头颅MRI容易误诊的影像很多,如扩大的血管周围间隙、静脉窦内扩大的蛛网膜颗粒、颅骨蛛网膜颗粒压迹、海马沟残余囊肿、脑脊液流动伪影,等等,部分并不为人所熟知。
易误诊影像系列将分篇列举常见、不少见的头颅易误诊影像。
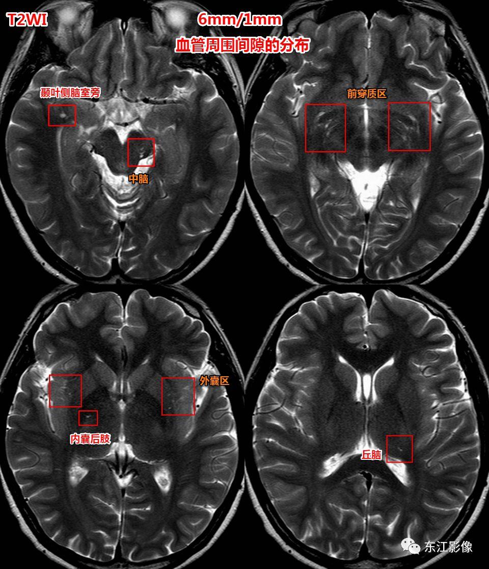
1. 扩大的血管周围间隙
扩大的血管周围间隙非常常见。
高场强、薄层扫描的话,每一个人都可见,无论老幼、男女。
影像诊断要点包括:
部位
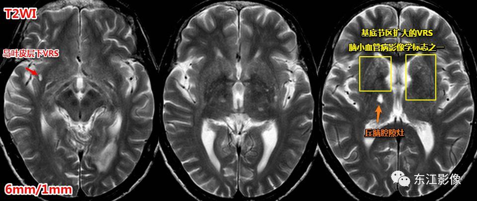
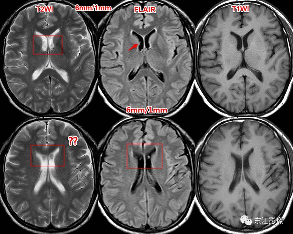
- 常见部位:前穿质区,外囊区,额顶叶皮层下,中脑。——务必熟记!
- 其他部位:丘脑,颞枕叶皮层下,侧脑室周围白质,小脑。
形态
- 纺锤样,泪滴状。
信号
- 与脑脊液一致。

