孩子的身高,一直是家长们比较关心的问题。他对以后的婚姻、生活、工作等方面,都存在着直接的影响。
为了孩子能长高,家长们不但给他们准备了各种营养餐,而且要求他们做各种增高锻炼,甚至还报了一些增高的训练营。
然而,即使家长们再努力,总有孩子因为基因等原因,身体总是长不高,甚至成年后也比他人矮不少。

由于自身原因限制了孩子的身高,无奈之下,一些家长便想通过外部干扰,强行为孩子增高。
通过外部干扰,强行为孩子增高,其方法行得通吗?
答案是行得通!并且也有一种手术——断骨增高术。
近日,就有一名德国的小伙子,在网上分享了自己通过断骨增高术,让自己“长高”了18厘米的经历。
当他把自己的增高经历,分享到网上以后,也引起了一时的轰动。

3次打断双腿骨头,成功增高18厘米
德国小伙莱昂,是一名健身爱好者。虽然健身让他看起来肌肉十足,但是他也有自己的苦恼,那便是他的身高。
21岁的莱昂身高172厘米,不过对于这个身高他并不满意,总是感觉自己太矮了,让人感觉不到他身上的阳刚之气!
由于对自己的身高不满意,莱昂慢慢地产生了自卑感,这也给他的生活带来了更大的烦恼。
因为对身高的自卑,他几乎不去年轻人喜欢的舞厅、酒吧等地方,并且尽量的避开一些人多的社交,甚至面对自己喜欢的女孩子也不敢说话。

为了消除内心的自卑,为了回归正常人的生活,莱昂决定让自己再次“长”起来。
在父亲的支持下,莱昂选择了人工增高法——“腿部延长”手术,也就是断骨增高术。
为了能让自己“长”得更高一些,莱昂一连做了3次“腿部延长”手术。
近日,莱昂的第3次手术,在土耳其顺利完成,这也让他的身高从172厘米,“长”到了现在的190厘米,整整“长”了18厘米。
由于“长”高了18厘米,莱昂也对现在190厘米的身高,感到非常的满意,并将自己“长”高的经历分享到了网上。

莱昂“长”高的经历,分享到网上后,很快便引来几百万人观看,并引起了关于身高的热议。
对此,美国的一名外科医生称,虽然“腿部延长”手术的价格昂贵,但是近年来它正在英美等国家兴起,并且特别受男性欢迎。
目前,他位于加州的诊所,进行的手术量大约是三年前的两倍。至于费用,大约在53万元人民币到120万元人民币之间。

什么是断骨增高术
上面我们说到,“腿部延长”手术,也叫断骨增高术,曾经在我国也有不少人做过。
不过,目前在我们国家,已禁止除医疗目的以外断骨增高术!
至于断骨增高术的由来,主要有两种说法。
一种说法认为断骨增高术,起源于对先天肢体畸形、小儿麻痹、外部创伤等引起肢体不等长的病人的治疗,后来也用于对矮小症的治疗,时间可追溯到19世纪。
另一种说法,断骨增高术是在二战后期,由苏联一名叫伊里扎洛夫的医生发明的。发明这种手术的初衷,是为了治疗受伤的苏联士兵。

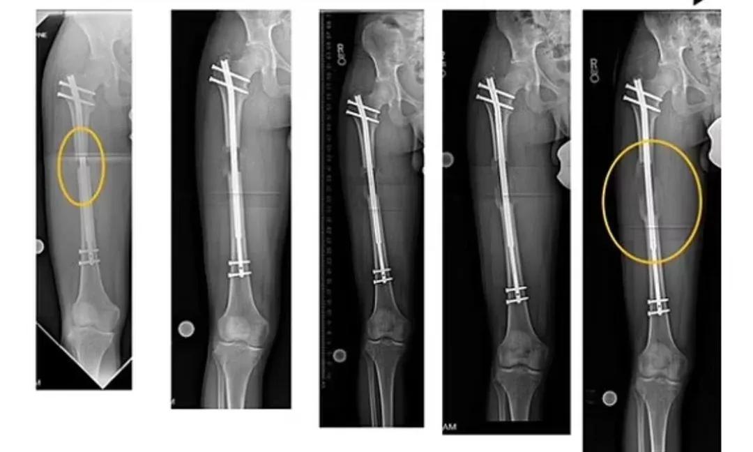
断骨增高术,虽然可以治疗一些病症,也可以使人重新“长”高,但是整个手术过程并不是那么简单,同时也存在着很高的风险,术后的康复过程也较长。
至于断骨增高术“长”高的方法,也是一种称得上“简单粗暴”的方法。
其方法大致是:先将增高者的双腿通过手术截断,再用专业的仪器,朝相反的方向牵拉断骨两端。断骨在再生能力下,会慢慢地向外生长,大约每天可生长0.5至1毫米。直到两端的断骨,在慢慢生长中互相连接、愈合为止。

断骨增高术的风险
虽然断骨增高术,可以让人再次“长”高,但是它也存在着很大的风险。
由于手术中先要截断增高者的双腿,损坏腿部血管、神经,有可能会导致皮肤软组织感染,严重时造成下肢坏死,还可能出现不愈合、愈合错位、骨髓炎等并发症,甚至造成终身残疾!
另外,假如断骨的再生能力强,生长速度太快,也有可能损坏腿部的血管、神经,造成血管供血障碍、神经瘫痪,严重时可能会导致截肢、瘫痪。

除了以上的多种风险,手术后可能会有百分之三到百分之五的人,出现断骨不生长或不能再次连接的现象。出现这种现象的原因,主要是他们属“骨不连和再生障碍性贫血”患者。
因此,在2006年,我国就对断骨增高术做出了明文规定。
断骨增高术只适用于治疗骨缺损、肢体不等长以及肢体畸形等,禁用于医疗美容项目。

写在后面:
其实,每个人的身高,除了先天的基因遗传外,后天的因素也很重要!我们可以通过健康的饮食、锻炼等方式,去弥补先天的不足,提升自己的身高。
即使后天的弥补,不能改变先天的条件,稍微矮一点又有什么关系呢?
毕竟,身高的优势,虽然可以在一些事情上给我们带来帮助,但是人的一生,又怎么会被身高决定呢?
为了“长”高,去借助机械外力,真的值得吗?
#夏日生活打卡季#