一分钟看懂宫外孕知识 (宫外孕的相关知识讲解)

宫外孕相关知识讲解,一分钟看懂宫外孕知识

宫外孕的定义

一,什么是宫外孕

什么宫外孕?宫外孕又称异位妊娠,指孕卵在子宫腔外着床发育的异常妊娠过程,以输卵管妊娠最常见。常由输卵管管腔或周围的炎症引起管腔通畅不佳,阻碍孕卵正常运行,使之在输卵管内停留、着床、发育,导致输卵管妊娠流产或破裂。在流产或破裂前往往无明显症状,也可能有停经、腹痛、少量阴道出血的症状。一旦破裂,则表现为急性剧烈腹痛,反复发作,阴道出血,甚至休克;而过于肥胖的女性因多项检查均不能明确诊断,易延误治疗时机,带来严重威胁。

如暂不考虑做母亲,就要做好避孕,良好的避孕从根本上杜绝了宫外孕的发生。同时要注意及时治疗生殖系统疾病,注意经期、产期和产褥期的卫生,防止生殖系统的感染。停经后尽早到医院进行检查,明确妊娠位置。肥胖的女性,建议在孕前将体重控制在合理范围。

二,宫外孕是怎么回事

宫外孕是怎么回事?宫外孕正式的说法是异位妊娠,是指受精卵着床的地方不在子宫里,而在子宫体腔以外的地方——受精卵在前往子宫时,在输卵管、卵巢、腹腔、阔韧带、宫颈等部位安家。95%以上的宫外孕都是输卵管妊娠。

如何尽早知道是否宫外孕呢?年轻女性一旦停经,记得尽早去医院检查。宫外孕未发生流产或破裂时症状不明显,及时就医很重要。医生通常会检查患者的hCG和血清孕酮,以及做早孕B超,而阴道B超比腹部B超更准确。一旦确诊了宫外孕,必须马上入院治疗,因为这是孕产妇的死亡原因之一。

三,宫外孕手术怎么做

宫外孕的手术方法主要有以下2种:

1 、剖腹手术:此种方法的治疗机理是:给患者开腹后,切开其妊娠处的输卵管管壁,取出胚胎后再修复输卵管管壁,从而可达到既去除病灶,又保留输卵管的目的。使用剖腹手术的方法效果肯定,可一次治愈,但患者术后可能会发生盆腔器官黏连,影响其日后的妊娠。

2 、腹腔镜手术:腹腔镜手术是一种微创手术,具有创伤小、术后恢复快、手术并发症少的优点,是近年来治疗宫外孕的主要方法。采用腹腔镜手术的方法不必开腹,只需在患者的脐轮处及下腹部穿刺3-4个小孔即可完成手术。术后患者的腹壁上只留下几个圆形小疤痕,不影响美观。采用腹腔镜手术的方法的治疗效果肯定,可一次治愈,而且因其创伤小、术后患者的盆腔器官不易黏连,故患者术后的妊娠率高于实施剖腹手术者。

四,宫外孕手术费用多少钱

宫外孕手术费用多少是很多患者关心的问题。宫外孕手术费要根据手术类型,病人具体病情,以及医院级别等因素决定,一般要6000元到一万元不等。

治疗宫外孕的手术费用包括以下几项:

1、宫外孕术前检查费用

(1)宫外孕诊断;

(2)常规妇科检查,包括彩超、HCG血检、尿检、肝功能、心电图等。根据检查项目多少,这部分费用大约在几十元到上百左右不等。

术前检查很重要,可以从各个方面来了解患者的身体情况,以便更好地对症施治疗,正规公立医院,手术的价格都是按照国家物价局收费标准统一制定的,因此治疗的费用是合理的,也是患者朋友可以承受的起的。

2、宫外孕手术费用:

手术费用要根据具体采取的手术方式以及难易程度来决定。宫外孕的手术方主要有输卵管开窗缝合术、输卵管切除术等。每种治疗方法的费用相差较大,因选择的方式而异。

宫外孕手术价格主要和患者个人情况有很大的关系,另外各医疗机构也会有所不同。不同的女性做手术的费用是不一样的,如果发现比较早且治疗及时的话费用就会相对少些,反之如果发现较晚的话手术费用就会高很多。

宫外孕的原因

一,宫外孕的原因

正常妊娠时,精子和卵子在输卵管壶腹部与峡部连接处结合形成受精卵,受精后30小时,受精卵随着输卵管蠕动和输卵管上皮纤毛推动,向子宫方向移动。如受精卵在晚期囊胚前仍未进入子宫腔内侧易发生异位妊娠。异位妊娠的发生原因有输卵管炎症、输卵管发育不良或功能异常、宫内节育器避孕失败等,疾病因素和不良生活习惯都可增加女性异位妊娠的风险。

1、输卵管炎症。可分为输卵管粘膜炎和输卵管周围炎,两者均为输卵管妊娠的常见病因。输卵管粘膜炎严重者可引起管腔完全堵塞而致不孕。输卵管周围炎病变主要在输卵管的浆膜层或浆肌层,常造成输卵管周围粘连、输卵管扭曲、管腔狭窄,管壁肌蠕动减弱,影响受精卵的运行。

