冠状动脉磁共振造影(CMRA)是冠状动脉成像的新方法,无电离辐射、无创,有望成为目前冠状动脉造影技术的替代方案。采用呼吸和心电门控技术获得自由呼吸三维CMRA是目前最常用的方法。研究表明,全心CMRA可以发现明显的冠状动脉疾病(CAD),预测严重的心脏不良事件。CMRA成像时间长、空间分辨率低、操作依赖性强限制其广泛应用,但是随着高场强磁共振成像和多通道心脏线圈等新技术的应用,CMRA可在较短的时间成像,准确诊断CAD。
冠状动脉MR造影
★ 冠状动脉MR造影(CMRA)是无创、无辐射的冠状动脉成像方法(图7.1)。
★ 全心自由呼吸三维CMRA可以全面显示心脏冠状动脉主干,可以在轴位图像上逐层观察。
★ 在1.5T MRI成像采用SSFP MR序列,无须钆造影剂即可获得良好的血液对比度。

图7.1 1.5T正常冠状动脉受试者,自由呼吸全心CMRA。采用1.5T MR获得非对比增强的三维CMRA图像,采用稳态自由进动(SSFP)序列、导航回波门控、T2预扫描、光谱预饱和反转恢复脂肪饱和(TR/TE,4.6/2.3ms;翻转角度,90°;SENSE因子4;FOV 280mm×280mm×120mm;采集矩阵256×256×80;重建矩阵512×512×160)。
(a)右冠状动脉(RCA)薄层最大强度投影(MIP)图像。(b)左主干和前降支(LAD)薄层MIP图像。(c)RCA的VR图像。(d)LAD和LCX的VR图像。
1. 图像采集

图7.2 1.5T冠状动脉MR造影,自由呼吸脉冲序列原理图。图像采集在心电图的R波触发延迟后开始。先行T2预扫描(抑制静脉和心肌信号),再行光谱预饱和反转恢复脂肪饱和(抑制脂肪信号),导航脉冲用于呼吸运动补偿。以上组合序列在每个心脏周期重复采集。
★ 在自主呼吸三维CMRA中,需考虑心脏收缩和呼吸运动对成像的影响(图7.2)。
★ 心电(ECG)门控用于显示心脏运动。在心动周期中,需选择冠状动脉相对静止期成像,可在电影成像中,垂直于心脏的长轴位,观察右冠状动脉(RCA)近-中段来确定。
★ 采用导航回波方法跟踪患者的膈肌运动,用于呼吸门控和呼吸运动矫正。
★ 腹带可减少呼吸运动,提高导航门控全心CMRA扫描的成功率。
★ 舌下含服硝酸甘油诱导冠状动脉血管扩张有助于提高CMRA的信噪比。
★ 自主呼吸CMRA的时间分辨率依赖于成像参数设定,心率过快的患者,不需β-受体阻滞剂控制心率也能完成CMRA检查。
★ 与心脏CT相比,心动周期(30~75ms)中的狭窄采集窗可减少心脏收缩导致的冠状动脉图像模糊。
2. 图像分析
★ CMRA可以在原始三维图像、多平面重建图像(MPR)、薄层最大信号强度投影(MIP)或容积重建图像(VR)上分析。
★ CMRA可评估是否存在明显的冠状动脉狭窄。
★ 目前全心CMRA空间分辨率低,尚不能用于冠状动脉的管腔狭窄程度的定量分析。
CMRA诊断冠状动脉疾病

图7.3 冠状动脉CT造影与MR造影比较LAD钙化斑块。患者女性,64岁,胸痛,采用1.5T MR获得非对比增强的三维CMRA图像,采用稳态自由进动(SSFP)序列、导航回波门控、T2预扫描、光谱预饱和反转恢复脂肪饱和(TR/TE,4.6/2.3ms;翻转角度,90°;SENSE因子4;FOV280mm×280mm×120mm;采集矩阵256×256×80;重建矩阵512×512×160)。
(a)CT多平面重建(MPR)图像显示LAD近段弥漫性钙化斑块(箭头)。(b)冠状动脉MR造影薄层MIP图像显示LAD(箭头)。

