主动脉夹层(aortic dissection) 即主动脉动脉壁夹层形成,曾称为主动脉夹层动脉瘤(dissection aortic aneurysm),系指由各种原因造成的主动脉壁内膜破裂,血液通过内膜的破口进入主动脉壁中层而形成血肿导致血管壁分层,剥离的内膜片分隔形成“双腔主动脉”。

主动脉夹层病因
什么样的人容易患有主动脉夹层呢?

高血压疾病,80%以上主动脉夹层的患者有高血压,不少患者有囊性中层坏死。临床与动物实验发现,不是血压的高度而是血压波动的幅度,与主动脉夹层分裂相关。

遗传性疾病,如马凡综合征中主动脉囊性中层坏死颇常见,发生主动脉夹层的机会也多,其他遗传性疾病如特纳(Turner)综合征、埃-当(Ehlers-Danlos)综合征,也有发生主动脉夹层的趋向。

妇女妊娠期,原因不明,猜想妊娠时内分泌变化使主动脉的结构发生改变而易于裂开。
主动脉夹层临床表现
视病变部位而不同,出现以下几种主要症状
(1)疼痛
夹层分离突然发生时多数患者突感胸部疼痛,向胸前及背部放射,随夹层涉及范围而可以延至腹部、下肢、壁及颈部。疼痛剧烈难以忍受,起病后即达高峰,呈刀割或撕裂样。少数起病缓慢者疼痛可以不著。

(2)高血压
患者因剧痛而有休克外貌,焦虑不安、大汗淋漓、面色苍白、心率加速,但血压常降低或者增高,如外膜破裂出血则血压降低。不少患者原有高血压,起病后剧痛使血压更增高。

(3)心血管症状
①主动脉瓣关闭不全。夹层血肿涉及主动脉瓣环或影响心瓣-叶的支撑时发生,故可突然在主动脉瓣区出现舒张期吹风样杂音,脉压增宽,急性主动脉瓣返流可以引起心力衰竭。
②脉搏改变,一般见于颈、肱或股动脉,一侧脉搏减弱或消失,反映主动脉的分支受压迫或内膜裂片堵塞其起源。
③胸锁关节处出现搏动或在胸骨上窝可触到搏动性肿块。
④可有心包摩擦音,夹层破裂入心包腔可引起心包堵塞。
⑤胸腔积液,夹层破裂入胸膜腔内引起。

(4)神经症状 主动脉夹层延伸至主动脉分支颈动脉或肋间动脉,可造成脑或脊髓缺血,引起偏瘫、昏迷、神志模糊、截瘫、肢体麻木、反射异常、视力与大小便障碍。
(5)压迫症状 主动脉夹层压迫腹腔动脉、肠系膜动脉时可引起恶心、呕吐、腹胀、腹泻、黑粪等症状;压迫颈交感神经节引起霍纳(Horner)综合征;压迫喉返神经致声嘶;压迫上腔静脉致上腔静脉综合征;累及肾动脉可有血尿、尿闭及肾缺血后血压增高。
主动脉夹层病理分析

基本病变为囊性中层坏死。动脉中层弹性纤维有局部断裂或坏死,基质有粘液样和囊肿形成。正常成人的主动脉壁耐受压力颇强,使壁内裂开需66.7kPa(500mmHg)以上。因此,造成夹层裂开的先决条件为动脉壁缺陷,尤其中层的缺陷。夹层分裂常发生于升主动脉,此处经受血流冲击力最大,而主动脉弓的远端则病变少而渐轻。主动脉壁分裂为二层,其间积有血液和血块,该处主动脉明显扩大,呈梭形或囊状。病变如涉及主动脉瓣环,则环扩大而引起主动脉瓣关闭不全。病变可从主动脉根部向远处扩延,最远可达髂动脉及股动脉,亦可累及主动脉的各分支,如无名动脉、颈总动脉、锁骨下动脉、肾动脉等。冠状动脉一般不受影响,但主动脉根部夹层血块对冠状动脉开口处可有压迫作用。多数夹层的起源有内膜的横行裂口,常位于主动脉瓣的上方,裂口也可有两处,夹层与主动脉腔相通。少数夹层的内膜完整无裂口。部分病例外膜破裂而引起大出血,破裂处都在升主动脉,出血容易进入心包腔内,破裂部位较低者亦可进入纵隔、胸腔易进入心包腔内,破裂部位较低者亦可进入纵隔、胸腔或腹膜后间隙。慢性裂开的夹层可以形成一双腔主动脉,一个管道套于另一个管道之中,此种情况见于胸主动脉或主动脉弓的降支。

