亲爱的小伙伴们,主任查房时,轮转影像科时,住院医考试时,找工作面试时,你们有没有遇到这样的问题呢?说说脑出血的核磁演变?这时的你是心里暗喜,还是只有囧然的似曾相识?
如果记不住呢,真的不能怪大家,哪位胆大可以在上级提问时逆天的反问一次,我估计至少有一半的概率他也答不好。为什么这玩意这么难记呢,我认为有以下几个原因:1. 尼玛课本和课本都不一样啊,一个老师讲的和另一个老师讲的也不一样啊,这让人背哪个是好?上大学背一个,工作背一个,过两年来出本影像书,再背一个,这是耍人玩呢么?2. 变化多端,规律不明朗,那些几天几小时高信号低信号太容易混让人抓狂了。我们这个年纪,早已不是机械记忆的黄金时间,没有充分的理解,真是什么都记不住了。3. 平时用的少哇,急诊来个头痛、偏瘫,随手开个头CT,一看脑出血,得,后续就一路CT了,这让我们苦心背的知识无用武之地啊。
一. 先解决第一个问题,经过我多方找寻,参考多个中英文资料,综合科学性、一致性和易记性,强烈推荐如下表格。三大优势:1. 时间规律,1,3,7,14d,就这么几个明确的节点,不像某些教材一会儿多少小时,一会儿多少天,然后又多少周,让人不明觉厉。2. 信号明确,不像很多地方,一会等或高信号,一会儿低或等信号,搞那么详细,记不住有毛用?3. 简明扼要的说明血肿成分演变,便于学有余力的童鞋加深理解。

P.S. 当然实践中的时间和信号变化也不是绝对的,另外这其实是动脉来源的出血表现。当然了,血肿大小、成分(静脉来源会怎样呢?)、位置、有无再出血,有没有和蛛网膜下腔/脑室相通,不同医院的序列也有差异等很多因素都有影响。因此,大家只需要找准一个表格记牢,就可以举一反三,以不变应万变了。
二. 再解决第二个问题,把表格的内容剖析一下
先说容易的,血刚从动脉里流出来,红细胞还是完整的,里面藏着氧合血红蛋白,这叫超急性期,最原汁原味。过了一天,红细胞还坚挺着没破,氧却给丢了,血红蛋白成了脱氧的,谓之急性期。又过了两天,小强红细胞还是没有破,脱氧血红蛋白倒撑不住了,被氧化成正铁血红蛋白,这是亚急性早期。一个星期过去了,红细胞终于饿死了,支离破碎,正铁血红蛋白跑了出来,自由的正铁血红蛋白是亚急性晚期的突出特点。最后,在慢性期,经过铁蛋白,正铁血红蛋白转化为含铁血黄素沉积了下来,经年累月后都可以一直看到。
哎,小篇幅写明白这两段太难了。不感兴趣的童鞋可以直接跳过。先介绍三个概念:抗磁性、顺磁性和超顺磁性,这个和铁原子里面的未配对电子数相关。临床医生嘛,不搞那么复杂的。大家只要记住氧合血红蛋白是抗磁性,脱氧血红蛋白和正铁血红蛋白是顺磁性,含铁血黄素是超顺磁性就OK了。脱氧血红蛋白和正铁血红蛋白虽然同为顺磁性,但铁原子在血红蛋白框架中位置不同,也影响核磁信号表现。
我们分期细看:1. 超急性期,红细胞内氧合血红蛋白阶段,氧合血红蛋白抗磁性,血肿对核磁的影响主要为血肿里面含水比较多,所以出现T1低,T2高信号(类比普通水肿就好)。2.急性期,两点决定信号,首先脱氧血红蛋白顺磁,影响了T2,T2较前黑下去了,其次脱氧血红蛋白结构所限,对T1还没发挥作用,依旧是黑的,双黑,所以这是最黑暗的阶段。3. 正铁血红蛋白,依旧顺磁,T2依旧黑的,T1却因被正铁血红蛋白(和脱氧比铁原子位置变了)转正变白了。4. 细胞膜破了,T2顺磁作用的影响就没了,这个阶段,血肿里面水分增加,T2也变亮了,这个双白是脑出血最好记的阶段。5. 到了慢性期,含铁血黄素不溶于水,且超顺磁性,这两点决定它在T1和T2都是黑的。如果这段看不明白也记不住呢,其实也没什么关系,直接把上面那个表格背过也不影响临床应用。感兴趣的话可以看看后面的参考文献,就清楚啦。
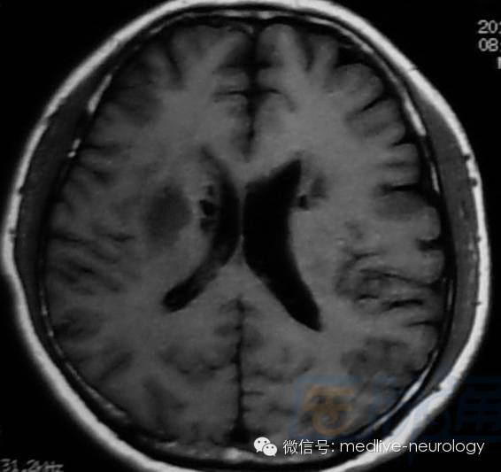
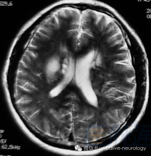
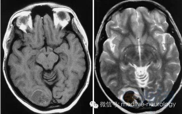
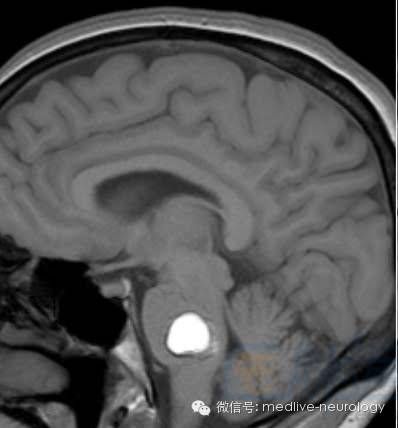
然后解决第三个问题,轻松一下,图来啦,让我们巩固一下今天学习的成果,均为先T1,后T2。
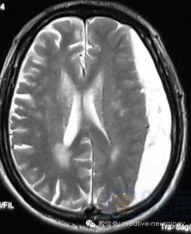
超急性期(<24h):右侧脑室旁