2、输卵管妊娠史。曾患过输卵管妊娠的妇女,经过手术治疗痊愈后,再次发生输卵管妊娠的可能性较大。

3、放置宫内节育器。使用节育器本身并不增加异位妊娠的发生率,但若女性因节育器避孕失败而受孕时,发生异位妊娠的机会较大。

4、输卵管发育不良或功能异常。输卵管发育不良常表现为输卵管过长、肌层发育差、粘膜纤毛缺乏。输卵管功能受雌、孕激素的调节,若调节失败,将影响受精卵的正常运行。

5、受精卵游走。卵子在一侧输卵管受精,受精卵经宫腔或腹腔进入对侧输卵管称受精卵游走。移行时间过长,受精卵发育增大,即可在对侧输卵管内着床形成输卵管妊娠。

6、疾病原因。输卵管周围肿瘤如子宫肌瘤或卵巢肿瘤的压迫,有时影响输卵管管腔通畅,使受精卵运行受阻。子宫内膜异位症可增加受精卵着床于输卵管的可能性。

7、多次人工流产。反复、频繁地做人工流产,会导致子宫内膜创伤,胚胎不易在子宫腔内着床,就会转移到别的地方着床,发生异位妊娠。

8、不良生活习惯。吸烟、酗酒、服用促排卵药物等都可增加异位妊娠的发生率。

二,宫外孕是怎么引起的

宫外孕的发病与输卵管炎症、输卵管手术、宫内节育器放置、输卵管发育不良或功能异常、受精卵游走及输卵管周围肿瘤压迫等有关。

1、慢性输卵管炎

临床上可分为输卵管粘膜炎和输卵管周围炎,两者均为宫外孕的常见病因。严重的输卵管粘膜炎可使输卵管完全堵塞致不孕,轻者使粘膜皱襞粘连导致管腔变窄,蠕动不良而影响受精卵在输卵管内的正常运行,致使中途受阻而在该处着床。输卵管周围炎病变主要在输卵管的浆膜层或浆肌层,炎性渗出造成输卵管周围粘连,致使输卵管扭曲,管腔狭窄管壁蠕动减弱,从而影响受精卵的运行。

2、输卵管手术

各种形式的输卵管绝育,若形成输卵管瘘管或再通,均有导致输卵管妊娠的可能。而输卵管绝育术后的吻合复通术或输卵管成行术,均可能因管腔狭窄而导致输卵管妊娠。

3、宫内节育器放置

随着宫内节育器的广泛应用,异位妊娠的发生率增高,这可能与放置后引起的输卵管炎有关。

4、输卵管发育不良或功能异常

输卵管发育不良常表现为输卵管过长、肌层发育差、粘膜纤毛缺乏。双输卵管、憩室或有副伞等,均可成为输卵管妊娠的原因。

5、受精卵游走

一侧卵巢排卵,若受精卵经宫腔或腹腔向对侧输卵管移行,则称为受精卵游走。受精卵由于移行时间过长,发育增大,即可在对侧输卵管内着床发展成输卵管妊娠。

6、其他

输卵管周围肿瘤如子宫肌瘤或卵巢肿瘤,由于压迫到输卵管,影响输卵管的通畅,使受精卵运行受阻。子宫内膜异位症、既往异位妊娠史、助孕技术等亦与异位妊娠的发病相关。

三,宫外孕的征兆

当女性宫外孕时会有什么征兆呢?宫外孕的表现因人而异,女性怀孕后一旦感到身体异常,就要去医院。

宫外孕的征兆:下腹部突然疼痛出血,但出血量和出血时间因人而异。一般最初的出血量很少,当受精卵在输卵管着床并破裂后,会引起大出血。除了阴道出血外,还会有腹部肿胀和疼痛的情况,最初是下腹部抽痛,有时肛门也会有压迫感。

宫外孕破裂后患者会感剧烈腹痛和大量内出血,出现面色苍白、脉搏细速、血压下降等休克现象,一般情况下宫外孕约在怀孕后第6-8周的时候破裂,宫外孕破裂可以穿破输卵管壁或自输卵管伞端向腹腔流产,威胁患者的生命,是比流产更严重的疾病。

如果女性怀孕后出现剧烈腹痛、大量出血等现象的时候就要考虑宫外孕破裂可能,必须及时对症处理以免带来危险:

措施一:在救护车来到之前,应当头低、脚高,保持安静,防止出血。用毛毯等保温也很重要。

措施二:在妇产科中流传着一句话:典型的宫外孕最不典型。因为宫外孕的症状常是模糊不清的,病人要把发病以来的细节向医生汇报。

措施三:宫外孕也易和其它一些腹痛的毛病相混淆,应注意区分。肠套叠是剧烈腹痛,大便带血;阑尾炎的疼痛多是从心口开始逐渐移至右下腹;胆石是右上腹痛。而宫外孕,也就是子宫外妊娠破裂,是下腹剧痛,出血。

四,宫外孕确诊的方法

异位妊娠未发生流产或破裂时,临床表现不明显,诊断较困难,需采用辅助检查方能确诊。

异位妊娠流产或破裂后,诊断多无困难。如有困难应严密观察病情变化,若阴道流血淋漓不断,腹痛加剧,盆腔包块增大以及血红蛋白呈下降趋势等,都有助于确诊。还可采用以下检查方法协助诊断:

1、hCG测定:尿或血hCG对早期诊断异位妊娠至关重要。异位妊娠时,患者体内hCG水平较宫内妊娠低。连续测定血hCG,若倍增时间大于7日,异位妊娠的可能性较大;倍增时间小于1.4日,异位妊娠可能性极小。

2、孕酮测定:血清孕酮的测定对判断正常妊娠胚胎的发育情况有帮助。异位妊娠时,血清孕酮水平偏低,多数在10-25ng/ml之间。如果血清孕酮值>25ng/ml,异位妊娠几率小于1.5%;如果其值<5ng/ml,应考虑宫内妊娠流产或异位妊娠。

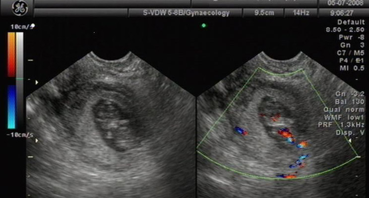
3、B超诊断:宫腔内未探及妊娠囊,若宫旁探及异常低回声区,且见胚芽及原始心管搏动,可确诊异位妊娠。若宫旁探及混合回声区,子宫直肠窝有游离暗区,虽未见胚芽及胎心搏动,也应高度怀疑异位妊娠。