图7.4 患者男性,65岁,胸痛,LAD重度狭窄。采用1.5T MR获得非对比增强的三维CMRA图像,采用稳态自由进动(SSFP)序列、导航回波门控、T2预扫描、光谱预饱和反转恢复脂肪饱和(TR/TE,4.6/2.3ms;翻转角度,90°;SENSE因子4;FOV 280mm×280mm×120mm;采集矩阵256×256×80;重建矩阵512×512×160)。
全心冠状动脉造影(a)薄层MIP和(b)VR图像显示LAD重度狭窄(箭头)。(c)冠状动脉MR造影(箭头)和有创的冠状动脉造影(箭头)一致性良好。
★ CMRA可评估冠状动脉的管腔,甚至重度钙化区域(图7.3)。
★ 非对比增强CMRA可评估肾衰竭的CAD患者。
★ 全心CMRA已证实可用于评估重度冠状动脉疾病(图7.4)。
★ CMRA与MR电影成像、MRI灌注成像和晚期钆增强MR成像联合,综合评价CAD(图7.5和图7.6)。
★ 全心CMRA可预测疑似CAD患者心脏不良事件的风险。

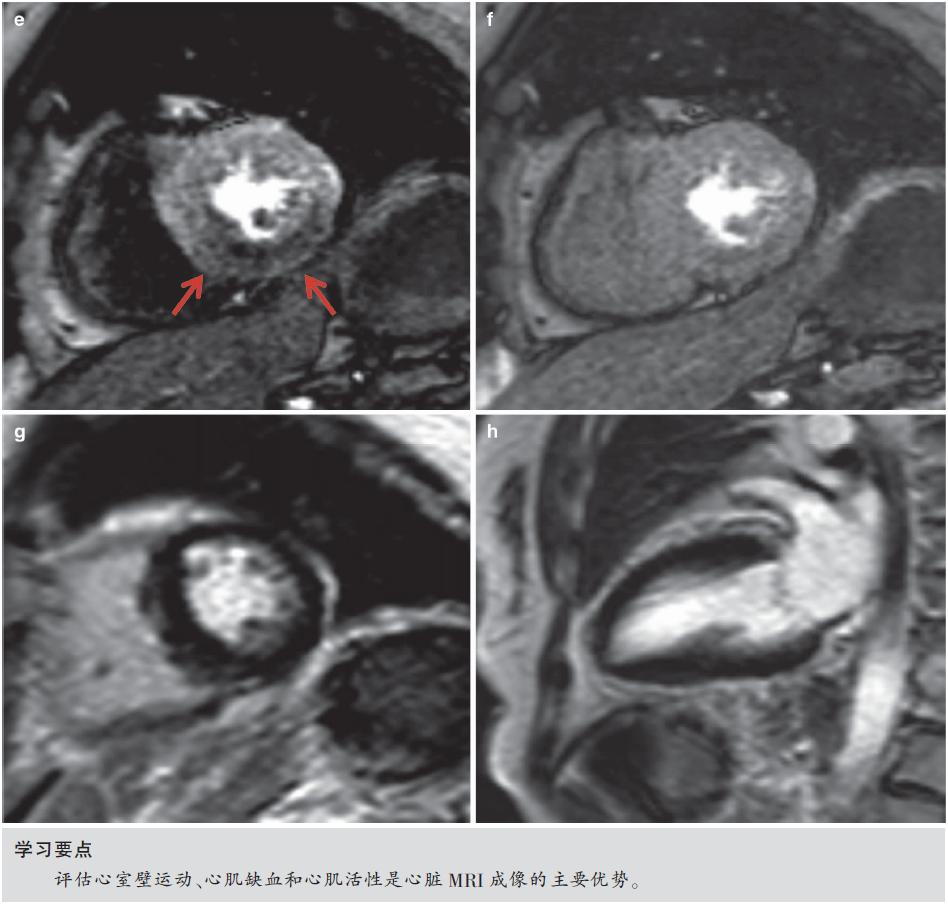
图7.5 心肌缺血,RCA明显狭窄。患者女性,82岁,胸痛。采用1.5T MR获得非对比增强的三维CMRA图像,采用稳态自由进动(SSFP)序列、导航回波门控、T2预扫描、光谱预饱和、反转恢复脂肪饱和(TR/TE,4.6/2.3ms;翻转角度,90°;SENSE因子4;FOV 280mm×280mm×120mm;采集矩阵256×256×80;重建矩阵512×512×160)。
(a)全心冠状动脉MR造影MIP图像显示RCA明显狭窄(箭头)。(b)冠状动脉MR造影与有创冠状动脉造影(箭头)之间存在良好的一致性。(c)舒张末期的短轴MR电影图像,(d)收缩期并不显示明显的区域性室壁运动异常。(e)负荷和(f)静息时心肌灌注MR图像显示下壁的严重缺血(箭头),与RCA供血区对应。(g,h)晚期钆增强MR图像未见心肌瘢痕。

