点击右上角立即关注,更多健康内容不再错过,不定期惊喜送给你
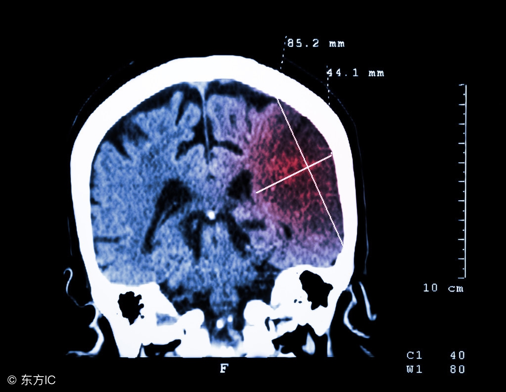
脑梗塞是一种较为常见的疾病,该疾病的发病给患者、家庭及社会带来极大的痛苦和沉重的负担。我们大家在日常生活中一定要对脑梗塞典型症状表现多加了解,在出现该疾病的症状时,尽早到正规医院进行诊断,确诊后积极配合医生治疗,只有这样才能避免病情加重。以下是相关内容介绍。

脑梗塞可发生于任何年龄,以青壮年多见。多在活动中急性发病,无前驱症状,局灶性神经体征在数秒至数分钟达到高峰,多表现为完全性卒中,意识清楚或轻度意识模糊,颈内动脉或大脑中动脉主干栓塞导致大面积脑梗塞,可发生严重脑水肿、颅内压增高,甚至脑疝和昏迷,脑梗塞的表现常见痫性发作;椎-基底动脉系统栓塞常发生昏迷。个别病例局灶性体征稳定或一度好转后又出现加重提示栓塞再发或继发出血。

脑梗塞患者主诉多为面瘫、上肢单瘫、偏瘫、失语、抽搐等症状。偏瘫以面和上肢为重,下肢相对较轻。感觉和视觉可能有轻度影响,但一般不明显。抽搐大多数为局限性,如为全身性大发作,则提示栓塞范围广泛,脑梗塞病情较重,约有1/5的脑梗塞患者出现眩晕、复视、共济失调、交叉性瘫痪等症状。

大多数脑梗塞患者伴有风湿性心脏病、冠心病和严重心律失常、心脏手术、长骨骨折、血管内介入治疗等栓子来源,以及肺栓塞(气急、发绀、胸痛、咯血和胸膜摩擦音等)、肾栓塞(腰痛、血尿等)、肠系膜栓塞(腹痛、便血等)、皮肤栓塞(出血点或瘀斑)等体征。
脑梗塞典型症状表现有很多,大家在日常生活中对以上介绍的症状表现一定要引起重视,做到及时发现及时治疗,以免错过最佳治疗时间,导致病情的加重。
注:文中图片来自网络,如有侵权请联系删除