将血hCG测定与超声检查相配合,对异位妊娠的诊断帮助很大。当血hCG>2000IU/L、阴道超声未见宫内妊娠囊时,异位妊娠诊断基本成立。

4、腹腔镜检查:腹腔镜检查时异位妊娠诊断的金标准,而且可以在确诊的同时行镜下手术治疗。但约有3%-4%的患者因妊娠囊过小而被漏诊,也可能因为输卵管扩张和颜色改变而误诊为一位妊娠,应予以注意。

5、阴道后穹窿穿刺:适用于疑有腹腔内出血的患者。腹腔内出血最易积聚于直肠子宫陷凹,即使出血量不多,也能经阴道后穹窿穿刺抽出血液。陈旧性异位妊娠时,可抽出小块或不凝固的陈旧血液。当无内出血、内出血量很少、血肿位置较高或直肠子宫陷凹有粘连时,可能抽不出血液,因此阴道后穹窿穿刺阴性不能排除输卵管妊娠。

需要注意的是,利用早孕试纸是无法检测出宫外孕的。早孕试纸通过检测人体hCG含量来判断是否妊娠,但无法判断出受精卵着床位置和着床情况。当女性发生宫外孕时,早孕试纸检测会呈阳性,建议女性发现自己怀孕后尽早通过B超和血hCG来进一步确诊。

宫外孕的症状

一,宫外孕早期症状

正常情况下,女性怀孕后胚胎种植在子宫腔内称为宫内孕,若种植在子宫腔外某处则称宫外孕,医学上又称为异位妊娠。宫外孕部位最多见于输卵管,少数也可见于卵巢、宫颈等处,是指胚胎没在子宫着床,而是其他部位发育,之后输卵管破裂,引起大出血。这种病对母亲的生命很有威胁。引起宫外孕比较常见的原因就是输卵管炎及粘连,如慢性输卵管炎、结核、子宫内膜异位等。

宫外孕的早期症状主要体现在以下几个方面:

腹痛:患者下腹坠痛或剧痛,有排便感,常有冷汗淋漓的情况。如果患处发生破裂,患者会突感一侧下腹撕裂样疼痛,还会伴有恶心呕吐的症状。

停经:异位妊娠的早期症状很容易与正常的早孕反应相混淆,如果孕妇在短时间内身体出现停经及早孕反应外,有时候还会出现一侧的下腹胀痛,检查发现输卵管正常有肿大,应怀疑为异位妊娠。

阴道出血 异位妊娠患者会有阴道出血症状。需要注意的是,宫外孕出血是在胚胎死亡后出现的不规则阴道流血,颜色深褐,量少,一般不超过月经量。流血时常伴有蜕膜管型或蜕膜碎片排出,当病灶消除后,流血可完全停止。月经期的流血是无蜕膜组织排出的。

晕厥与休克:很多患者由于腹腔内急性出血,有可能会引起血容量减少或剧烈腹痛,轻者出现晕厥,重者可能会出现休克,危及生命。

其他症状:异位妊娠患者还会出现恶心、呕吐、尿频等症状。有些患者会因为大出血而发生休克,面色苍白,血压下降。

若女性怀孕后有上述几种症状同时出现,应怀疑为异位妊娠,需及早到医院检查治疗。

二,宫外孕有什么症状

异位妊娠依受精卵在子宫体腔外种植部位不同而分为:输卵管妊娠、卵巢妊娠、腹腔妊娠、阔韧带妊娠、宫颈妊娠。不同的宫外孕类型也对应不同的症状表现。

不同类型宫外孕的症状表现:

输卵管妊娠:输卵管妊娠占异位妊娠的95%左右,其中壶腹部妊娠最多见,约占78%,其次为峡部、伞部,间质部妊娠较少见。输卵管妊娠的典型症状为停经后腹痛和阴道流血,患者还可能出现腹部包块,甚至出现晕厥与休克。

卵巢妊娠:卵巢妊娠指受精卵在卵巢着床和发育,发病率为1:7000-1:50000。卵巢妊娠的临床表现和输卵管妊娠极相似,主要症状为停经、腹痛及阴道流血。

腹腔妊娠:腹腔妊娠指胚胎或胎儿位于输卵管、卵巢及阔韧带以外的腹腔内。患者有停经及早孕反应,多有孕早期出现不明原因的贫血症状,伴有腹痛及阴道流血。随后阴道流血停止,腹部逐渐增大。胎动时,孕妇常感腹部疼痛,随着胎儿长大,症状逐渐加重。

宫颈妊娠:受精卵着床和发育在宫颈管内者称为宫颈妊娠。主要症状为无痛性阴道流血或血性分泌物,流血量一般由少到多,也可为间歇性阴道大量流血。

三,宫外孕的征兆

当女性宫外孕时会有什么征兆呢?宫外孕的表现因人而异,女性怀孕后一旦感到身体异常,就要去医院。

宫外孕的征兆:下腹部突然疼痛出血,但出血量和出血时间因人而异。一般最初的出血量很少,当受精卵在输卵管着床并破裂后,会引起大出血。除了阴道出血外,还会有腹部肿胀和疼痛的情况,最初是下腹部抽痛,有时肛门也会有压迫感。

宫外孕破裂后患者会感剧烈腹痛和大量内出血,出现面色苍白、脉搏细速、血压下降等休克现象,一般情况下宫外孕约在怀孕后第6-8周的时候破裂,宫外孕破裂可以穿破输卵管壁或自输卵管伞端向腹腔流产,威胁患者的生命,是比流产更严重的疾病。

如果女性怀孕后出现剧烈腹痛、大量出血等现象的时候就要考虑宫外孕破裂可能,必须及时对症处理以免带来危险:

措施一:在救护车来到之前,应当头低、脚高,保持安静,防止出血。用毛毯等保温也很重要。

措施二:在妇产科中流传着一句话:典型的宫外孕最不典型。因为宫外孕的症状常是模糊不清的,病人要把发病以来的细节向医生汇报。

措施三:宫外孕也易和其它一些腹痛的毛病相混淆,应注意区分。肠套叠是剧烈腹痛,大便带血;阑尾炎的疼痛多是从心口开始逐渐移至右下腹;胆石是右上腹痛。而宫外孕,也就是子宫外妊娠破裂,是下腹剧痛,出血。

四,宫外孕的治疗方法

常见的宫外孕有输卵管妊娠、卵巢妊娠等。所有的宫外孕一经确诊都应住院治疗,以利于随时观察,在宫外孕造成内出血较多时便于及时抢救。宫外孕常用治疗方法有剖腹手术、腹腔镜手术、非手术治疗、静脉化疗等。各种疗法疗效各异,各有利弊。一般来讲,宫外孕通常会采用手术治疗方法进行治疗。

1 、药物治疗宫外孕

宫外孕保守治疗方法:主要是用药物进行治疗,要在确诊为宫外孕的情况下采用药物的方式,致使孕囊枯萎,随后便排除体外。主要适用于早期异位妊娠,要求保存生育能力的年轻患者。一般认为符合下列条件,可采用此法:

①输卵管妊娠包块直径<3cm。

②输卵管妊娠未发生破裂或流产。

③无明显内出血。

④血HCG<2000U/L。

这种宫外孕治疗方式看起来很简单轻松,不需要手术便可以轻松的解除宫外孕的烦恼,因此宫外孕保守治疗效果是比较好的。但是,宫外孕的保守治疗有时也是存在一定风险的,因为万一药物没有杀死胚胎,就会使胚胎越长越大,就有可能会出现输卵管破裂大出血,甚至会发生危及宫外孕女性生命的可能。

2 、手术治疗宫外孕

保守性手术

目前宫外孕的原则以手术治疗为主,其中手术治疗的手术方式又有二种,一是切除患侧输卵管;一是保留患侧输卵管手术,即宫外孕保守治疗手术。保守性手术适用于有生育要求的年轻妇女,特别是对侧输卵管已切除或有明显病变者。

腹腔镜治疗手术

目前比较先进的治疗宫外孕的就是腹腔镜技术,该手术俗称“钥匙孔”手术,仅需在腹壁上作1cm大小的3个穿刺孔,就可完成原需剖腹的手术。

温馨提醒:建议夫妻双方选择双方心情和身体状况俱佳的时机怀孕。如女性朋友暂不考虑做母亲,就需做好避孕措施。

宫外孕的确诊

一,宫外孕确诊的方法

异位妊娠未发生流产或破裂时,临床表现不明显,诊断较困难,需采用辅助检查方能确诊。

异位妊娠流产或破裂后,诊断多无困难。如有困难应严密观察病情变化,若阴道流血淋漓不断,腹痛加剧,盆腔包块增大以及血红蛋白呈下降趋势等,都有助于确诊。还可采用以下检查方法协助诊断:

1、hCG测定:尿或血hCG对早期诊断异位妊娠至关重要。异位妊娠时,患者体内hCG水平较宫内妊娠低。连续测定血hCG,若倍增时间大于7日,异位妊娠的可能性较大;倍增时间小于1.4日,异位妊娠可能性极小。

2、孕酮测定:血清孕酮的测定对判断正常妊娠胚胎的发育情况有帮助。异位妊娠时,血清孕酮水平偏低,多数在10-25ng/ml之间。如果血清孕酮值>25ng/ml,异位妊娠几率小于1.5%;如果其值<5ng/ml,应考虑宫内妊娠流产或异位妊娠。

3、B超诊断:宫腔内未探及妊娠囊,若宫旁探及异常低回声区,且见胚芽及原始心管搏动,可确诊异位妊娠。若宫旁探及混合回声区,子宫直肠窝有游离暗区,虽未见胚芽及胎心搏动,也应高度怀疑异位妊娠。

将血hCG测定与超声检查相配合,对异位妊娠的诊断帮助很大。当血hCG>2000IU/L、阴道超声未见宫内妊娠囊时,异位妊娠诊断基本成立。

4、腹腔镜检查:腹腔镜检查时异位妊娠诊断的金标准,而且可以在确诊的同时行镜下手术治疗。但约有3%-4%的患者因妊娠囊过小而被漏诊,也可能因为输卵管扩张和颜色改变而误诊为一位妊娠,应予以注意。

5、阴道后穹窿穿刺:适用于疑有腹腔内出血的患者。腹腔内出血最易积聚于直肠子宫陷凹,即使出血量不多,也能经阴道后穹窿穿刺抽出血液。陈旧性异位妊娠时,可抽出小块或不凝固的陈旧血液。当无内出血、内出血量很少、血肿位置较高或直肠子宫陷凹有粘连时,可能抽不出血液,因此阴道后穹窿穿刺阴性不能排除输卵管妊娠。

需要注意的是,利用早孕试纸是无法检测出宫外孕的。早孕试纸通过检测人体hCG含量来判断是否妊娠,但无法判断出受精卵着床位置和着床情况。当女性发生宫外孕时,早孕试纸检测会呈阳性,建议女性发现自己怀孕后尽早通过B超和血hCG来进一步确诊。

二,宫外孕的影响

1 、异位妊娠一旦确诊则需终止妊娠

异位妊娠可以引起急性大出血,如不及时治疗会导致病人失血性休克,甚至死亡。发生异位妊娠时,由于输卵管自身的组织结构特点,限制孕卵的生长发育,使之不能生长至足月。因此,异位妊娠一旦确诊,患者需采取措施终止妊娠。

2 、宫外孕手术是否影响女性生育能力

在进行宫外孕手术前,医生会对患者的具体情况进行评估,对有生育要求者,会尽可能保留输卵管,并在手术过程中避免让生殖系统受到太大损伤。宫外孕患者治愈后一般不影响生育功能(两侧输卵管或子宫被切除者例外),如已患过宫外孕而切除一例输卵管,再次妊娠后的早孕期就应进行B超检查,以排除再次宫外孕,便于及时处理以保留输卵管。

