿已经变黄了,我该怎么办?”、“如何让牙齿变回白色?”
关于牙齿如何变白的方法有许多种,今天就介绍几个比较基础的方法,供大家参考。

牙齿发黄怎么办
1.洗牙
洗牙是最常见的牙齿洁治的方法,不能做到让牙齿本身变白,但是可以把牙齿表面的脏东西或是牙石洗掉,恢复牙齿本色,所以牙齿看上去好像变白了!
适用情况:
像牙渍,烟斑,或是牙结石,都可以通过洗牙的方式来清洁。当然如果烟斑比较严重的话,还是建议在洗牙后给牙齿做个美白。
洗牙的频率:
保持每年洗1~2次牙,不仅让牙齿变得干净,还能同时做一个口腔检查,让口腔更健康,更能及时发现口腔问题,做到早发现早治疗。

2.冷光美白
冷光美白技术是采用高强度蓝光,隔除有害的紫外线与红外线,将美白剂快速渗透至牙齿深层,与所附着色素发生置换反应,从而达到美白牙齿的效果。整个冷光照射过程仅需30~40分钟,美白剂不接触牙龈,对牙齿结构及珐琅质不会造成伤害,被公认是安全有效的牙齿脱色技术。适用于轻度的氟斑牙等内源性着色牙有美白效果。

3.瓷贴面美白
美白效果非常显著。除了美白了牙齿,瓷贴面还可以改善牙齿的形态,牙齿看起来更完美。瓷贴面可以在相对少磨牙的情况下用瓷修复材料粘结覆盖牙齿表面,从而恢复牙齿的正常形态和改善色泽。特别适用于严重的氟斑牙、四环素牙、牙齿缺损、牙齿间隙过大等情况。