DeBakey将主动脉夹层分为3型:Ⅰ型夹层起自升主动脉并延至降主动脉,Ⅱ型局限于升主动脉,Ⅲ型夹层起自降主动脉并向远端延伸。此外,Daily和Miller又将主动脉夹层分为两型:凡升主动脉受累者为A型(包括DeBakeyⅠ型和Ⅱ型),病变在左锁骨下动脉远端开口为B型(即DeBakeyⅢ型),A型约占全部病例的2/3,B型约占1/3。
超声检查的方法
1.经胸超声心动图检查,嘱患者左侧卧位,将探头置于胸骨左缘观察主动脉根部和升主动脉近段病变。也可让患者右侧卧位,将探头置于胸骨右缘观察升主动脉近端病变。探头置于胸骨上窝,观察升主动脉远端、主动脉弓和胸主动脉近端的病变。经胸超声心顶图检查位于主动脉根部的病变能较好的显示,但对其他部位的主动脉病变较难显示。
2.患者禁食12h空腹状态下进行经腹部超声检查。将探头置于腹部,可显示腹主动脉病变。
3.根据主动脉夹层和主动脉瘤病变的部位,应首先选择经胸超声心动图检查和经腹超声检查,有条件者可选择经食管超声检查。

经食管超声检查的适应症
1.患者有主动脉夹层和主动脉瘤的症状和体征,为明确诊断者。
2.临床已明确诊断为主动脉夹层和主动脉瘤,需了解主动脉夹层和主动脉瘤的病变范围、类型和判断预后。
3.临床已确诊为主动脉夹层和主动脉瘤,需了解治疗效果。

超声检查的内容
1.二维超声检查,主要观察主动脉有无增宽,其内有无异常回声。
①主动脉瘤表现为主动脉局限性增宽,增宽的动脉腔内有时可见附壁血栓形成。

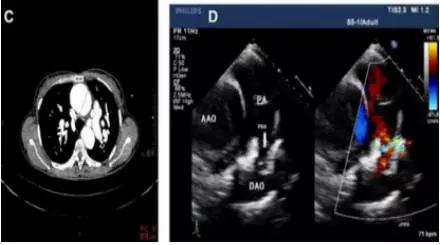
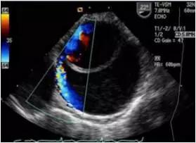
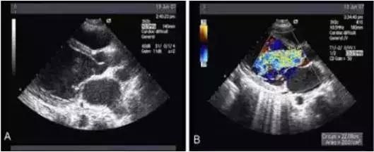
②主动脉夹层在二维超声上表现为病变部位主动脉增宽,其内可见丝裂的内膜反射,该内膜将增宽的主动脉分为真假两腔。

③有时可显示真假两腔相交通之处,表现为撕裂的内膜上有回声中断。假腔中常可显示云雾状回声反射和附壁血栓

2.多普勒检查,主要观察主动脉腔内血流情况。
夹层病变时真腔中的血流速度快,假腔中的血流速度相对慢。有时还可显示真假腔间相交通的血流,主动脉瘤时增宽的主动脉腔内的血流速度常较慢。此外,位于主动脉根部的主动脉夹层和主动脉瘤,常可显示不同程度的主动脉瓣关闭不全。

注意事项
1.根据主动脉夹层和主动脉瘤病变部位,选择不同的检查方法。
经胸超声心动图检查能较好地显示腹主动脉的病变,经食管超声检查能较好地显示位于主动脉弓部和降部的病变。

2.严格掌握经食管超声检查的要求。
无创伤性超声检查(经胸超声心动图和经腹超声检查)有些部位的主动脉夹层和主动脉瘤病变不能显示。
经食管超声检查能清楚显示某些部位的主动脉夹层和主动脉瘤病变,但应说明:由于病变本身严重,检查时有可能出现并发症。特别在病情危重者,首先选择无创伤性检查(经胸超声心动图和经腹超声),然后根据患者主动脉夹层和主动脉瘤的病变部位和病情,严格按照经食管超声检查的适应症和禁忌症选择经食管超声检查。
总结
超声心动图对诊断升主动脉夹层分离具有重要意义,且易识别并发症(如心包积血、主动脉瓣关闭不全和胸腔积血等)。
在M型超声中可见主动脉根部扩大,夹层分离处主动脉壁由正常的单条回声带变成两条分离的回声带。
在二维超声中可见主动内分离的内膜片呈内膜摆动征,主动脉夹层分离形成主动脉真假双腔征。有时可见心包或胸腔积液。
多普勒超声不仅能检出主动脉夹层分离管壁双重回声之间的异常血流,而且对主动脉夹层的分型、破口定位及主动脉瓣返流的定量分析都具有重要的诊断价值。
应用食管超声心动图。结合实时彩色血流显像技术观察升主动脉夹层分离病变较可靠。对降主动脉夹层也有较高的特异性及敏感性。
以上内容为医学V直播原创,如需转载,请联系平台!