血管周围间隙常见分布。


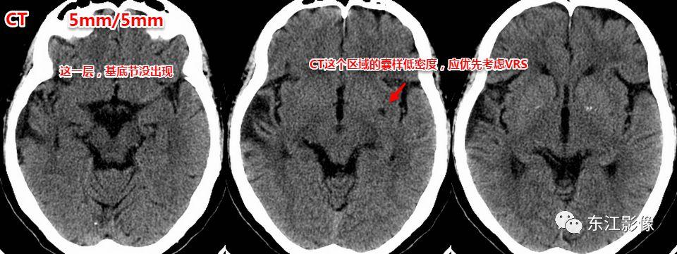
前穿质区VRS经典CT、MRI影像。

侧脑室顶区周围白质也是VRS的常见部位。
鉴别诊断:
腔隙灶
- 当扩大的血管周围间隙部位、形态、信号典型时,鉴别诊断非常容易。
- 当扩大的血管周围间隙部位、形态、信号不典型时,鉴别有一定的难度。
- 薄层扫描有助于这类小腔隙样灶的鉴别。
- 腔隙灶多为软化灶,FLAIR边缘多呈高信号,边缘不光整,无泪滴状或纺锤样外观。
脉络膜裂囊肿
- 定位是其主要依据,冠状面、矢状面有助于区分。
- 脉络膜裂囊肿起自脉络膜裂,更容易沿脉络膜裂延伸、向下压迫海马。
- 而前穿质区扩大的血管周围间隙是起自前穿质区,较大时容易向脉络膜裂方向膨隆,因此脉络膜裂是受压变窄的,且“囊样灶”下方可见残存的“基底节区”脑实质。
神经胶质囊肿
- 脑实质型神经胶质囊肿罕见,圆形或类圆形,无泪滴状或纺锤样外观;FLAIR边缘多呈稍高信号。
- 神经胶质囊肿多为单发,若多发时,两者之间,扩大的血管周围间隙更为常见。
伴血管周围间隙扩大的其他疾病,如隐球菌感染,粘多糖病等
- 神经系统隐球菌感染常见于基底节区,“扩大的血管周围间隙”信号并非纯粹脑脊液样信号,邻近脑实质亦会信号异常;增强可强化。
- 粘多糖病罕见,“扩大的血管周围间隙”常见于半卵圆中心,多伴有脑发育不良等征象。
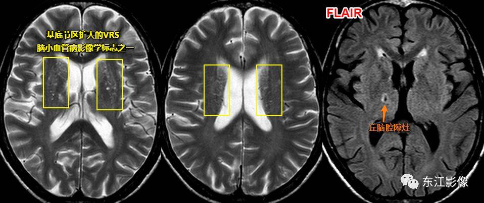
注意,扩大的血管周围间隙也是脑小血管病的影像学标志之一,但并非所有扩大的血管周围间隙均与脑小血管病有联系。
一般认为,基底节区中上区域扩大的血管周围间隙多与脑小血管病有关系。


基底节区扩大的血管周围间隙,丘脑腔隙灶典型影像,均为脑小血管病影像学标志。

容易误诊的扩大的血管周围间隙,详见: 即时学习 | 即时病例0022

容易误诊的扩大的血管周围间隙。



容易误诊的肿瘤样扩大的血管周围间隙。

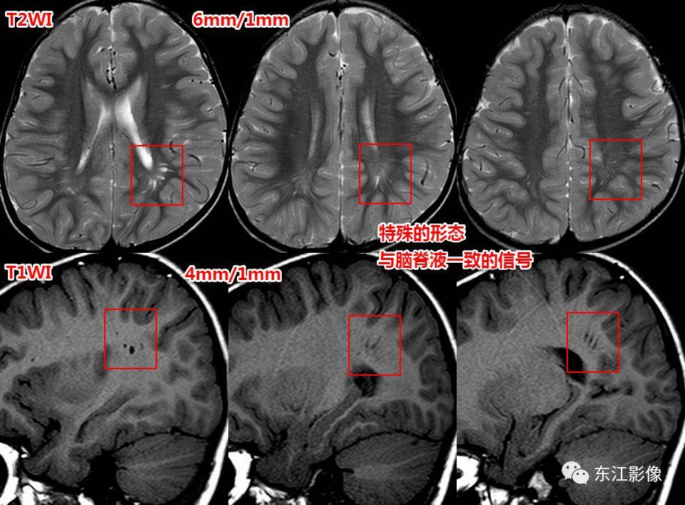
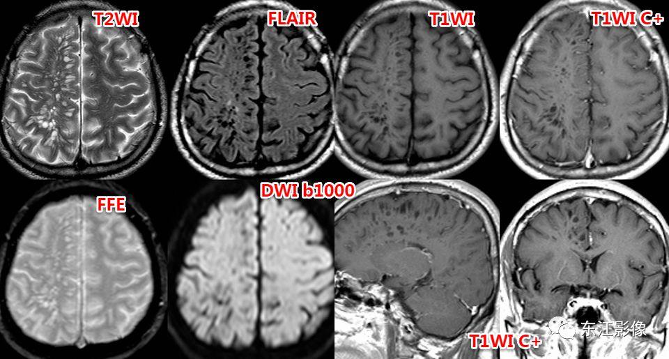
脉络膜裂囊肿,与前穿质区扩大的血管周围间隙比较。
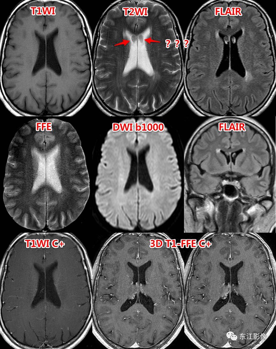
前穿质区扩大的血管周围间隙经常被误诊为脉络膜裂囊肿、腔隙性梗死灶。
信号上血管周围间隙与脉络膜裂囊肿没什么差异,形态学有一定的价值。
前穿质区是血管周围间隙最常见的部位,主体位于脑实质,层面合适时可见尖角(==》多方位观察)。
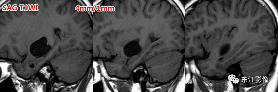
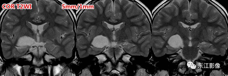
矢状或冠状薄层图像更容易显示向下突出的“残留”的脑实质!这是区分两者的重要影像证据!
脉络膜裂囊肿位于脉络膜裂,先引起脉络膜裂增宽,海马受压;压力大时,才向上压迫前穿质区脑实质。
注意,海马的压力较前穿质区脑实质小得多,所以脉络膜裂囊肿更容易压迫海马,因此主体部位不应是位于前穿质区!
注意,3D TOF MRA有断层图像,也是薄层的3D 梯度回波T1W图像,尽管对比度较差,但有时候是可以提供帮助的!