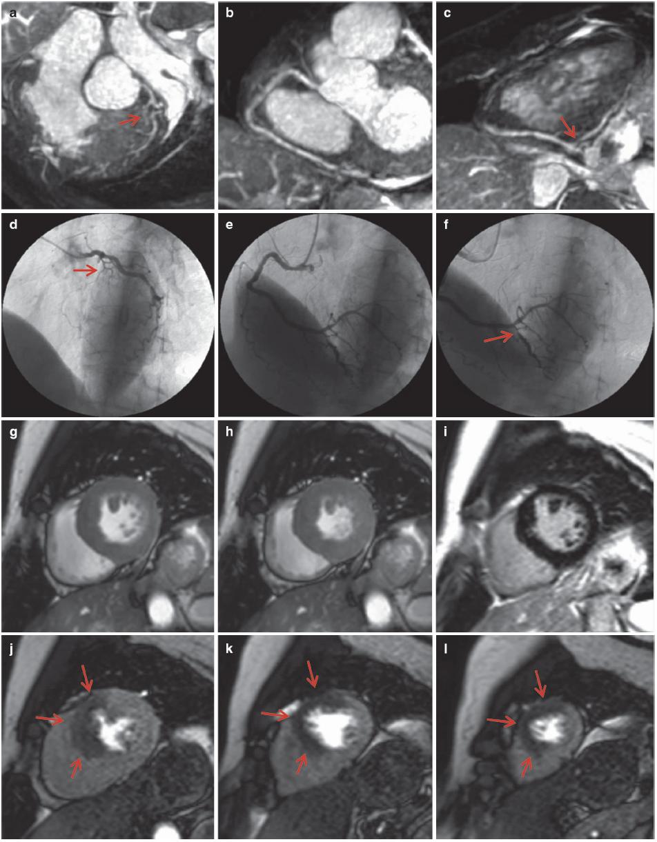
图7.6 心肌缺血,LAD明显狭窄。患者男性,40岁,胸痛。1.5T MR获得非对比增强的三维CMRA图像,采用稳态自由进动(SSFP)序列、导航回波门控、T2预扫描、光谱预饱和、反转恢复脂肪饱和(TR/TE,4.6/2.3ms;翻转角度,90°;SENSE因子4;FOV 280mm×280mm×120mm;采集矩阵256×256×80;重建矩阵512×512×160)。
(a)全心冠状动脉MR血管造影MIP图像显示LAD近段重度狭窄或闭塞(箭头)。(b,c)后降支(PDA)也有明显狭窄。(d-f)冠状动脉MR血管造影和冠状动脉造影(箭头)之间有良好的一致性。(g)舒张末期的短轴电影MR图像,(h)收缩末期未见明显的区域性室壁运动异常。(i)晚期钆增强MR图像未见心肌瘢痕。(j-l)负荷和灌注MR图像显示前间壁严重缺血(箭头),与LAD供血区对应。
