早期的蛀牙有方法补救吗 (蛀牙前期怎么防止恶化)

在各种抗日剧和谍战剧中常常出现这样一幕——反派们手拿着电钻狞笑着慢慢走向主角,随着令人牙软的电钻高速的转动声,主角满嘴鲜血并发出惨绝人寰的惨叫声。。。

蛀牙前期怎么防止恶化,早期蛀牙怎么处理比较好

壹哥想是不是因为这一幕太过的深刻,所以才导致曾经看过这些电视剧的人,对于去牙科看牙如此的排斥。这不,前不久就有一位壮汉问壹哥,牙齿上有个小蛀斑是不是可以不去牙科补牙,改用其它的方法补救呢?

别看这哥们五大三粗、人高马大的,在补牙这事上显然也是害怕的,那电钻的吱吱声,以及钻头在牙齿上钻磨时的酸软感觉,嗯,好吧,壹哥承认的确太有画面感。

蛀牙前期怎么防止恶化,早期蛀牙怎么处理比较好

那早期的蛀牙是不是要马上进行补牙?这里得有个前提条件,就是到底是不是真的“早期”,通俗点说就是早期的蛀牙到了一个什么程度了

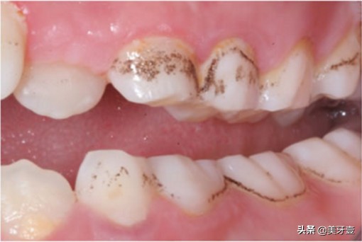
蛀牙(龋齿)的早期:牙垢沉积在牙齿表面,其内的牙菌斑代谢产生的酸开始溶解牙釉质层,致使牙釉质脱矿,牙齿中的钙减少,呈现白垩色(白斑),或是我们常见的黄褐色、黑色小斑点。

蛀牙前期怎么防止恶化,早期蛀牙怎么处理比较好

到这个程度为止,属于蛀牙的早期,再往后病变将会穿透牙釉质层,发展成为不可逆的龋洞。因此也只有在这个程度之前的早期蛀牙才有希望不用补牙,通过药物治疗,高浓度的涂氟来补救。使得氟离子进入牙齿表面,形成保护层,一方面帮助防止蛀牙状况的恶化;另一方面促进牙齿的再矿化,修复早期小蛀斑。

蛀牙前期怎么防止恶化,早期蛀牙怎么处理比较好

当然,光有牙医的治疗可不够,患者自身也很关键。因此每天在家中用合格的含氟牙膏早晚各刷牙一次是必不可少的,并且尽量少吃零食,少喝含糖的饮料。因为会蛀牙的人,肯定说明了两点,其一你的口腔卫生习惯不好;其二你的生活饮食习惯不好。所以这两点都要努力改正,不然即使牙医给你治疗了,蛀牙还是会找上你的。

蛀牙前期怎么防止恶化,早期蛀牙怎么处理比较好