多囊卵巢综合征是一种妇科内分泌失调性疾病, 以长期无排卵和高雄激素水平为基本特征,
临床主要表现为闭经、不育、多毛、肥胖等症状, 或伴有糖代谢异常、胰岛素抵抗。
中医无此病名, 根据其症状, 常见于“月经后期”、“闭经”、“不孕”等疾病中。

脾肾为病其本在肾
肾为先天之本, 主藏精, 主生殖;脾为后天之源, 主运化, 为气血生化之源, 以资先天。
《内经》有云:“女子二七而天癸至,任脉通,太冲脉盛,月事以时下,故能有子。”
其中天癸正是来自于肾, 源于先天, 得到后天的不断充养, 才能维持人体正常的经孕功能。
若先天肾气不足,肾精亏乏,或脾虚生化乏源,无以滋养先天而致肾虚,冲任虚衰,胞宫失养则月经后期,甚则闭止不行,肾虚无力摄精而致不孕。
多囊卵巢综合征患者,多存在卵泡发育不良, 卵巢内可见多个发育不成熟的小卵泡,而且年龄较小的患者,通过B超检查多数可见子宫发育小。

“胞脉者系于肾, 肾主生殖”,肾气不足, 肾精亏乏是多囊卵巢综合征的根本原因。
痰湿为标
古人云:胖人多痰湿,多囊卵巢综合征患者多为痰湿体质。
痰湿主要由脾肾两虚所致。
肾虚则气化失常, 脾虚则运化失常, 水失运化则为痰为饮, 溢于肌体而致肥胖, 阻于胞脉而致闭经、不孕。
《医宗金鉴》所言:“痰饮脂膜病子宫”。临床常表现为带下量多,肢体倦怠,舌苔厚腻等症状。

多囊卵巢综合征如何治疗呢?
从肾论治
多囊卵巢综合征,应以立补肾健脾调冲, 佐以化痰祛湿的治疗原则, 给大家推荐一个益肾化湿汤。
【组方】
菟丝子、巴戟天、山茱萸、枸杞子、怀牛膝、香附、白芍、胆南星、苍术、陈皮。
【方解】
方用菟丝子、巴戟天、杜仲、枸杞子、怀牛膝补肾填精,以资先天;香附理气调经,为妇科调经要药;白芍养血滋阴, 陈皮健脾和胃,且能燥湿化痰,胆南星、苍术化痰祛湿。
全方用药平和,补中有泻,滋而不腻,共奏补肾健脾调冲,化痰祛湿的功效。

【加减化裁】
以上方为基础, 随证加减治疗。
如偏于肾阳虚者可酌加肉桂、附子以温补肾阳,偏于肾阴虚者加女贞子、熟地以滋补肾阴,
对于子宫发育不良者加紫河车、龟版等血肉友情之品。

周期治疗
月经期间阴阳的动态变化,主张在月经的不同阶段分期用药。
凡青春期月经稀发、后期、闭经的多囊卵巢综合征患者宜于经前10天补肾活血调经,予以补肾活血调冲汤加减;经后的女性则宜侧重补益,佐以调经,以建立其正常月经周期,方用加味育阴汤加减。

对于雌孕激素低下或促卵泡生成素升高,B超提示子宫、卵巢发育不良的女性,可酌情加菟丝子、紫河车、巴戟天以补肾益髓,调理冲任。
月经过期不至,脉象沉细毫无经水欲来之意,用药上仍应以补肾填精为主,主张“经满则自溢。”
如用药一段时间出现小腹胀满不适, 脉象滑疾等经水欲来之象,便应行气活血,因势利导,选用调肝汤或补肾活血汤加减。

促排卵
中医学中排卵的成功与否离不开肾气的推动作用,
肾气、肾精充盛为基础,气血调畅为必要条件,肾中阴阳消长转化是关键 。

因此临床中治疗多囊不孕的患者多以杜仲、菟丝子、巴戟天等益气补肾的中药为主,酌加鳖甲、浙贝母等软坚散结的中药以促排卵。
一般1个疗程为3个周期,且要通过复查超声、糖耐量和胰岛素、血清性激素六项等各项指标,来判断疾病的转归 。
孕后安胎
囊卵巢综合征的病因主要以肾虚为主,肾藏精,主生殖,肾虚则胞脉失养,冲任不固,易出现胎动不安甚至自然流产。
因此,经治疗怀孕后,应嘱咐患者予以高度的重视,注意休息,保持乐观的心态,补充营养以增强体质并积极采取保胎治疗,以免发生自然流产,一般治疗时间以妊娠前12周为宜。