技术进展
★ 成像时间长是全心三维CMRA的主要不足。
★ 32通道心脏线圈可采用更高的并行采集成像加速系数(SENSE因子≥4),明显降低CMRA的成像时间(几分钟至10分钟)。
★ 成像时间缩短可减少采集失败的可能性(呼吸门控采集)。
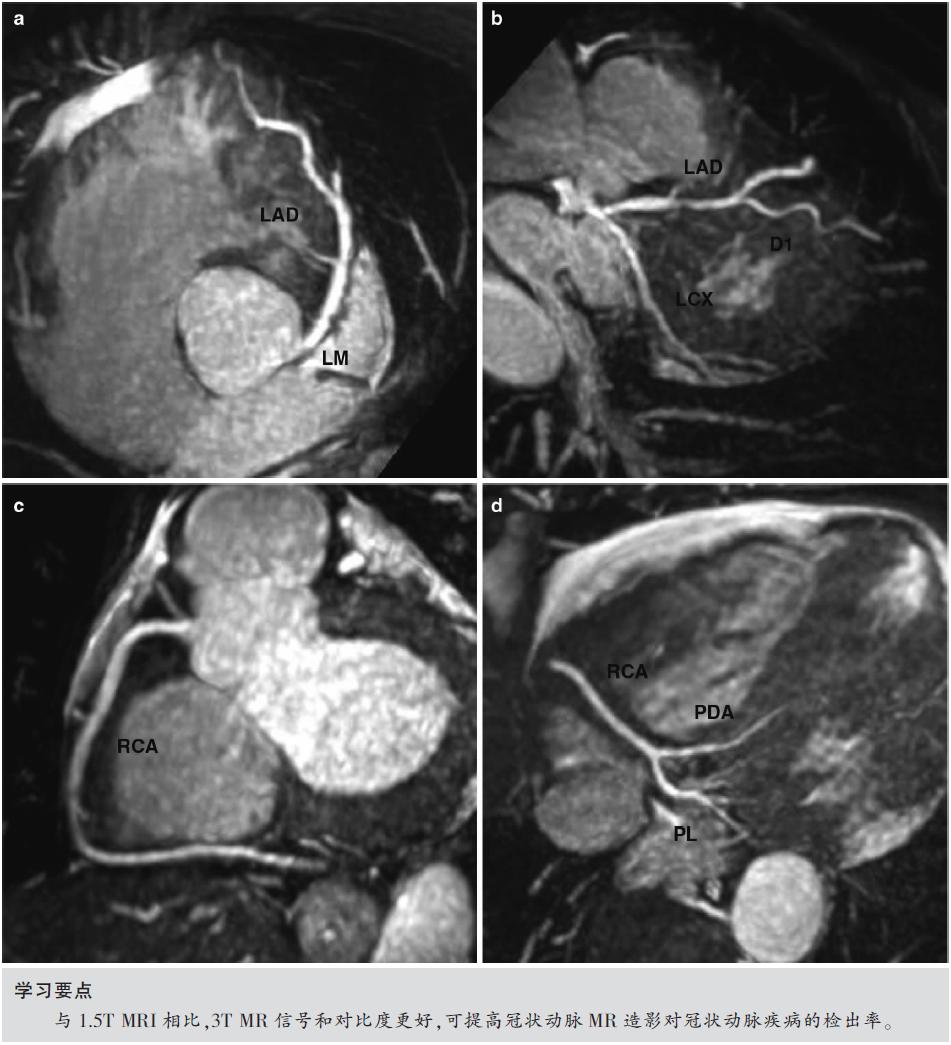
★ 与1.5T系统相比,高场3.0T系统成像信号和对比度更高,可提高冠状动脉MR造影对冠状动脉疾病的检出率(图7.7)。
★ 高场强MRI设备磁场不均匀性增加,射频脉冲热量沉积;3.0T MR成像中,临床常采用梯度回波序列代替SSFP序列,可获得较好的图像质量。
★ 使用钆造影剂可提高3.0T梯度回波CMRA的血液对比度(图7.8和图7.9)。