3 、异位妊娠对再次妊娠的影响

在进行宫外孕手术后,女性在半年之内要做好避孕工作,让身体逐渐恢复,同时要经过全面的检查,确定是否具备正常怀孕的条件后,才可考虑怀孕。

曾患异位妊娠的女性,在生殖系统没有受到破坏的情况下,是可以再次妊娠的,但再次妊娠时患异位妊娠的几率会增加,因此有异位妊娠史的女性再次怀孕后应定期到医院检查,密切观察胚胎情况,以免出现意外。

三,宫外孕用试纸能试出来吗

宫外孕用试纸能试出来吗?这问题很多人都会关心。专家介绍,早孕试纸并不是万能,它只能测出是否怀孕,并不能测出宫外孕。至于宫外孕来说,现在最好的诊断方法就是通过B超来进行检查。

早孕试纸只能确定是否怀孕,但是不能确定怀孕的种类,也就是说不能判断出是宫内孕还是宫外孕。

早孕试纸测试的是尿中的HCG激素,HCG是由滋养细胞产生,是孕妇体内特有的一种激素,在没有怀孕的女性的尿液中是不会检测到的,如果说尿中存在HCG激素,那么早孕试纸就会呈现阳性反映,早孕试纸就是通过检测这种激素的存在来判断是否怀孕。

近年来宫外孕的发生率很高,为了确保女性安全,宫外孕的判断是需要在医院做B超之后确定的,需要看孕囊的着床位置是否在子宫内才能作出诊断。如果人们通过自测知道自己怀孕而不清楚是否为宫外孕的话,最好到医院做个检查确诊。

另外,早孕试纸也不是100%准确的。比如在病理情况下,如宫外孕、葡萄胎或绒毛膜癌等,也会出现阳性反应。并且,早孕试纸虽号称具有99%的准确率,但在没有医生指导的情况下,一般测试结果只能达到50%-75%的精确率。因此,早孕试纸不但不能确定是否为宫外孕,甚至有时都不能准确判断是否怀孕。

四,宫外孕治疗

宫外孕的治疗有多种选择,这取决于对生育要求、宫外孕的大小、位置和患者的身体状况,对未育者在挽救病人生命的前提下最大限度的保留生育能力。

宫外孕的治疗方法包括:腹腔镜手术 、药物疗法 、开腹手术。

以输卵管妊娠为例:

1、药物保守治疗

如果能在宫外孕的早期即输卵管还未破裂时就确诊,又无生育要求者,药物疗法是最好的选择,对患者的伤害较小,身体容易恢复。但不能应用在那些有生育要求者,因为被杀死的胚胎在原位极化,往往造成此输卵管阻塞。

2、输卵管开窗缝合术

对于输卵管未破裂或输卵管破口不大的宫外孕,通过腹腔镜手术,切开输卵管,去处胚胎,然后缝合,保持输卵管的功能,这是现今宫外孕治疗方法中的一种。

3、输卵管切除术

对输卵管破裂严重很难修复且伴失血性休克者,只能腹腔镜或开腹切除患侧输卵管,并可能需要输血。

4、妊娠黄体捣毁术

妊娠黄体捣毁术是用机械+药物的方法将妊娠黄体破坏,体内支持妊娠的黄体酮骤然下降,造成胚胎自然刁亡的新术式。

适应症是:宫外孕未破裂型,很难找到妊娠部位,或妊娠的部位不利于手术切除(宫角妊娠和宫颈妊娠)。

优点是未触击妊娠局部,不会造成术中出血。

(1)腹腔镜法:知情同意后,术前口服米非司酮250mg,可靠麻醉下,在腹腔镜下确诊妊娠部位,如果确实没有破裂,则可找到妊娠黄体,分离取出,可靠止血;如果已破裂或已接近破裂,则采取开窗缝合术。术后每天监测HCG和黄体酮水平。

(2)阴道B超介入法:知情同意后,术前口服米非司酮250mg,可靠麻醉下,经阴道B超穿刺取出妊娠黄体,然后注入无水酒精5~10ml。术后每天监测HCG和黄体酮水平。

宫外孕会来月经吗

一,宫外孕会来月经吗

宫外孕会来月经吗?宫外孕早期的症状与普通的怀孕是非常像的,一般会出现停经、腹痛、阴道出血等症状。宫外孕最大的特点是受精卵在子宫腔以外的地方着床,最常见的是在输卵管着床。

停经、腹痛、阴道流血是宫外孕最典型的三大症状,但是不是所有的宫外孕患者都会出现上述三个症状的。有的病人看起来有月经来潮,但其实最后一次的阴道出血并非真正的月经,而是异常的阴道出血,只是因为正好和月经来潮的时间吻合,因此被误认为是月经。

宫外孕阴道出血和正常的月经比较,在出现的时间、量和持续的时间上都是不同的,多留意可觉察出来。凭借是否有月经来潮来判断是否宫外孕是不可靠的,因此,判断宫外孕一定要把怀孕症状、检查、检测结果综一起进行考虑。最可靠是到医院做一个B超检查。

二,宫外孕后多久来月经

不幸发生宫外孕后,做了人流手术多久来月经?一般来说,宫外孕后一个月左右来月经。但是确切的时间要看个人的身体恢复情况而定。做完宫外孕手术后一个月内最好到医院复查自身恢复程度以及月经来潮时间。另外,宫外孕手术后7-10天有阴道流血是正常的,如流血超过10天则应及早就医。

宫外孕后多久来月经与以下因素有关:

1、术后最好休息一个月,不宜太劳累,不宜做重体力劳动。

2、手术后一个月禁止*生活性**及盆浴。

3、下次月经干净后的3-5天及时到医院复诊。

4、平时应该饮食卫生与*生活性**卫生。

5、要注意进食高蛋白、高热量、高维生素、易消化的饮食,少食辛辣刺激性食物。

6、术后保持心情愉快,避免情绪波动。

三,月经和宫外孕的区别

宫外孕一旦发生破裂大出血,可以危机患者生命,对正常月经与宫外孕的鉴别有重要的意义。我们知道,正常月经周期为28天左右,超前或滞后7天都属正常的,经期为3-7天,一次月经的总量为50-80毫升,经色多为暗红,月经不稀也不粘稠,无血块,无臭。相比之下,宫外孕阴道出血是不规则的点滴状深褐色出血。

宫外孕在诊断鉴别上也有难度。临床诊断一般是有停经史、查血和尿、B超。但孕早期,如停经41天左右,可能血和尿都诊断出怀孕,但至于是宫内还是宫外,要通过B超诊断,此时孕囊过小,B超也看不到。

妊娠激素水平测定为诊断宫外孕提供了很重要的参考依据,当血hCG>2000 mIu/ml,阴道B超未见宫内孕囊,就要考虑是宫外孕的可能了;血孕酮低于10ng/nl,提示胚胎有问题,也要首先排除宫外孕的可能。

四,宫外孕后月经不调怎么办

宫外孕手术后出现月经不调的症状是可能淤血内阻导致的,一般经过适当的调养和休息,月经不调的症状会明显改善。如果宫外孕后月经颜色黯红,有血块,可以在医生的指导下服用一些活血化瘀的中药,有助于清除术后积血以及改善盆腔粘连的情况。中药处方可包括丹参、当归、*党**参、玫瑰花、女贞子、广木香、赤芍、旱莲草、延胡、香附、红花、核桃仁等药物。

宫外孕后月经不调的患者可能会担心能否怀孕。事实上,宫外孕手术治疗后半年内宫内自然受孕达60%以上。所以,对于宫外孕治疗后,建议生育者恢复月经后应尽早计划怀孕。

五,宫外孕后月经量少怎么办

月经过少是指月经周期正常,但每次月经的天数短于2-3天,月经量少于20毫升,仅需少量甚至可以不用月经垫,经血呈暗紫色或粉色。宫外孕后月经量少有可能属于术后内分泌情况未完全恢复。建议充分休息,注意少食生冷刺激性食物,同时定期到医院复查,并服用一些活血药物等调理身体。

调理方法:

1、建议服用乌鸡白凤丸、益母草膏调理一下,但不要滥用药物。

2、应注意保暖,忌寒凉刺激,防止寒邪侵袭。

3、注意休息,减少疲劳,加强营养。

4、尽量控制剧烈的情绪波动,避免强烈的精神刺激。

5、经期要注意饮食调理,经期及经前忌食生冷之品,以免寒凝血瘀而经痛加重。

宫外孕的治疗

一,宫外孕治疗

宫外孕的治疗有多种选择,这取决于对生育要求、宫外孕的大小、位置和患者的身体状况,对未育者在挽救病人生命的前提下最大限度的保留生育能力。

宫外孕的治疗方法包括:腹腔镜手术 、药物疗法 、开腹手术。

以输卵管妊娠为例:

1、药物保守治疗

如果能在宫外孕的早期即输卵管还未破裂时就确诊,又无生育要求者,药物疗法是最好的选择,对患者的伤害较小,身体容易恢复。但不能应用在那些有生育要求者,因为被杀死的胚胎在原位极化,往往造成此输卵管阻塞。

2、输卵管开窗缝合术

对于输卵管未破裂或输卵管破口不大的宫外孕,通过腹腔镜手术,切开输卵管,去处胚胎,然后缝合,保持输卵管的功能,这是现今宫外孕治疗方法中的一种。

3、输卵管切除术

对输卵管破裂严重很难修复且伴失血性休克者,只能腹腔镜或开腹切除患侧输卵管,并可能需要输血。

4、妊娠黄体捣毁术

妊娠黄体捣毁术是用机械+药物的方法将妊娠黄体破坏,体内支持妊娠的黄体酮骤然下降,造成胚胎自然刁亡的新术式。

适应症是:宫外孕未破裂型,很难找到妊娠部位,或妊娠的部位不利于手术切除(宫角妊娠和宫颈妊娠)。

优点是未触击妊娠局部,不会造成术中出血。

(1)腹腔镜法:知情同意后,术前口服米非司酮250mg,可靠麻醉下,在腹腔镜下确诊妊娠部位,如果确实没有破裂,则可找到妊娠黄体,分离取出,可靠止血;如果已破裂或已接近破裂,则采取开窗缝合术。术后每天监测HCG和黄体酮水平。

(2)阴道B超介入法:知情同意后,术前口服米非司酮250mg,可靠麻醉下,经阴道B超穿刺取出妊娠黄体,然后注入无水酒精5~10ml。术后每天监测HCG和黄体酮水平。

二,宫外孕保守治疗是怎样的

随着现代诊断技术的不断提高,宫外孕诊断的准确率也在不断上升。这就为进一步治疗提供了有力的保障。以往对于宫外孕的治疗主要以手术治疗为主,现介绍几种宫外孕的保守治疗方法以供参考。

第一类:应用抗癌药物

1、适应症:

(1)无破裂型输卵管部妊娠,孕囊直径小于5cm,腹腔内游离液小100ml,β-HCG小于1000u。

(2)无心、肝、肾及血液异常。

(3)某些特殊情况,如宫角部妊娠、宫颈部妊娠。

2、禁忌症:

(1)明显内出血症状。

(2)B”超提示有胎心搏动。

(3)B-HCG大于1000mIU/L。

(4)严重肝肾损害(MTX不行尿液碱性。

3、主要用药:氨甲碟啶(MTX)和四氢叶酸;5-氟尿嘧啶。

4、给药方法:静脉全身用药,通过腹腔镜于伞端给药,宫腔或盆腔注入药物。

所有这些工作都应在医院内在医生的指导下来完成。

第二类:应用中药

第三类:使用米非司酮,利用其抗早孕原理

三,宫外孕腹腔镜手术怎么做

宫外孕腹腔镜手术是通过直视屏幕进行诊断进行切口仅3MM钥匙孔”的手术操作,可以化整为零把孕囊吸出来。因为可视、直观、操作有指导,手术伤害极小。而仅3MM 钥匙孔”伤口极小,对患者术后恢复和美观相对于传统手术都有质的飞跃。被称为指尖艺术,女性腹腔艺术。其手术优势如下:

优势一:多角度 视察”,效果直观

腔镜可在不牵动腹腔脏器的前提下从不同角度和方向检查,甚至可以看到一些很深的位置,达到直观检查的效果,无漏诊,无误诊。

优势二:恢复快

腔镜手术在密闭的盆、腹腔内进行,内环境受干扰小,患者受到的创伤远远小于开腹手术,术后很快恢复健康,无并发症和后遗症。

优势三:住院时间短

手术由专业医师操作,短时间即可完成治疗,不影响正常生理功能,术后即可恢复正常工作、生活。

优势四:腹部美容效果好

传统手术疤呈长线状,影响外观,腔镜手术不留疤痕,特别适合女性美容需要。

优势五:盆腔粘连少

微创技术无需开刀,手术对盆腔干扰少,没有纱布和手对组织的接触,很少缝线或无须缝线。手术中充分冲洗盆腔,因此腔镜手术后患者盆腔粘连远远少于经腹手术。

优势六:减轻患者负担

手术为微创性,用药少,费用底,恢复快,减轻患者负担。

四,宫外孕治疗后吃什么

宫外孕手术后的保养是很关键的,如果保养不好可能会造成感染,引起发其他是疾病,还有可能会引发第二次宫外孕。所以在手术后饮食上,一定要特别的注意,什么是利于保养,什么不利于保养,可能有很多人都会问,那么在手术后吃什么好呢?可以从以下几点去做:

1、手术后,由于身体较虚弱,常易出汗。因此补充水分应少量多次,减少水分蒸发量;汗液中排出水溶性维生素较多,尤其是维生素C、维生素B1、维生素B2,因此,应多吃新鲜蔬菜,水果。如此,也有利于防止便秘。

2、在正常饮食的基础上,适当限制脂肪。术后一星期内脂肪控制在每日80克左右。

3、行经紊乱者,忌食刺激性食品,如辣椒、酒、醋、胡椒、姜等,这类食品均能刺激性器官充血,增加月经量,也忌食螃蟹,田螺,河蚌等寒性食物。

4、术后半个月之内,蛋白质每公斤体重应给1.5克―2克,每日量约100克―150克。因此,可多吃些鸡肉、猪瘦肉、蛋类、奶类和豆类、豆类制品等。

五,宫外孕治疗后注意事项

1、首先定期随访,出院后一个月或月经干净后再来院检查及复测B超。

2、劳逸结合,勿做重体力劳动,尽量减少腹压,便秘者可用轻泻剂,预防包块破裂。

3、注意饮食和营养,保证蛋白质的摄入。

4、注意保护输卵管,女性的生殖器官内外相通,一些致病微生物很容易经阴道口侵入输卵管,甚至腹腔。

宫外孕的护理

一,宫外孕怎么护理

对于保守治疗患者,宫外孕怎么护理才更好?应该留意观察患者的生命体征、是否有腹痛情况等,作息和饮食也不能忽视。医护人员和家人应注意以下护理措施:

1、注意观察患者的生命体征,遵医嘱测量血压、脉搏、呼吸并记录。

2、注意腹痛情况,如腹痛的部位、性质及有无伴随症状。观察阴道流血的量、颜色、性状等。如有腹痛加剧、阴道出血、腹腔内出血增多、血压下降等须及时通报医生,及时处理。遵医嘱送验标本,检测治疗效果。

3、患者应卧床休息,避免腹部压力增大,减少异位妊娠破裂的机会。患者卧床期间,护上应提供相应的生活护理。

4、指导病人摄取高营养的食物,尤其是富含铁蛋白的食物;多食含粗纤维的食物,保持大便通畅,防止腹胀或便秘,以免诱发活动性大出血。

二,宫外孕急诊护理

对于急诊手术患者,应注意配合医生做好围手术期的护理:

1、严密监测患者生命体征的同时,配合医生积极纠正休克症状,做好术前准备。

2、严重内出血并发休克者,应立即开放静脉,交叉配血,做好输血输液的准备。积极纠正休克。

心理护理:

异位妊娠患者的心理负担会比较大,家人和医护人员须对其进行心理安慰。同时维护患者自尊,帮助其度过心情低落时期。医护人员也需帮助患者及家属接受此次妊娠失败的现实,向他们讲述异位妊娠的相关知识,并向其讲述预防的方法,避免下一次异位妊娠的发生。

宫外孕的影响

一,宫外孕后还能怀孕吗

女性一次宫外孕后,通常还能再怀孕。宫外孕结束得越早,对输卵管的损伤越小,再次怀孕坚持到足月的可能性也就越大。

宫外孕如果是输卵管妊娠,还可以正常怀孕。如果患侧输卵管经过手术治疗切除后,另一侧输卵管正常无损,仍有怀孕生育的机会;但如果两条输卵管都有病变损害,就失去自然生育的能力。

正常情况下,宫外孕手术至少半年之后才能再怀孕,让身体逐渐恢复,同时要先做输卵管造影等相关检查,确诊输卵管是否通畅,并检查是否患有盆腔炎、腹膜炎等妇科炎症,确定是否具备正常怀孕的条件后,才可考虑怀孕。如果输卵管不通,要先做通液;如果有盆腔炎等炎症,要先消炎。如果在炎症没有完全消除的情况下再次怀孕,将因为另一侧输卵管有炎症、通而不畅,可能再次发生宫外孕。

