医脉通编译整理,未经授权请勿转载。
导读
嗜酸粒细胞性肠炎(EE),又称嗜酸粒细胞性胃肠炎,是一种罕见的病因不明的原发性嗜酸粒细胞性胃肠道疾病(EGID),其特征是肠黏膜组织病理学检查中存在严重的嗜酸粒细胞浸润。EE可引起广泛的胃肠道症状,如腹痛、腹泻、恶心、呕吐、腹胀或腹水,考虑到非特异性的临床表现和检查结果,其诊断需要高度的临床可能性。在此,我们将讨论关于EE的诊断、临床特征和治疗的最新发现。

如何诊断嗜酸性肠炎
EE患者大多表现出非特异性胃肠道症状,确诊需要证明至少一个肠段存在病理性嗜酸细胞浸润。值得注意的是,嗜酸性粒细胞是免疫细胞,通常位于肠黏膜固有层内,食道除外。固有层嗜酸性粒细胞从十二指肠到盲肠增加,然后从右结肠到直肠减少。
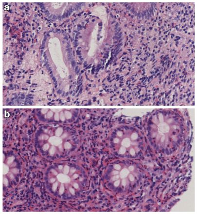
因此,确定病理性嗜酸细胞浸润的截止点应考虑肠道活检的定位。在十二指肠,大多数研究使用20个嗜酸性粒细胞/高倍视野(×400)诊断EE。除了固有层中的嗜酸性粒细胞外,组织学上有利于EE的其他标志物还有上皮或肌肉层中的嗜酸性粒细胞、嗜酸性粒细胞脱粒(由于嗜酸性粒细胞活化导致嗜酸性粒细胞主要碱性蛋白的细胞外沉积)、绒毛萎缩、隐窝增生或脓肿以及上皮变性/再生因子的变化(图1)。

图1 嗜酸性肠炎患者的组织学表现。a.女性嗜酸性肠炎患者十二指肠嗜酸性浸润。嗜酸性粒细胞对固有层的密集浸润、脱粒迹象和嗜酸性粒细胞对十二指肠上皮的浸润(苏木精-伊红染色,放大倍率×40)。b.男性嗜酸性肠炎患者结肠嗜酸性细胞浸润。嗜酸性粒细胞呈红色,核呈分叶状。图中,不仅固有层中嗜酸性粒细胞数量增加,而且结肠上皮中嗜酸性粒细胞的异常存在和脱粒迹象(细胞外呈红色)(苏木精-伊红染色,放大倍率×40)。
分析腹水(如有)或手术标本(如有)也可能在证明嗜酸性粒细胞异常存在方面发挥重要作用。因此,EE的诊断需要出现与肠道病理性嗜酸细胞浸润相关的胃肠道症状,排除肠道嗜酸细胞增多的继发原因。
嗜酸性肠炎的临床特点
EE患者常有非特异性胃肠道症状,如腹痛、腹泻、腹胀和恶心。在EE患者中描述的其他不太常见的症状是呕吐、腹水、直肠出血和黄疸。此外,EE患者可能会出现其疾病的并发症作为首发临床表现(梗阻、狭窄、腹膜炎)。临床表现取决于肠壁内嗜酸细胞浸润的深度。
EE最初由Klein等人分类。根据所涉及的主要肠道层分为三种不同形式:
(1)以主要的黏膜炎症为特征的黏膜形式,伴有腹泻、腹痛和吸收不良或蛋白丢失性肠病的症状;
(2)以肠狭窄、腹痛、恶心和呕吐为特征的肌肉形式,可导致肠梗阻;
(3)以富含嗜酸性粒细胞的腹水为特征的浆膜下型,伴有腹胀和腹痛。
EE患者的临床表现也可能因沿肠道分布的嗜酸细胞浸润而有所不同。事实上,肠道的所有部分都可能与每个部分的特定症状有关。消化性嗜酸性粒细胞增多症最常见的部位是胃和近端小肠,据报道,约40-80%的EE患者患有此症。
在一项进行系统结肠活检的研究中,多达80%的EE患者报告有结肠浸润。值得一提的是,EE的非特异性表现需要对怀疑诊断的患者的所有肠段进行系统的活检。
EE患者血液中的主要异常是嗜酸性粒细胞计数升高。EE患者血液中的嗜酸性粒细胞含量非常高(>3000/mm3),尤其是浆膜下疾病的患者。EE的另一个生物学标志是血清IgE水平异常升高,在50%以上的EE患者中观察到。在患有蛋白质丢失性肠病、吸收不良或肠道炎症的EE患者中,还可以看到其他一些生物学异常,如低蛋白血症、缺铁、脂肪热和C反应蛋白增加。注意,25%的患者未观察到外周血嗜酸细胞增多,但不应排除EE的诊断。
EE患者的影像学研究结果是非特异性的。只有肠道活检才能确诊。上消化道内窥镜检查和回肠镜检查可能在宏观上正常,或仅显示轻微的粘膜异常,如红斑、糜烂、水肿或结节。胶囊内镜检查有助于探索整个小肠,发现传统内窥镜检查无法发现的病变,但此检查无法进行活检。因此,对于远端空肠或近端回肠嗜酸细胞浸润的患者,需要进行肠镜检查以获得活检并确认EE。
嗜酸性肠炎的治疗
EE的治疗具有挑战性,因为文献中没有明确的建议和极少的循证数据。表4总结了已在EE患者中使用和评估的治疗方法。值得注意的是,大约40%的EE患者的病情会自发缓解。
表1 EE的治疗