多囊卵巢综合征闭经
跟大家分享一则多囊卵巢综合征闭经的医案。
患者25岁,未婚,自述因月经8个月一行就诊。16岁初潮,自高中始因学习压力过大而出现月经失调,2~3月一行,甚则长达半年之久。平素腰痛,头晕,神疲乏力,面部及背部*疮痤**,心烦易怒,颈部黑棘皮症状较明显,体型肥胖,其身高163厘米,体重83 kg。
观其舌苔,舌体偏大,黯淡,苔白。脉弦细。
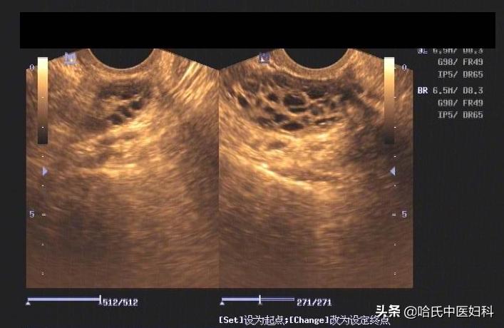
辅助检查:B超示子宫稍小27 mm×23 mm×30 mm,双侧卵巢内可见直径<9 mm以下滤泡12个以上,呈项链状分布,提示多囊卵巢综合征;甲状腺功能未见异常;
空腹血糖:6.3 mmol/L,180min血糖:7.2 mmol/L,180 min胰岛素:26 μU/mL;
其血清性激素六项检查提示:卵巢生刺激素:3.87 mU/mL,促黄体生成素:20.04 mU/mL(LH/FSH>5.18 mU/mL)
【辨证】: 肾虚肝郁,冲任失调。
【中医诊断】:闭经;西医诊断:多囊卵巢综合征。
【治法】: 益肾调肝,活血调经。
【处方】: 补肾活血调冲汤加减。
【用药】: 生地黄、杜仲、山茱萸、菟丝子、巴戟天、柴胡、香附、丹参、赤芍、当归、怀牛膝、山药、龟甲、生甘草。水煎服。嘱患者增加运动减轻体重。

二诊时,患者自觉服药后症状明显缓解,大便略稀,每日2~3次,偶有腰痛、神疲乏力,
因为正值经期第3天,色黯、质黏、少许血块。守上方去当归、丹参,加白术。服法同前。
三诊,患者自觉服药后头晕消失,其他症状明显减轻,体重76kg。
其舌质略黯、苔薄白、脉略滑。考虑经期将近,守原方加益母草,水煎服,经期量多时停服。
四诊时患者反馈,月经基本恢复正常,黑棘皮症状明显改善,舌体正常大小,苔薄白,脉和缓。但腰膝酸软。
【方药】: 以加味育阴汤加减治疗
【用药】: 熟地黄、山药、山茱萸、杜仲、菟丝子、巴戟天、丹参、香附、白芍、怀牛膝、苍术、狗脊、鳖甲。

次日复查血清性激素六项:促黄体生成素和卵巢刺激素比值小于2。
空腹血糖:6.0 mmol/L,180 min血糖:6.2 mmol/L;180 min胰岛素:15.6 μU/mL。
如这位患者发病于青春期,为先天发育不足,精血未充,血海不能按时满溢,故发为月经稀发。
平素腰痛、神疲乏力、头晕、子宫发育稍小,均为肾虚所致。
方中予以菟丝子、巴戟天温补肾中阳气;龟甲滋补肾中之阴,与菟丝子、巴戟天同用调和肾中阴阳,从而达到精血旺盛,血海满盈;杜仲、山药、山萸怀补益肝肾,滋养先天,促进精血生成;当归养血活血,其味辛散,乃其中血药;柴胡、香附疏肝解郁,使肝郁得以条达;生地黄、赤芍、丹参清热活血化瘀,凉血不留瘀,活血不动血,且透达肝经郁热,甘草健脾益气,使营血生化有源;怀牛膝活血通经;引血下行、使血汇聚于冲任二脉、为月经来潮做准备。

全方使肾虚得补、肝郁得疏、兼顾活血化瘀;补益脾气、气血兼顾、共达“益肾调肝,活血调经”之效。
多囊卵巢综合征患者在治疗时,除了积极配合主治医生的治疗方案外,还要调整心态。
情志畅才能减轻精神压力,以便促进疾病的康复。
我是@哈氏中医妇科关注我了解更多健康知识,关于“多囊闭经”、“多囊不孕”欢迎大家在评论区留言提问,看到后会一一为大家解答。#非常病例##多囊卵巢综合征##月经不调#