中脑急性梗死,与扩大的血管周围间隙比较。

粘多糖病。引自:Kanekar S, Devgun P. A Pattern Approach to Focal White Matter Hyperintensities on Magnetic Resonance Imaging.
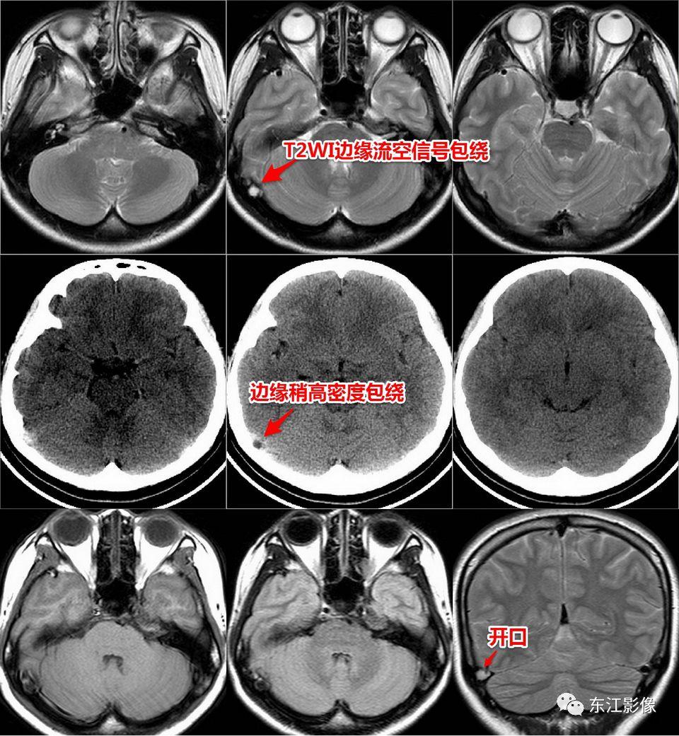
2. 静脉窦内扩大的蛛网膜颗粒
- 蛛网膜在硬脑膜构成的静脉窦附近形成许多绒毛状突起,突入静脉窦内,形成静脉窦内蛛网膜颗粒。
- 随着头颅MRI的广泛使用,静脉窦内扩大的蛛网膜颗粒“变得”非常常见。
- 不熟悉的话,容易误诊为异常。
- 以横窦常见(横断面图像最容易被发现的缘故),其次为上矢状窦,直窦、乙状窦少见,海绵窦罕见。
- CT平扫,呈稍高密度背景内低密度充盈缺损。
- MRI T1WI为低信号,稍高于脑脊液信号;T2WI为高信号,FLAIR多为低信号,稍高于脑脊液信号,较大的其内可见絮状稍高信号;增强多无强化,较大的其内可见点、线状强化灶。MRV上均呈附壁状充盈缺损。
- 极少数静脉窦内扩大的蛛网膜颗粒可能会引起静脉窦狭窄,DSA实时压力测量是确诊工具。

