
前言
近年来,淋巴瘤临床诊治与基础研究均取得了长足的进步,推动着淋巴瘤病理分类不断向前演进,也对淋巴瘤的病理诊断提出了更高的要求。而在淋巴瘤的病理诊断当中,足量、合格的诊断性组织是对淋巴瘤进行形态观察以及开展免疫表型和遗传学研究的物质基础,标本获得、组织处理和切片制作等环节也因此直接影响到淋巴瘤病理诊断的准确性。
在本文中,我们将以骨髓活检、穿刺组织活检、淋巴结活检等多种样本类型为例,向大家介绍病理标本送检过程中的注意事项。
1. 骨髓活检
骨髓活检标本是淋巴瘤病理诊断中常见的一类标本,但是在白血病中,它又往往会被大家所忽略。
事实上,骨髓活检具有其不可替代的优势。例如,骨髓活检能够很客观地反映出骨髓增生的状态,进而帮助我们结合病人年龄判断其骨髓增生的高低;此外,在骨髓增殖性肿瘤的鉴别诊断中,需要参考巨核细胞的分布状态和细胞形态学改变,这也是骨髓活检的一大优势;并且,骨髓活检也可以诊断多种淋巴瘤骨髓累犯,很直观地观察到淋巴瘤在骨髓中的分布。
那么为了更好地通过骨髓活检获得尽量多的信息,在骨髓活检标本的获取和处理过程中,有哪些注意事项呢?我们认为主要包括以下三点:
1)骨髓活检穿刺长度>1.5cm
2)所得标本需及时置入10%福尔马林固定液中
3)同时送骨髓涂片、印片(95%酒精及时固定)各1张,同期外周血涂片1张;同时送流式、分子等
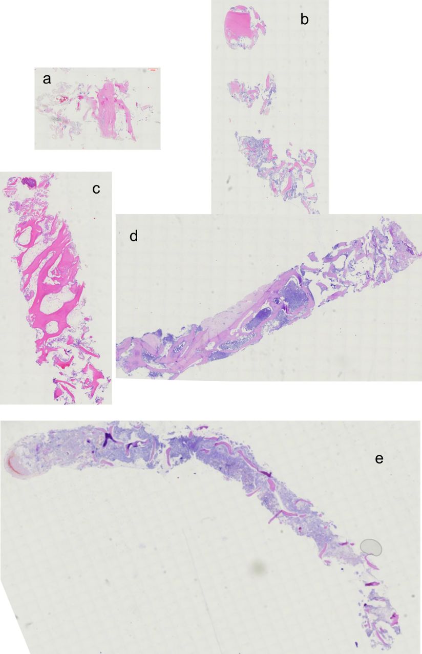
其中第一点,即对于穿刺长度的要求至关重要。为什么我们要求骨髓活检穿刺长度大于1.5厘米?我们可以通过下面五个病理切片来向大家展示骨髓活检标本穿刺长度对于病理诊断的影响。(如图1)

图1
图1中的左1标本大概是长度0.2-0.3厘米的一个点。通过在镜下观察这个样本我们可以看到其中基本都是骨质,没有任何的细胞成分,因此无法得到任何的病理诊断信息。(图2a)
而对于图1左2的标本,主要由三个破碎的0.3厘米左右的小粒组成。幸运的是我们在镜下可以看到,它除了最上面的骨质之外,下面还有部分有核细胞。如果这部分核细胞能够代表病人的疾病的话,我们可以通过其得到一些信息。但是它真正能代表全部吗?不确定,因为组织太少了。(图2b)
如果我们把骨髓活检的穿刺长度延长到0.7厘米,就会得到类似图1中央的标本。不像图1左2中的好运,图1中央的标本大都是皮质或者是零件骨皮的部位,基本没有有核细胞。因此,对于穿刺长度小于1.0厘米的,我们基本上都认为它是一个不合格的标本。(图2c)
图1右2中的骨髓活检组织大概是1.1厘米左右。这一样本其实也是抽到了临近骨皮质的位置,但由于穿刺长度比较长,我们还是可以从这个组织里面中看到有核细胞灶,并且通过这些有核细胞,我们可以得到一个相对明确的诊断。(图2d)
如果我们将穿刺长度进一步延长至>1.5cm,我们就可以得到类似图1右1中的标本。镜下观察可以看到左边一端是骨皮质,右边是骨髓质的位置,中间部分有小梁,里面有很多的有核细胞。如果是这样的片子,基本上就可以代表它的全貌,我们就能够通过观察足够数量和足够大面积的病变,给出相对比较完整的信息。(图2e)

