9岁的朱林小朋友特别羡慕别人的滑板车,期中考试考了个双百分,妈妈买了一部滑板车送给他作为奖励,他兴奋的不得了。可刚下去没30分钟,妈妈听到了一阵哭闹声。火急火燎的跑下楼去,看到孩子倒在地上,捂着胳膊放声大哭……
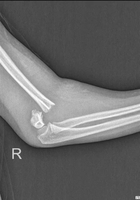
紧急送往我科检查,发现肱骨髁上骨折。
肱骨髁上骨折
肱骨髁上骨折是指肱骨远端内外髁上方的骨折,大约占儿童骨折发病率的30-40%,常见于3~10岁的儿童,多发生在手的非优势侧,也就是大家的不常用手。最常见的受伤原因是摔倒时手肘撑地导致骨折。
近两年孩子受伤最常见的原因是骑滑板车摔倒。
如果未能很好的及时处理,可能引发肘内翻畸形、血管、神经损伤、缺血性肌挛缩、骨化性肌等并发症。
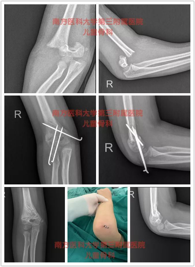
我科近乎“0”切开几率方式处理肱骨髁上骨折,麻醉下采用手法复位,克氏针交叉固定+石膏固定术,显著的减少了常规保守治疗肱骨髁上骨折高达30%的畸形率。

1 成因及分类
肱骨髁上骨折多是由于从高处跌落时产生的过伸或屈曲*力暴**引起。
根据骨折块移位方向,可分为伸直型与屈曲型:
伸直型:约占此类骨折的90%-95%。通常是间接*力暴**所致,如手掌受到冲击力量自下而上传递。伸直型髁上骨折又可为伸直尺偏型(远端向尺侧移位)和伸直桡偏型(远端向桡侧移位)。临床较常见的是伸直尺偏型。

其中,Gartland分型依据骨折骨块移位程度,又将伸直型骨折分为三种:

屈曲型:约占此类骨折的5%-10%。通常是直接*力暴**所致,肘部受到力量撞击。

2 肱骨髁上骨折体征
l 局部疼痛
l 肘部肿胀,后突及半屈位畸形
l 骨擦音,异常活动
l 肘后三角关系正常
l 血管神经损伤
3肱骨髁上骨折检查
X光片正位片侧位片显示远端移位。
体格检查:要注意是否有其他伴发骨折和神经损伤。如肘关节是否肿胀,髁上处环形是否压痛,肘伸屈时有无异常。同时分别检查、记录拇背伸(桡神经)、对掌(正中神经)、分并指(尺神经)各部分的功能状况。
4肱骨髁上骨折治疗
通常根据骨折程度分为以下3种类型:
Ⅰ型和部分Ⅱ型:以石膏托固定一个月,每两周复查。
Ⅱ型*特中**殊的中尺侧有压缩的要手术治疗,复位不好容易往往导致畸形愈合,形成肘内翻。要先手法整复、经皮克氏针固定一个月,纠正畸形,维持坚强的内固定。
Ⅲ型这种程度就比较复杂和严重得多,也是需要要手术治疗,闭合复位,经皮克氏针固定。
5 肱骨髁上骨折治疗案例
病例1

病例2

