感谢@叨科D 提供的病例~
患者男性,45 岁,因「发热 2 天」于 2019-06-14 入院。
患者 2 天前中午洗冷水澡后,晚间出现发热,伴畏寒寒战,体温最高 40℃,伴乏力、头晕,有腹泻,无头痛,无腹痛腹胀,无尿频尿急尿痛,当地医院予输液治疗(具体不详),患者仍有发热伴头晕乏力,至我院急诊。
检查结果:测血压 87/50 mmHg,查血常规+超敏 CRP:白细胞计数 28.62x10^9/L↑、中性粒细胞分类 90.4%↑、血小板计数 79x10^9/L↓、超敏 C 反应蛋白 217.2 mg/L↑;
急诊生化:肌酸激酶 280U/L↑、谷丙转氨酶 239U/L↑、总胆红素 100.1μmol/L↑、尿素 13.50 mmol/L↑、肌酐 212.4μmol/L↑;
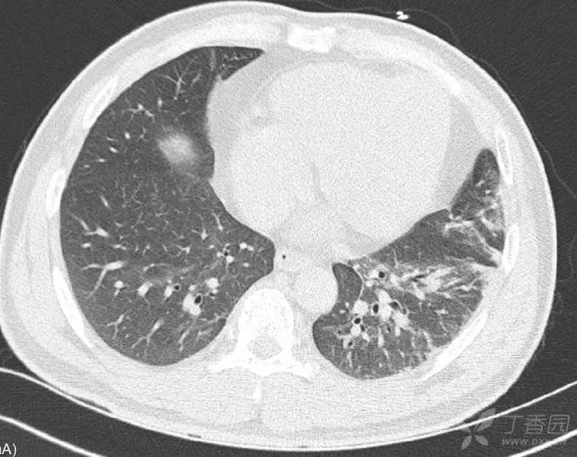
胸部+腹部 CT:两肺炎性病灶,脂肪肝,胰腺尾部稍增粗,双肾周筋膜增厚,少量渗出。双肾低密度灶,左肾结石。阑尾根部稍增粗,升结肠近回盲部肿胀。
患者为进一步诊治,拟「感染性休克」收住入院。

患者胸部CT可见两肺炎性病灶,左肺为主
查体:体温:38.7℃ 脉搏:113 次/分 呼吸:16 次/分 血压:93/56 mmHg。
神志清,精神软,皮肤巩膜无明显黄染,浅表淋巴结未及明显肿大,心律齐,各瓣膜听诊区未闻及病理性杂音,双肺呼吸音粗,未闻及干湿罗音,腹平软,腹部正中长约 10 cm 手术疤痕,无明显压痛及反跳痛,肝脾肋下未及,肝区叩痛 (-),胆囊未触及,莫菲氏征阴性;移动性浊音 (-)。
双下肢无水肿,可见暗红色瘀斑瘀点,神经系统查体无特殊。

患者双下肢瘀斑瘀点
追问病史,患者从事猪肉销售,双上肢皮肤可见多处划伤痕迹,患者自诉为批发猪肉时被猪骨头划伤。
看到这里,你知道这个患者发生了什么吗?
文中图片及题图来源:作者提供