急性期(1-3d):右枕叶

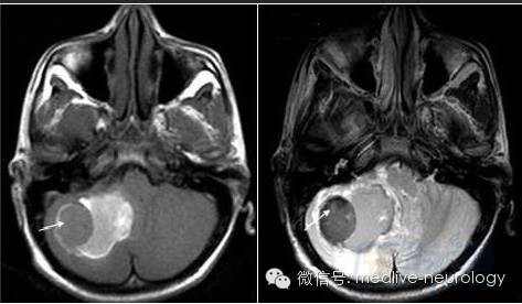
亚急性早期(3-7d): 脑桥


亚急性晚期(7-14d): 左硬膜下


慢性期(>14d):箭头

最后来句掏心窝子的大实话,十分钟能记住吗?废话,一个十分钟当然记不住,人脑又不是优盘,拷进去完事。今天看十分钟,记住了,明天能剩30%就不错了。一定要在间隔数日后重复,然后再间隔再重复,没有五个十个的十分钟是绝壁记不住的(有高智商的小伙伴不要拍我)。并且,我们不要干背,临床上遇到脑出血的核磁片,一定要及时拿出来演练,最好拍下存档,对照表格强化,到时候会有一种欣喜的赶脚。再补充个技巧,如果实在难记,大家可以一步步来,比如先把超急性期当成普通的水肿,把特色的双白亚急性晚期记住,下次再记住双黑的急性期和慢性期,最后再记住那个难记的亚急性早期。还有,其实T1和T2都是两白三黑,是不是很有意思?
今天先到这里,大家把传统的T1、T2消化消化,过几天我们再追个时髦的,居然改变指南的GRE梯度回波序列,以及相对T1和T2新一些的DWI和FLAIR序列。说点个人感想,都什么年代了,还老是考T1、T2,那得有多low。现在的核磁,就算不是个个有GRE(还有T2*, SWI,是不是傻傻的分不清楚?)序列,也总得有DWI和FLAIR吧,依据实用原则,要是我为难那些小盆友们,就来点新鲜实用的,谈谈脑出血在GRE、DWI和FLAIR上是什么样子的?
参考文献:
1. http://emedicine.medscape.com/article/344973-overview
2. Dougherty dd, Rauch SR, Rosenbaum JF. Essentials of Neuroimaging for clinical practice. American paychiatric publishing, Inc. 2004
3. Parizel PM et al. Intracranial hemorrhage: principles of CT and MRI interpretation. Eur Radiol. 2001;11(9):1770-83