右侧横窦扩大的蛛网膜颗粒。

左侧横窦扩大的蛛网膜颗粒。




上矢状窦、直窦多发扩大的蛛网膜颗粒,薄层T2WI切线面显示更佳。
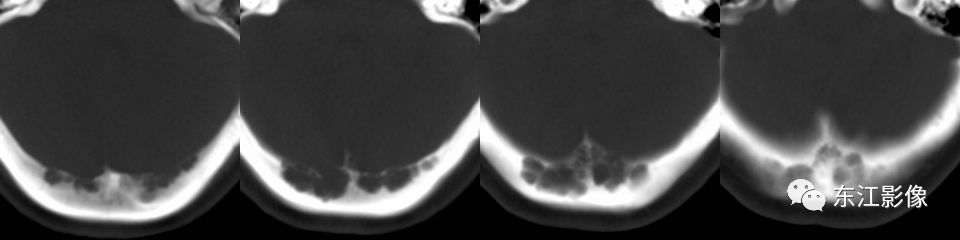
3. 颅骨蛛网膜颗粒压迹
- 是蛛网膜颗粒在颅骨内板及板障上形成的局限性压迹。
- 颅骨蛛网膜颗粒压迹广为人所熟知,但部分可能会被误诊为异常。
- 枕骨常见(横断面图像最容易被发现的缘故),额顶骨次之,颞骨少见。
- CT、MR表现为颅内凸入颅骨的充盈缺损,边缘锐利,无硬化;脑脊液样密度或信号,周围间隙清晰,无软组织肿块。
- 部分可穿颅骨内外板,容易被误认为异常。

双侧枕骨蛛网膜颗粒压迹。


双侧枕骨蛛网膜颗粒压迹,CT,MR比较。

顶骨蛛网膜颗粒压迹。
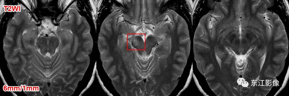
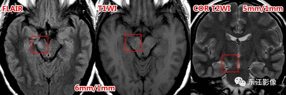
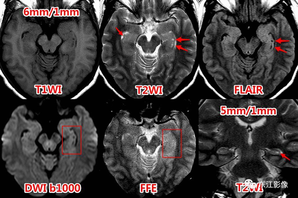
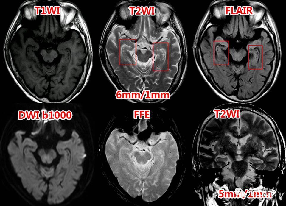
4. 海马沟残余囊肿
- 海马沟残余囊肿是常见的正常变异,影像学表现为串状分布的小的脑脊液样“囊肿”,位于海马区域,紧邻侧脑室颞角内侧。
- 一般是由于胚胎期海马角和齿状回的缺陷或不完全融合所致,不引起临床症状。
- 由于MRI的广泛应用,检出率非常高,尤其是薄层图像。
- 不熟悉的话,容易被误认为腔隙灶或囊肿。

海马沟残余囊肿。

又一例。

另一例,薄层显示更佳。
5. 脑脊液流动伪影
- 脑脊液流动伪影主要见于T2WI、FLAIR,主要是长TE序列容易出现流空效应的缘故。
- 但由于脑脊液流动方向、速率不一等因素的影响,呈现为非脑脊液信号影像,部分呈囊样。
- 常见于第三脑室、侧脑室室间孔旁区、脑干周围脑池(这些区域结构复杂)。
- 鉴别要点,T1WI、增强未能辨认;DWI与邻近一致的无信号;无占位效应。

侧脑室室间孔旁脑脊液流动伪影。

又一例。

桥前池脑脊液流动伪影。
小结:
- 实践中,扩大的血管周围间隙、静脉窦内扩大的蛛网膜颗粒、颅骨蛛网膜颗粒压迹、海马沟残余囊肿、脑脊液流动伪影,非常常见。
- 影像诊断的主要价值是避免误诊,避免可能因误诊而发生的不必要的恐惧、治疗。
- 扩大的血管周围间隙也是脑小血管病的影像学标志之一,但并非所有扩大的血管周围间隙均与脑小血管病有联系。
- 极少数静脉窦内扩大的蛛网膜颗粒可能会引起静脉窦狭窄,DSA实时压力测量是确诊工具。
- 颅骨蛛网膜颗粒压迹部分可穿颅骨内外板,容易被误认为异常。
- 脑脊液流动伪影的鉴别是多序列、多角度综合分析,当然,熟知的话可以明显减少分析时间。
- “了解——实践印证、比较——记忆——应用”,不仅仅是看个病例。
来源:东江影像
声明【本平台所有转载文章出于传递更多信息之目的,且明确注明来源和作者,不希望被转载的媒体或个人可与我们联系,我们将立即进行删除处理】