了解更多资讯,请关注医家小二微信公众号。
在机械吱吱的运转声中,一个个忙碌的身影在仪器与仪器之间穿行。一例样本结果引起了审核老师的注意,这是一例结果触犯审核规则被拦截下来的样本:WBC 8.18×109/L、RBC 2.97×1012/L、HGB 81 g/L、PLT 60×109/L,NEU 95.2%,LYM 2.8%,报警白细胞散点图异常,仪器提示需要推片复检。

WBC -BASO散点图

WBC -DIFF散点图
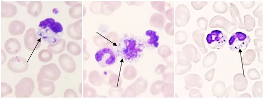
结果看似普通,但操作老师没有丝毫大意,按照科室的复检规则,把仪器染好的血涂片仔细地观察:红细胞形态较正常, 血小板减少,有核左移的现象,以晚幼粒和杆状为主,或许这就是一个普通的感染患者。
然而这并不是一个普通的病例, 操作老师很快就发现了异常。

图片源自广西医科大学附属柳铁中心医院检验科
注:箭头所示为中性粒细胞吞噬的孢子
在中性粒细胞胞体中有明显的异物,不像空泡也不像中毒颗粒,呈现出酵母样,好像有荚膜,在外周血中出现菌体可不是什么好的信号。
联系临床信息:
患者女,65岁,广西籍贯,腹痛腹泻1周入院,有艾滋病史,无淋巴结肿大,皮肤正常无皮疹。获得性免疫缺陷综合征患者免疫功能低下,多种机会性感染的病原体都有可能入侵机体,那这个病例可能是什么菌呢?

【马尔尼菲篮状菌】
流行病学:
马尔尼菲篮状菌,原名马尔尼菲青霉菌(Penicillium marneffei)是一种机会性高致病性真菌,主要累及单核吞噬细胞系统,马尔尼菲蓝状菌的易感人群主要是获得性或先天性免疫缺陷者,比如艾滋病患者、器官移植者等。有文献报道泰国北部艾滋病合并马尔尼菲青霉病是除了结核、新隐球菌之外第三大机会性感染,已逾1300例,病死率高达91.3%,为终末期艾滋病患者重要的死亡原因之一[1]。资料显示,在泰国、越南等东南亚地区有较多报道[2],在国内,八十年代首次在广西被报道,在广东、广西及云南较常见,有文献报道,在送检的九千多份样本中,真菌培养阳性率1.1%,其中马尔尼菲篮状菌检出率最高,达到了33.5%[3]。随着城镇人口流动以及HIV 疫情的发展,在北京、上海、四川、湖南等地区也有相关发现[4]。

图片源于:陈杏春《篮非蓝,青非青,马尔尼菲来拎清》
主要的动物宿主:竹鼠
目前还没有证据证明马尔尼菲菌感染是通过竹鼠传染给人,感染应该是来源于生存环境。

图片源于网络
临床表现:
马尔尼菲篮状菌感染的症状表现多样,不具备典型特征,发病急,发热,寒战,白细胞升高,贫血,肝、脾、巴结常肿大,肺或皮下或深部软组织常见多发性脓肿,甚至溶骨性的破坏,部分病例皮肤有皮疹或结节等[5]。
【结论】
回到案例,事实的真相最终被揭晓:患者艾滋病合并马尔尼菲篮状菌病,外周血中出现的菌体被白细胞吞噬。患者本身健康状况较差,感染的症状容易受到其他病症表现掩盖。
①血培养是金标准,但受制于取样部位和时机,并且培养周期较长。血液常规与显微镜形态学检查简便快捷,作为早期辅助检查,在一定程度上给予临床早期预警,及时尽快干预治疗。
②注重联合分析:血常规参数结果+散点图形+仪器报警,SF-Cube技术能够给予我们有效的提示信息,帮助分析样本。如果只简单看结果的高低,没有结合仪器的报警和图形分析,就容易丢失信息,可能就会造成误诊漏诊。
③建立完善的血细胞分析显微镜复检规则,能够从大量的临床送检血常规标本中筛出异常,能通过镜检阅片确认血细胞分析仪检测标本异常的性质,既能充分发挥血细胞分析仪的自动化与智能化的作用,又能减少漏检误诊,保证检验结果的准确。
【参考文献】
[1]Cooper CR Jr,cGinnis MR.athology of Penicillium marneffei.n emerging aquired immunodefieieney syndrome-related pathogen.rch Pathol Lab Med,1997.21:98-804.
[2]Nongnuch Vanittanakom, Chester R. Cooper Jr., Matthew C. Fisher, Thira Sirisanthana,Penicillium marneffei Infection and Recent Advances in the Epidemiology and Molecular Biology Aspects,Clinical Microbiology Reviews Jan 2006, 19 (1) 95-110; DOI: 10.1128/CMR.19.1.95-110.2006
[3]陈杏春.血培养真菌菌种分布与感染相关因素分析[J].中华医院感染学杂志,2010,20(17):2702-2704.
[4]冉玉平,赵国庆,向耘.中国大陆马尔尼菲青霉病的临床表现及流行病学特征的系统评价[C].//2008全国中西医结合皮肤性病学术会议论文汇编.2008.
[5] 邓卓霖,李志尚,马韵, 等.马尔尼菲青霉病 [J].中华病理学杂志,1987,16( 04 ): 306-308.
本文来源:检验视界网仅做分享,如有侵权请联系我们。