有些宝宝的乳牙为什么看起黑黑的,明明每天有帮助小朋友们好好刷牙,平时也控制孩子少吃甜食,也不会天天接触含色素重的食物,可猝不及防孩子的牙齿还是看看黑黑的,想必许多宝妈们会十分的疑惑,到底是什么原因所导致的牙齿变色?今天就给大家详细的解答一番。
牙齿变色发黑是蛀牙了吗?
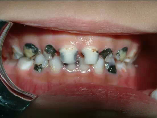
蛀牙是导致牙齿变色发黑的原因之一,由于致龋细菌侵蚀牙体,造成牙釉质脱矿牙面缺损,随着龋病的深入牙齿失去光泽,形成棕色、黑色、灰色的斑块。但小朋友牙齿变色不一定就是蛀牙,也可能是色素的沉着。

什么是牙齿色素沉着?
牙齿色素沉着又成为外源性牙齿染色,一般只是牙体外部表面上发生的牙色改变,乳牙的外源性色素沉着一般发生在牙龈边缘的位置和舌侧位置,通常呈现为沿着牙龈缘平行分布或是牙面上有不连续的黑点,它不会影响牙齿的功能,但是会影响美观。

如何分辨宝宝是蛀牙还是色素沉着呢?
儿童蛀牙与牙齿色素沉着如此相似,那么宝妈们如何辨别呢?关键是看牙齿变色部分是否破坏了牙齿,侵蚀到了牙齿的内部。蛀牙:致龋菌已经侵蚀到牙齿内部,牙釉质表层遭受到破坏,牙体受损;色素沉着:仅是在牙齿的表面上形成色渍和污垢,并没有造成牙体的损伤。

虽然小朋友牙齿变黑不一定是蛀牙,但是色素的沉积与蛀牙两者也是递进的关系,因为牙齿上面的色素沉淀,使牙面变得粗糙,因此细菌菌斑更易滞留,放任不管也会导致蛀牙的发生。因此为了孩子的口腔健康,对于平时刷牙难以清除的色素沉着,可以带孩子去专业的口腔机构,进行色素的清除和牙面的抛光,同时定期带孩子口腔检查,预防蛀牙。