图7.7 正常志愿者对比增强3.0T全心冠状动脉造影。注射0.15mmol/kg钆喷酸葡胺(Magnevist;Schering,Berlin,Germany)后,通过使用平衡相中的脂肪饱和脉冲获得梯度回波三维CMRA图像(TR/TE,4.2/2.1ms;翻转角度,20°;SENSE因子4;FOV 280mm×280mm×120mm;采集矩阵256×256×80;重建矩阵512×512×160)。
(a)左主干(LM)和LAD的MIP图像。(b)LAD薄层MIP图像,第一对角支(D1)。(c)RCA薄层MIP图像。(d)RCA远端、后降支(PDA)和后外侧支(PL)的MIP图像。

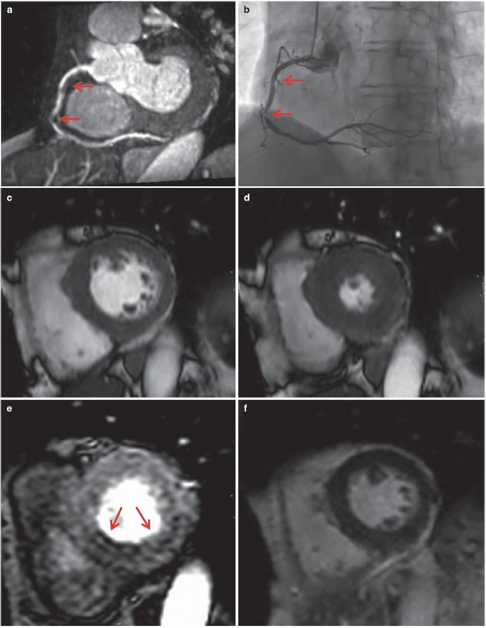
图7.8 心肌缺血,RCA明显狭窄。患者女性,69岁,胸痛。注射0.15mmol/kg钆喷酸葡胺后,通过使用平衡相中的脂肪饱和脉冲获得梯度回波三维CMRA图像(TR/TE,4.2/2.1ms;翻转角度,20°;SENSE因子4;FOV 280mm×280mm×120mm;采集矩阵256×256×80;重建矩阵512×512×160)。
(a)全心冠状动脉MR造影MIP图像显示RCA明显狭窄(箭头)。(b)冠状动脉MR造影与冠状动脉造影(箭头)之间存在良好的一致性。(c)舒张末期的短轴电影MR图像和(d)收缩末期未见明显的区域性室壁运动异常。(e)负荷心肌灌注MR图像显示下壁(箭头)缺血,其对应于RCA供血区域。(f)晚期钆增强MR图像未见心肌瘢痕。

图7.9 心肌缺血,LCX明显狭窄。患者女性,78岁,胸痛。注射0.15mmol/kg钆喷酸葡胺后,通过使用平衡相中的脂肪饱和脉冲获得梯度回波三维CMRA图像(TR/TE,4.2/2.1ms;翻转角度,20°;SENSE因子4;FOV 280mm×280mm×120mm;采集矩阵256×256×80;重建矩阵512×512×160)。
(a)全心冠状动脉MR造影MIP图像显示LCX(箭头)明显狭窄。(b)冠状动脉MR造影与冠状动脉造影(箭头)之间存在良好的一致性。
小结
★ 自主呼吸三维全心CMRA可以逐层轴位三维扫描,清晰显示主要冠状动脉分支。
★ 研究表明,全心CMRA可检测严重的冠状动脉疾病。
★ CMRA与电影MR成像、负荷灌注MR成像和晚期钆增强MR成像联合,综合评估CAD。
购买信息
书名:心脏CT和MRI实用教程
出版社:天津出版传媒集团/天津科技翻译出版有限公司出版
现价:158元