滑膜炎腿没劲怎么回事 (滑膜炎用什么膏药有效)

膝盖滑膜炎怎么回事,滑膜炎三大症状

滑膜炎指滑膜出现炎性反应,表现为关节疼痛,活动时加重,关节因积液而肿胀。

膝盖滑膜炎怎么回事,滑膜炎三大症状

很多疾病都可能伴发滑膜炎的发生,像骨性关节炎、类风湿性关节炎、外伤等等。

骨性关节炎患者,关节软骨本身磨损已经非常严重,表面出现皲裂、溃疡或剥脱。如果活动过量,超过了关节能够承受的能力,关节软骨的碎屑大量产生并掉到关节腔内。

骨性关节炎不是不能维持活动,而是不能承受过度的活动。比如行走可以,但是跑跳不行,爬一两层楼尚可,但爬山不行。就像年轻人头天晚上胡吃海塞,第二天早上就又饿了,您六七十了,一顿吃撑了,一礼拜都消化不下去。

滑膜细胞一般情况下尚能维持关节在一定程度上的功能状态。此时,滑膜细胞要清理这么多碎屑,自己是力所不逮,就要召集其他的炎性细胞来此共同协作。就像警察只能维持一般状态下的治安,如果遇上*乱暴**,就得增派警力,*警武**就要出马。

滑膜细胞开始增殖,就是增加劳动力,毕竟时间紧、任务重吗!一增殖,滑膜就会变厚。为了运送更多的炎性细胞快速来此,滑膜下血管也增殖,就像马上开通更多的高速公路,直通受损的关节。并且,血管的通透性也增加,以利于炎性细胞快速下车,向关节内进发。

膝盖滑膜炎怎么回事,滑膜炎三大症状

炎性细胞都是白细胞家族的,它们可以杀灭细菌、病毒,也可以清理身体的有害物质。我们肌肉拉伤、关节扭伤、骨折等受伤时,炎性细胞一样会快速聚集在受伤部位,引起局部红、肿、热、痛。它们来到受伤部位主要目的是快速清理死去的细胞、组织,为身体修复做预前准备。

红肿热痛都是炎性细胞释放的炎性物质产生的结果。红和热是炎症反应,肿是大量液体渗出,毕竟炎性细胞要靠体液来送到受伤的部位。并且,水肿也起到液压夹板的作用限制局部的活动。疼痛是炎性物质刺激受损部位周围的痛觉神经,使其处于高敏感状态,稍受牵拉就产生剧痛,目的是让你别动了,歇着吧您那!其实这都是为了你好,但你会觉得太痛苦了。

膝盖滑膜炎怎么回事,滑膜炎三大症状

滑膜发炎后,滑膜细胞增殖,滑膜过度增厚,关节腔内充满炎性细胞、过多的滑液和纤维化的胶原组织,这些都限制了关节的正常功能。滑膜成纤维样细胞(B型)生产质量明显下降,萝卜多了不洗泥,透明质酸变小,对软骨表面的润滑作用也变差。滑膜细胞在炎症细胞侵入的刺激下,会产生清除软骨碎屑的酶(蛋白酶)。这蛋白酶可是六亲不认,它才不管你是碎屑还是健康的软骨,一律见着就消灭,这又会导致碎屑增多,反过来进一步刺激滑膜。