图2
2. 穿刺组织活检
组织的穿刺活检是我们最常见的一类标本。对于组织的穿刺活检,主要注意事项包括:
1) 穿刺标本要尽量多
2) 及时固定,确保标本平直
3) 同时要有印片(95%酒精固定)1张、流式细胞、分子生物学及细胞遗传学检测
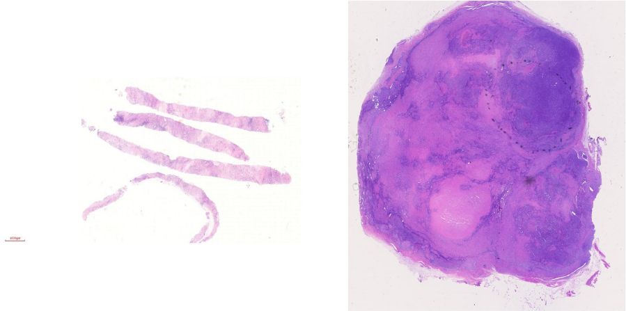
对于第一点,为什么说穿刺标本越多越好呢?图3可以作为一个很好的说明,图3右所示的标本是一个淋巴结,我们可以看到在这个淋巴结里有灶性的有核细胞,有纤维组织增生的结构,还有坏死的区域。如果在进行穿刺时只以图3左的方向下针,就会发现所得到的都是纤维的结构,有核细胞特别少。换句话说,它的有效成分就会非常少。
实际的情况很多都和图3类似,肿瘤组织并不是均匀一致的分布,所以第一要有尽量多的穿刺标本,第二要有多个方向的穿刺标本,即需要取到不一样的结构位置,这样我们鉴定准确机会就会更多一些。

图3
除了穿刺标本应尽量多之外,我们还需要得到尽可能平直的标本(如图4左)。标本的平直依赖于正确的固定,与之相对,如果固定没有做好的话,标本就会变成如图4中里面那样卷的标本,组织标本就会发生收缩,细胞就看不清楚,造成资源的浪费。因此我们希望,在标本获取的过程中要做好固定,这样我们就能够通过平直的标本看到更多的组织结构信息。
那么如何才能实现良好的固定呢?图4右提供给大家一个穿刺组织固定的小窍门,就是用镊子夹住组织的一头,进入固定液里面三秒钟,出来晾三秒钟,之后三上三下,再放入管中,就可以得到平直的标本了。这样的话,我们就能够更有效更充分地利用珍贵的穿刺标本。

图4
3. 淋巴结活检
对于病理科的大夫来说,其实更希望得到更大的标本,比如说淋巴结的活检,而不是穿刺标本,因为穿刺标本太局限了,而淋巴结、脾或某些结外病灶的完整切除标本,有助于病理医师对整个病变进行全面评估,且可保证有足量的组织用于辅助检查,是诊断淋巴瘤最为理想的标本。
对于淋巴结活检的标本要求主要包括以下两项:
1) 最好送检手术切除完整淋巴结标本,手术动作宜轻柔,尽可能避免组织因牵拉、钳夹等造成机械性损伤。
2) 完整淋巴结固定前要切开被膜,及时固定于4-10倍以上标本体积的固定液中
在这里,我们再一次提到了固定。实际上目前淋巴瘤病理诊断中很大一部分问题就是固定的问题。如果用煮饭来举例的话,固定不好,我们煮的饭就是夹生饭。我们在这里通过一个病例来向大家展示好的固定对于准确诊断的重要性。
图5上是这个病例中的患者送来的切片,我们可以看到组织解离非常的明显,且细胞之间存在着空白缝隙。这些都是由于没有固定到位,再经过脱水机的脱水,导致细胞收缩而出现的假象。这样的假象会严重影响细胞形态的观察,而且会影响接下来的标记,进而误导病理医生的思路。
例如这个病例中,在原单位的时候,可见中等大小的细胞, CD19阳性,PAX5阳性,CD10阳性,Ki67高表达,不表达CD20、TDT和CD34、BCL2。这样的结果会让病理医生判断为Burkitt瘤。但是在我们医院,结合临床以及这个患者提供的一些其他信息,提示我们B淋巴母细胞淋巴瘤的可能性。于是我们把病人给我们送来的片子重新做了一个TDT,在相对来说解离不是特别明显的部位,我们观察到TDT在20%左右的细胞中是阳性的(图5下左)。同时在那些相对来说固定比较好的位置, BCL2显示出明确的阳性(图5下右)。
这位病人最终的诊断就是B淋巴母细胞淋巴瘤。通过这个病例我们可以进一步看到,对于病理诊断而言,标本的固定非常重要。

图5
4. 内镜引导下的粘膜活检
除了以上常见的三种活检类型外,内镜引导下的粘膜活检也是一类常见的活检类型,尤其常用于移植后怀疑移植物抗宿主病(GVHD)时。如图6左,通过粘膜活检我们看到腺体的上皮细胞发生了凋亡,腺体产生破坏且不完整,这就是GVHD的典型表现之一。此外我们还能看到毛细血管内的血栓生成,并且发生了激化(图6右)。

图6
对于内镜引导下的粘膜活检标本要求包括:
1) 尽量多取几遍,并标明活检组织几粒
2) 运送前检查组织在容器的位置,避免组织贴附在瓶盖或固定液浸泡以外的容器壁上,导致组织干涸。
5. 体液的送检
体液标本的一大特点在于体液中细胞在体内脱离组织后会不同程度退变,且离体后会加速退变过程。因此对于体液标本的要求最重要的就在于新鲜,因此体液离体半小时内及时送达病理科就是十分必要的。这也是很多病理科只接受院内体液标本的原因。
以上就是淋巴瘤病理诊断中常见病理标本送检过程中的注意事项。正确的标本获得及组织处理是准确诊断及准确治疗的基础,值得我们临床及病理共同努力,以保障患者的生命健康。
