头颅 T1WI 高信号和 T2WI 低信号一样少见,丁香园 amorst 版主总结过头颅 T2WI 低信号的 8 种情况,这次我们一起来总结下 T1WI 高信号的 6 种情况。
1. 轧(ga)增强造影剂;
2. 血红蛋白降解产物(细胞内、细胞外的高铁血红蛋白);
3. 包含脂质的病灶(脂肪瘤、皮样囊肿、植入性脂肪物质、层状坏死);
4. 含有高浓度蛋白质的病灶(胶样囊肿、颅咽管瘤、Rathke’s 裂囊肿、垂体后叶异位);
5. 黑色素(转移黑色素瘤);
6. 病灶包含矿物质,比如:钙(钙化、Fahr 病)、铜(Wilson 病)和锰(肝性脑病、静脉吸毒者锰中毒)。
接下来,我们结合影像图片,逐条分析。
造影剂
一般强化都是 T1 强化,造影剂作为顺磁性物质在 T1 显示高信号,T2 显示低信号。
图 1 为神经纤维瘤病患者,注射钆造影剂后右侧桥小脑角内的迷走神经瘤成高信号
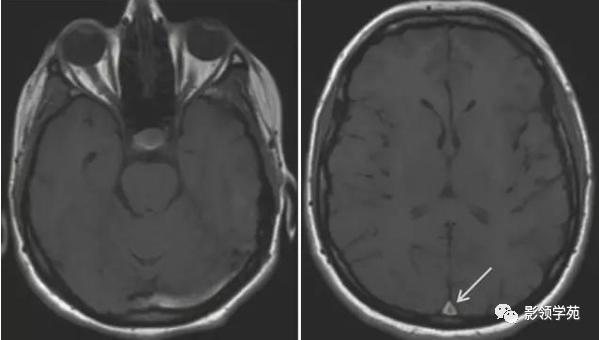
血红蛋白降解产物
只有高铁血红蛋白才会显示 T1 高信号。在颅内外出血中,3 天左右出现细胞内高铁血红蛋白,7 天左右出现细胞外高铁血红蛋白,这时候都显示 T1WI 高信号。并且在静脉窦血栓中也可以出现这种情况。

图 2 左图为左侧乙状窦血栓;右图上矢状窦血栓
含脂物质
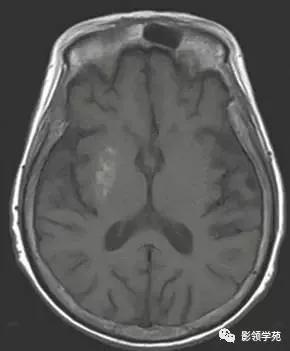
脂肪瘤、皮样囊肿、其他富含脂肪的肿瘤(畸胎瘤、富含脂肪的脑膜瘤或者室管膜瘤)、医源性植入物(最常见的为经蝶骨脑垂体手术填充物)和皮质层状坏死。
图 3 左图为四叠体池的脂肪瘤;右图为右侧颞叶的皮质层状坏死(皮质层状坏死可以发生在皮层也可以发生在深部灰质)
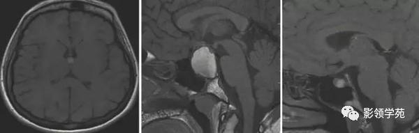
富含蛋白质物质
由于富含蛋白质颅内病灶以 T1 高信号为特征的表现包括:胶样囊肿、颅咽管瘤(釉质上皮型)、Rathke\’s 裂囊肿以及垂体后叶异位。

图 4 左图位于 Monro 孔胶样囊肿;中图为位于蝶鞍上颅咽管瘤;右图为 Rathke’s 裂囊肿
黑色素
黑色素为顺磁性物质,呈现典型的 T1 高信号及 T2 低信号。
图 5 显示右眼球内的转移黑色素瘤
矿物质
矿物质可以呈现 T1 高信号,比如说钙、铜、铁和锰。
钙化通常在 MRI 所有序列都表现为低信号,并且 CT 对其很敏感。如果钙里面含有反磁性的钙盐合并顺磁性的阳离子,比如铁、锰,就会使 T1 呈现高信号。

图 6 Fahr 病(钙沉积)患者,显示 T1 尾状核头和壳核高信号

图 7 Wilsion 病(铜沉积)患者显示双侧苍白球高信号(较少见)
图 8 肝性脑病(锰沉积)患者显示双侧苍白球对称性 T1 高信号
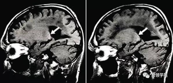
此外,没有总结进去的还有非酮症糖尿病偏侧舞蹈导致的单侧或双侧基底节区 T1WI 高信号,以及Fabry 病(α-半乳糖苷酶 A 缺乏病)导致的较有代表性的丘脑枕 T1WI 高信号。
图 9 非酮症糖尿病偏侧舞蹈导致的单侧或双侧基底节区 T1WI 高信号

图 10 Fabry 病
来源:影领学苑
【版权声明】本平台属公益学习平台,转载系出于传递更多学习信息之目的,且已标明作者和出处,如不希望被传播的老师可与我们联系删除