
这张图片是我接诊的一位63岁老年患者、患者以眩晕、呕吐、走路不稳为首发症状入我院神经内科、进一步检查发现双肺多发肿块,小脑肿块、考虑肺癌脑转移转入我科。

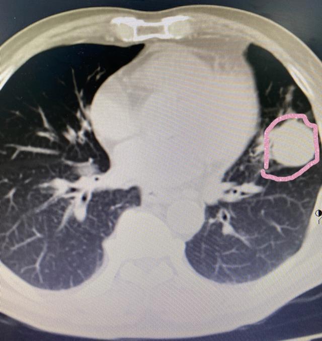
患者双肺典型多发转移灶,下图被我圈出来的是其中一个转移灶。

腹腔淋巴结多发转移、左下腹部皮下包块。下图被我标出的是患者左下腹部皮下转移性包块。

患者肺部肿块穿刺提示:间叶性来源、考虑恶性黑色素瘤肺转移,加做基因检测、支持病理诊断。

该患者经过免疫治疗配合放化疗治疗效果很好、全身转移瘤缩小、脑部转移症状消失、皮下包块消失、不完全肠梗阻症状消失、生活质量显著提高。

恶性黑色素瘤是黑色素细胞恶变而来,恶性程度高,但进展缓慢,虽进展缓慢但易发生远处转移,早期治疗一般预后很好,患者可长期生存。如果您身上有上图的黑痣、请不要激惹它们,平时不要抓搔、避免黑痣所在部位反复摩擦、如条件允许请前往三甲医院评估是否需要切除。

如已进展为恶性黑色素瘤也不要过于害怕、请及时前往三甲医院接受正规治疗,早中期恶性黑色素瘤预后情况很好、经过规范治疗大部分患者能长期生存。需要注意的是恶性黑色素瘤如果需要手术、要求切除范围要足够,一般不做姑息切除、避免激惹肿瘤、造成病情进一步恶化。
我是专注讲述临床小故事、科普健康小常识的小崔医生,欢迎大家收藏转发、如有健康问题可评论留言或私信咨询。(部分图片来自网络如涉及侵权请联系本人删除)