“世界是你的,也是我的”,但归根结底属于那些身体好的、活得久的!
无论你属于哪个年龄段, “活出生命的精彩,活出生活的质量,活出健康的体魄”,这才是人生的硬道理。

上个月的一天夜里,“叮...叮...叮.....”, 宁静的病房被电话铃声打破,电话那头急诊医生急促地说“快来会诊,来了位病重的病人”。

我火速赶往急诊室,患者李先生,42岁,不能说话,躺在病床上右侧手脚不能动弹,很烦躁,他知道自己在生命边缘,想喊喊不出,想动动不了。
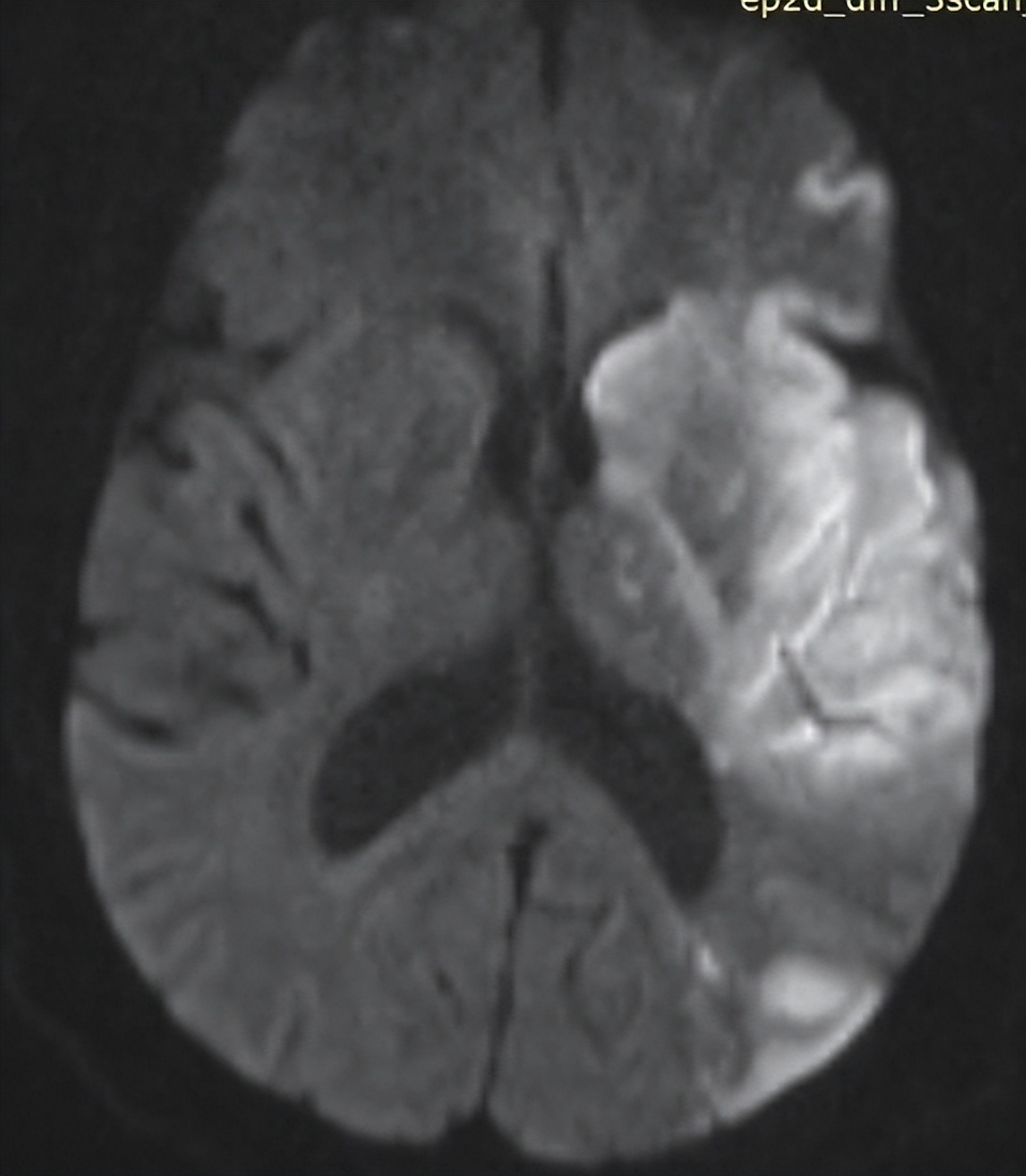
通过查体判断很可能是脑梗,赶紧做了头颅磁共振,确诊就是“急性大面积脑梗”,病灶很大一片。

患者送来还算及时,发病只有1个小时,与家属沟通后,给予静脉溶栓治疗,这项治疗是指南推荐的(静脉溶栓对发病时间要求很严格,发病<4.5小时,错过这个时间就做不了)。
溶栓后,患者右侧手脚有少许活动了,可以在床面小范围来回移动。但是梗死的面积太大了,估计还是会遗留明显的肢体瘫痪。

