好久也不算久的曾经,我院接诊了一位年青姑娘,姑娘奔牙椅上一坐,掏出张相片,对我院赵大夫说:“医师,我是慕名而来,我就想把牙齿整成这么!”我院赵大夫打眼一瞧,相片那姑娘——的牙真俊呐!大约即是这么的:

我院赵大夫定了定神儿,看了看牙椅上坐着的肌肤乌黑的姑娘,说,“你就想这么?” 姑娘说“嗯!” “你俯耳过来,我有一计,无痛无创无影响,且简直免费,就能够成为这么。” 姑娘喜从天降。我院正色道:“有款软件叫Photoshop,你造么?”
临床中,我院发现,许多兄弟(女性兄弟居多)对所谓“牙齿白一点”的请求是远远超乎医师的幻想的。上图呢,很显然是位很专业的牙模——牙齿模特,而且,图像也是通过深度美化处理了的。可是,常常有兄弟拿着这么的相片来请求弄牙。我院就纳闷儿了,怎样就没见过哪位姑娘拿着维密模特的相片来请求下自己身段呢?
牙齿呢,尤其是恒牙,正常状况下即是淡黄色的,半透明的牙釉质透出的牙本质色。乳牙由于牙釉质矿化程度不行,透明度差,所以显得白一些。咱们在相片或电视,影片中看到的炫白的牙齿,多半是加了特效,你懂的。有一种牙齿的白,叫“好莱坞白”。望文生义,即是演员为了在镜头面前更抢风头而特殊请求的一种超乎寻常的白。这种白,相片或视频里看着过瘾,在生活中那就太不天然了。

从左到右,一会儿白了许多!美吗?当然,和左边比起来必定白的看着耀眼些。可是,美是全体的调和统一,不是夸大或放大的部分。如此炫白的牙齿会不会显得您肤色愈加发黄昏暗了呢?
那么,究竟啥样的牙该白,怎样去白呢?介绍两种状况——先说说四环素牙。

徐静蕾的一口大黄牙,了解不?

欧阳震华的大黄牙,有印象不?四环素牙是一代人——尤其是70后的噩梦,刚刚的两位,程度不重,靠近看本来也就这么:

这么的,能够不处理,或者做寒光美白:

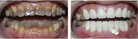
四环素牙再严峻一点呢,是这么的:

乃至是这么的:

这两种状况的确现已显着影响漂亮了,怎样办?

贴面修正。上图左边的是树脂贴面修正,右边的是全瓷贴面修正。漂亮作用的比照必定不必我院多说,很直观。咱们想嘛!白色的塑料杯和白色的瓷杯子,哪个的白色更漂亮,坚持的更久?当然,树脂贴面要廉价不少,价格优势。
还有一种让牙齿变色的疾病,叫——氟斑牙。

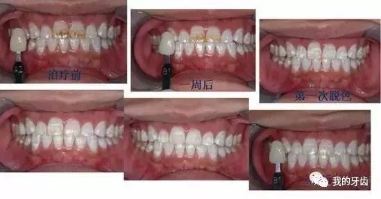
轻度的氟斑牙,外观上还能承受,是吧?想更漂亮一点呢,能够这么:

激光美白或寒光美白皆可,作用不错。

这么的,用美白的方法也能够处理↓

即是色彩上不那么均匀天然,可是价格比做瓷贴面要廉价不少。假如想美白作用非常好能够这么做:

部分打磨,外加屡次漂白的方法,美白作用也许更佳。

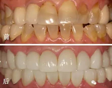
假如是这么上色太深,乃至影响外形了的,还得想方法修正了:

对于前牙区,以漂亮诉求为主的,全瓷贴面是个微创的,改善外形和色彩的好方法。
全瓷贴面相对咱们多见的烤瓷牙而言,磨除的牙体安排更少,所以并发症更少,牙髓反响更轻-乃至没有,漂亮作用非常好。全瓷贴面除了遮色,还能这么:

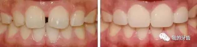
△封闭过大的前牙空隙

△康复少数的牙体安排缺损
假如想到达一个非常好的漂亮作用,需要把浅笑时暴露的牙齿悉数用全瓷贴面处理↓

不然,前后牙比照作用也许更悬殊↓

还有的兄弟,既不是四环素牙,也不是氟斑牙,即是想让牙齿再白一点,问我,超市里买的美白牙贴能用吗?本来吧,一切的美白牙贴主要原理即是个氧化复原反响,而这个氧化复原反响是可逆的。所以呢,你心里老是念念想要试试,那就试试吧。高兴就好。主要别看啥养生节目,别听各路大仙儿的偏方就好,不要测验啥橘子皮刷牙,草莓籽刷牙,白醋漱口啥的民间妙招就好。
真想美美白,当然是找个靠谱的牙医问个理解,即便家庭漂白,最佳也要在医师的辅导下去完结。