➤ 饮食
在食物过敏方面,我们提出了几种治疗EE患者的饮食策略。当检测到有限数量的食物过敏原时,患有EE的患者应保持有针对性的食物排除疗法。当确定有许多或没有过敏原时,可以测试更具侵略性的经验性食物排除疗法或要素饮食。迄今为止,文献中的总体数据不足以推荐常规管理中的经验性和完全消除饮食。
➤ 皮质类固醇
全身皮质类固醇的使用是EE患者的主要治疗方法之一。大多数病例系列报告皮质类固醇疗效良好,临床缓解率达到50%到90%。使用0.5至1 mg/kg的剂量开始治疗数周,在6至8周逐渐减少剂量。大约20%的EE患者需要低剂量的强的松来维持临床缓解。
为了避免皮质类固醇的副作用,布地奈德也可以使用,它具有较低的全身吸收。事实上,已经证明布地奈德在9 mg/d 剂量的诱导和维持临床缓解是有效的。9 mg/d的初始剂量可以逐渐减少到6 mg/d,如果需要,可使用3 mg/d的剂量进行维持治疗。
➤ 硫唑嘌呤
硫唑嘌呤已用于治疗对皮质类固醇不敏感或依赖的EE患者。EE患者的常规剂量与IBD患者使用的剂量相似(2–2.5 mg/kg)。
➤ 生物制剂
在EE的一些案例研究中也报告了生物制剂。美泊利单抗(mepolizumab)是一种抗IL-5单克隆抗体,曾在嗜酸细胞性食管炎中进行过检测,适用于患有复杂EE病程的患者。据报道,4例EE患者的组织和外周嗜酸细胞增多症有所改善,但没有缓解症状。
奥马珠单抗(omalizumab)是一种抗IgE单克隆抗体,也被用于治疗EE,改善组织学病变。英夫利昔单抗和阿达木单抗是两种抗肿瘤坏死因子单克隆抗体(抗肿瘤坏死因子),在某些病例报告中被认为是诱导难治性EE缓解的有效方法。
➤ 其他治疗
其他治疗方法包括抗组胺药、孟鲁司特和色甘酸钠。酮替芬是二代H1抗组胺药,用于抑制肥大细胞介体的释放。
孟鲁司特是一种选择性白三烯(LTD4)受体拮抗剂,常用于治疗哮喘,其剂量为5-10 mg/d。色甘酸钠是一种肥大细胞稳定剂,可阻止免疫介质的释放和嗜酸性粒细胞的后续激活。它已被用于治疗EE,在一些病例报告中有一定疗效。这些药物在EE患者中的研究结果具有矛盾性,需要进一步的前瞻性研究。
结论
EE是一种罕见的疾病,以嗜酸性粒细胞浸润肠道为特征。EE患者有非特异性的胃肠道症状,这取决于嗜酸细胞沿肠和肠壁浸润的位置。建议对胃肠道症状不明确或嗜酸性粒细胞血计数升高的患者进行系统的肠道切片检查,以避免误诊EE。
怀疑过敏在EE的发展中起作用,但导致EE的确切病理生理机制仍不清楚。皮质类固醇疗法是治疗EE的常用方法,对大多数患者疗效良好。
食物排除和基本饮食应仅限于确诊食物过敏原的患者。大多数EE患者会出现良性病程,很少复发。经常复发或慢性持续病程需要皮质类固醇或免疫*制剂抑**的维持治疗。
医脉通编译自:Diagnosis, Natural History and Treatment of Eosinophilic Enteritis: a Review.Current Gastroenterology Reports (2018) 20: 37.
对医务人员而言:加班是日常的,值班是必须的,随时待命遇突发情况回医院是逃不掉的。
辛苦一年,各行各业都在进行年终盘点,来聊聊您享受了什么年终福利?是否符合您的预期?