患者家属很惊讶,这么年轻,怎么就得了脑梗了呢? 后来详细了解情况就发现了端倪,李先生平时工作忙,从来没有做过体检,这次入院发现血压高达180/105mmHg,甘油三酯7.2mmol/L,低密度脂蛋白(LDL)4.9mmol/L。血液的颜色很深,抽出来的血流动缓慢,就像粥一样,这就是动脉粥样硬化。
毫不夸张地说,“虽然他年轻,但是血管太差,发生脑梗是迟早的事儿”。

大量的研究表明,70~80%的脑梗与平时的不良生活饮食习惯密切有关,李先生脑梗的原因就是他的高血压、高血脂没有控制好,而这也源于他 不良的饮食习惯 。他平时早餐特别喜欢吃油条、油饼,油炸丸子,还喜欢吃咸菜配稀饭,咸鸭蛋,相信很多朋友也爱吃,对不对?
但是常吃这些高盐、高脂肪的食物就是“祸根”,请一定要马上改变你的饮食习惯。
重点来了,人过了40岁,不想脑梗,请大家早餐要少吃这两类食物
一、高盐食物
一年四季在于春,一天之计在于晨。早餐是醒后的第一餐,吃的好不好与身体健康密切有关。早餐的种类繁多,咸菜、榨菜、酸豆角、腌黄瓜配稀饭是很多人的最爱,经济实惠,便捷,好吃。
但常吃这类食物存在大大的隐患,就是口味重,盐份含量太高,亚硝酸盐含量也不低,会造成水钠潴留,周围循环阻力增加,从而导致高血压。持续的血压高,形成动脉粥样硬化,对心脑肾等靶器官造成损害,出现血管堵塞,引发各种血管性疾病。
依据调查发现,我国人群每日盐摄入量严重超标,平均达到12克,超过了世卫组织推荐的5克的两倍多。 参考《高血压防治指南》的说法,收缩压(高压)每升高10个毫米汞柱,脑梗的相对发病危险会增加49%,舒张压(低压)每升高5个毫米汞柱,脑梗相对发病的危险会增加46%。
医生忠告:降低脑梗的风险,控制高血压,平时我们要少吃这类高盐的食物,尤其是早餐时刻。

二、高脂肪 油炸食物
这类食物是早餐的代表之一,就是大家所熟知的油条、油饼、炸春卷、炸丸子、炸薯条等等,这些食物在经过油炸加工后,含有的油脂非常高,特别是富含饱和脂肪、反式脂肪,这会导致肥胖、血脂升高,包括低密度脂蛋白,甘油三酯升高,都会促进动脉粥样硬化,诱发脑梗。
依据中国50万人群的研究表明, 低密度脂蛋白每升高1毫摩尔/升,脑梗的发病风险会增加17%,甘油三酯的水平每升高1毫摩尔/升,脑梗的风险会增加15%。
医生忠告:降低脑梗的风险,控制血脂是硬道理。所以这些高脂肪、油炸食物即便再爱吃,也要少吃。

在脑梗面前,谁都会一夜回到解放前。对于脑梗,预防胜于治疗,请大家坚持做到五件事
一、多喝水
多喝水是老生常谈了,但又有多少人能够真正做到呢?水是血液天然的稀释剂,多喝水可以提高新陈代谢,减轻体重,促进血液循环,起到预防血栓形成的作用。建议每天要喝2000毫升水,约7~8杯。每天晨起喝一大杯温开水是不错的选择。
二、多运动
生命在于运动,运动有助于提高新陈代谢,促进血液循环。研究表明,与缺乏运动的人相比,经常进行体育运动可以降低血栓性疾病的发病风险的20%。
有研究表明,长期做腿部拉伸动作,比如说抬腿、压腿,可以提高血管弹性,促进血液循环,减轻血管硬化,从而预防脑梗。

三、多喝绿茶
研究证实,绿茶中含有大量的茶多酚、维生素C等抗氧化剂,可以促进脂肪代谢,抑制氧自由基,有助于降低血脂水平。
日本一项研究,纳入4万名成年人,与不喝绿茶的人相比,长期喝绿茶的人,脑梗和心脏病导致死亡的风险会降低26%,所以对于绝大多数人来说,你每天喝1~2杯绿茶是很有帮助的,尽量喝淡绿茶(以免影响睡眠)。其他的选择可以喝柠檬水。
四、多睡眠
人寿命的1/3的时间在睡觉,睡眠对身体健康太重要了,好的睡眠有助于组织细胞的修复与更新,提高新陈代谢,助于降低患三高疾病、肥胖的风险,从而降低血栓形成的风险。依据大量研究表明,每晚保证睡眠时间达7~9小时最为合适,入睡时间30分钟以内。

五,吃健康的早餐
很多家人问我,“早餐应该如何选择?”建议大家可以喝燕麦粥,小米粥,杂粮粥,吃水煮鸡蛋,喝无糖豆浆或者低脂牛奶。还可以选择吃蔬菜粥或者蔬菜面条,青菜包子,还可以选择清蒸红薯,玉米都可以。所以,请大家看看自己的早餐健康还是不健康呢?

总之
生活就像一盒巧克力,你永远不知道会尝到哪种滋味。人若能得一善终,将是莫大的福分,生命诚可贵,预防疾病,从一份健康的早餐开始吧。
『参考文献』:中国脑血管病一级预防指南2019