关节腔本来是轻度负压状态,现在充满滑液,关节肿胀,关节就变得松弛不稳。炎性物质刺激关节囊的痛觉神经,使其致敏,对牵拉、肿胀极其敏感,稍一活动就产生疼痛。

膝盖滑膜炎怎么回事,滑膜炎三大症状

正常的滑液应该是无色至淡黄色的透明液体,滴一滴在拇指上,和食指接触分开可拉出丝,是具有粘性的。但滑膜炎的滑液颜色变深,也拉不出丝了,可见粘性降低。

骨性关节炎伴发的滑膜炎虽然关节退变是因,活动过量也是因,滑膜炎是果,但滑膜炎反过来也会损伤软骨,形成恶性循环。所以,要认真对待,及时治疗。

外伤像骨折、脱位、扭伤、关节囊撕裂等还可能引起关节内出血。必要时要用针头将带血的滑液抽出,一是减轻肿胀,二是避免血细胞引起关节黏连。

膝盖滑膜炎怎么回事,滑膜炎三大症状

类风湿性关节炎是种免疫性疾病,人体自身的免疫细胞攻击自身关节的滑膜,引起外周关节持续性滑膜炎。这种滑膜炎症状比较重,持续时间长,呈对称性,就是双侧都会出现,只是时间上可能有早晚。病因不明,一般没有外伤或过度活动病史。女性多见,是男性的3倍,多见于30-50岁人群。持续的滑膜炎会导致软骨破坏和骨质的侵蚀,最终关节僵直、变形,丧失功能。

膝盖滑膜炎怎么回事,滑膜炎三大症状

痛风也会引起急性滑膜炎。一般患者有高尿酸血症。尿酸结晶石骤然增加,刺激滑膜诱发急性炎症。常于夜里发作,出现剧烈的关节疼痛和肿胀。关节迅速红、肿、热、痛。最常见第一跖趾关节(大脚趾)、足跗骨关节、踝关节和膝关节。发作原因常为饮食过饱、外伤、手术、饮酒过量、降尿酸治疗等。对症用药1-2天就明显减轻,3-10天自行消退缓解。多次急性单关节发作后,部分患者出现慢性非对称性滑膜炎。

膝盖滑膜炎怎么回事,滑膜炎三大症状

假性痛风,即焦磷酸钙沉积性关节炎,也可引起急性滑膜炎。此病多见于老年人,65-75岁发病率10-15%,85岁以上30-60%。发病机制不详。大多数患者无症状。可能是老化的软骨机化,有利于形成结晶石。急性发作时与痛风非常相似,引起急性滑膜炎。关节侵蚀以膝关节最常见,其他可能累及腕、肩、踝、肘、手等。未经治疗可持续数天至1个月。关节穿刺、 消炎止痛药、秋水仙碱和关节内注射糖皮质激素,可在10天内缓解。

痛风和假性痛风都需要抽取关节液检查才能确诊。

膝盖滑膜炎怎么回事,滑膜炎三大症状

膝关节骨性关节炎伴发滑膜炎是最常见的,一般分为急性和慢性。

急性滑膜炎指2周内出现的关节肿胀、疼痛、活动时加重伴活动受限。大多数为单关节发作。多因行走、站立时间过长,短时间内活动过量,超过膝关节的负荷能力,滑膜受到机械物理性刺激导致关节肿痛。大多数经休息及药物治疗可在2-4周内缓解。

慢性滑膜炎指超过3个月的关节持续肿胀疼痛。多为重度骨关节炎或急性滑膜炎期不注意休息,治疗不及时或不得当,滑膜增厚、变性。

膝盖滑膜炎怎么回事,滑膜炎三大症状

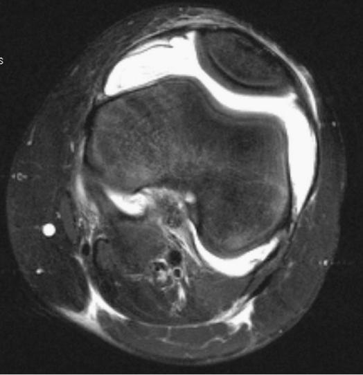
滑膜炎发作常常被低估。临床体检除了观察外形变化,对比健侧关节等等,还要在关节极度屈曲时看松弛的关节处有没有肿胀。做关节牵拉、内外翻等试验可以了解关节囊痛觉神经是否致敏。浮髌试验可以了解肿胀的程度。但如果肿胀得不是特别严重,体检未必能够观察到。

国外通过核磁共振检查,发现只被诊断为膝关节骨性关节炎的患者60%有滑膜炎,66%有关节积液。如果再做增强核磁,中到重度的骨关节炎患者95%有不同程度的滑膜炎,并且与疾病的严重程度呈比例。所以,很多急性或慢性的骨关节炎患者可能存在着滑膜炎,只是体检没有发现而已。现在B超检查既方便又快捷,如果怀疑滑膜炎可以选择,比体检要精确。