二,宫外孕的影响

1 、异位妊娠一旦确诊则需终止妊娠

异位妊娠可以引起急性大出血,如不及时治疗会导致病人失血性休克,甚至死亡。发生异位妊娠时,由于输卵管自身的组织结构特点,限制孕卵的生长发育,使之不能生长至足月。因此,异位妊娠一旦确诊,患者需采取措施终止妊娠。

2 、宫外孕手术是否影响女性生育能力

在进行宫外孕手术前,医生会对患者的具体情况进行评估,对有生育要求者,会尽可能保留输卵管,并在手术过程中避免让生殖系统受到太大损伤。宫外孕患者治愈后一般不影响生育功能(两侧输卵管或子宫被切除者例外),如已患过宫外孕而切除一例输卵管,再次妊娠后的早孕期就应进行B超检查,以排除再次宫外孕,便于及时处理以保留输卵管。

3 、异位妊娠对再次妊娠的影响

在进行宫外孕手术后,女性在半年之内要做好避孕工作,让身体逐渐恢复,同时要经过全面的检查,确定是否具备正常怀孕的条件后,才可考虑怀孕。

曾患异位妊娠的女性,在生殖系统没有受到破坏的情况下,是可以再次妊娠的,但再次妊娠时患异位妊娠的几率会增加,因此有异位妊娠史的女性再次怀孕后应定期到医院检查,密切观察胚胎情况,以免出现意外。

三,宫外孕后多久可以再怀孕

为了保证母体的健康,不要在做了宫外孕术后马上妊娠。宫外孕后至少半年之后才能怀孕,因为宫外孕手术过程中子宫受到损伤,此时妊娠是很危险的,在这半年之内要避孕,让身体逐渐恢复,同时要经过检查,确定是否具备正常怀孕的条件。

为此必须采取安全的避孕措施。为了宝宝和你的身体健康着想,至少要等到半年后,但具体的需要根据你身体的恢复情况而定。

四,宫外孕后再次怀孕注意事项

为了以防再次发生宫外孕,因此建议女性朋友必须于试孕之前做一个经X线的子宫输卵管造影检查来确诊你的输卵管的具体通畅情况,然后根据检查结果的不同采取不同的治疗方案。

目前确诊输卵管是否通畅及通畅程度最准确的方法是做造影检查。经X线的子宫输卵管造影检查是通过导管向宫腔及输卵管注入造影剂,利用X线诊断仪行X线透视及摄片,根据造影剂在输卵管及盆腔内的显影情况来了解输卵管是否通畅、阻塞部位及宫腔形态的一种检查方法。

五,再次宫外孕可能性

一次宫外孕后,你可能会担心自己会再次发生宫外孕。事实上,你再次发生宫外孕的可能性的大小,取决于造成第一次宫外孕的原因和你采取的宫外孕治疗手段。总的来说,你再次发生宫外孕的可能性大约是10%~15%,所以,你下一次正常怀孕的机会还是很大的,大约是85%~90%。

不过,如果你第一次发生宫外孕是因为感染、输卵管结扎后的输卵管损伤,或者是暴露于己烯雌酚(简称DES,一种雌激素药物)造成的,那么另一侧的输卵管很可能也会受损,这样你自然受孕的机会就会减少,从而增加你再次得宫外孕的机会。

宫外孕的预防

一,怎样预防宫外孕

女性要想预防宫外孕,一定要做到戒烟戒酒,保持良好的生活习惯,才能将身体保持在最佳状态。此外,还需要注意以下几点:

1、注意孕前检查,治愈妇科疾病后再怀孕。预防异位妊娠,应注意孕前检查,要彻底清除各种妇科疾病,尤其是输卵管有问题的女性更不可大意。对于有些正常受孕有困难的女性,如果需要服用排卵药物,一定要在医生的指导下进行,并要提高警惕性,怀孕后定期到医院检查胚胎情况。

2、有异位妊娠史的孕妇需做早孕检查。曾经患过异位妊娠的女性,再次患异位妊娠的可能性很大。如果这类女性怀孕了,最好在停经后6周内到医院做一次全面的早孕检查。

3、暂无怀孕打算的女性需做好避孕工作,避免多次人流伤害生殖系统。反复人工流产是导致近年来异位妊娠发病率上升的主要因素。因此,若暂无怀孕打算,女性要做好避孕工作,以免人流手术对身体造成伤害,并提高患异位妊娠的风险。

宫外孕的饮食

一,宫外孕术后吃什么好

宫外孕患者在饮食上需要注意补充蛋白质和水分,提高机体抵抗力,有助于术后康复。需要注意的是,患者需在正常饮食的基础上,适当限制脂肪的摄入,并避免进食刺激性食品。具体包括:

1 、补充蛋白质

蛋白质是抗体的重要组成成分,如摄入不足,则机体抵抗力降低。宫外孕术后半个月之内,蛋白质按患者每公斤体重应给1.5克-2克,每日量约100克-150克。因此,患者可多吃些鸡肉、猪瘦肉、蛋类、奶类和豆类、豆类制品等。

2 、补充水分

宫外孕术后,由于身体较虚弱,患者常易出汗,因此应补充水分,减少水分蒸发量。汗液中排出水溶性维生素较多,尤其是维生素C、维生素B1、维生素B2,因此,应多吃新鲜蔬菜、水果。如此,也有利于防止便秘。

3 、饮食禁忌

患者在正常饮食的基础上,适当限制脂肪。术后一星期内脂肪控制在每日80克左右。行经紊乱者,忌食刺激性食品,如辣椒、酒、醋、胡椒、姜等,这类食品均能刺激性器官充血,增加月经量。忌食生冷或寒性食物,如螃蟹、田螺、河蚌等。