“牙痛没有病,杀死人很痛”,每次牙痛都可以拔出所有牙齿吗?
您是否曾经遇到服用止痛药无法缓解牙痛的情况?
您是否经历过咬冰块和忍受不眠之夜的无声耐力?
其实牙痛是由很多原因引起的,快来看看合适的药〜
病征
牙痛是一种常见疾病。疼痛的症状主要分为以下两种类型:
自发性疼痛。在没有任何外部刺激的情况下,患牙会出现严重疼痛。疼痛的早期发作很短,缓解时间更长。随着疾病的进展,疼痛的晚期发作时间更长,缓解时间更短。缓解期
夜间疼痛比白天更严重,尤其是在躺下时;早期的冷热刺激会导致疼痛加重,晚期的冷刺激不仅不能刺激疼痛,而且可以暂时缓解疼痛,因此临床上常见的患者可以用冷水或呼吸来减轻疼痛。
疼痛的原因
1.智齿

牙痛的部位集中在两侧的后磨牙上,牙龈发红或肿胀,有时还可以看到尚未完全长出的智齿。
2.龋齿

牙齿表面明显受损,龋齿通常呈黑色。当食物残渣塞在龋齿孔中时,您会感到疼痛并伴有口臭。
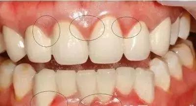
3.牙周炎

隐藏在牙齿和牙龈之间的牙结石是牙龈的持续收缩,感染会引起疼痛。不是牙齿变大,而是牙龈萎缩(刷牙时牙龈出血)。
4.牙髓炎

牙齿很敏感,刷牙时疼痛很明显。最大的特点是“冷热疼痛,夜间自发性疼痛。
5.冠状周炎症

它与智齿有关。当牙齿未完全萌出时,它们会受到牙龈组织的抵抗,导致周围的柔软抵抗发炎。
6,根尖周炎

牙齿受到严重感染,并逐渐扩散到牙齿的顶端,这在咬合过程中显示出异常疼痛,服药后没有效果。
7.牙周肿胀

化脓性炎症由牙周炎症的持续恶化引起,牙齿感到肿,加热时疼痛加倍。
8.牙本质敏感

牙龈严重萎缩,牙齿受到机械损坏。牙本质对刺激反应强烈,引起疼痛。特点是刺激停止并且疼痛立即停止。牙本质渗漏的常见原因是夜间磨牙,单侧咀嚼,牙齿外伤和牙齿折断。
9.牙槽囊肿

疼痛感来自牙槽骨,显然非常严重,并且面部和下颌下组织的淋巴结也会肿胀。
10.三叉神经痛

这并不是真正的牙痛,而是常见的神经病,其特征是剧烈疼痛,难以忍受和间歇发作。
病因与病理
第一类是牙齿和牙髓病变。随着龋齿发展到更深的程度,会出现刺激性疼痛,例如冷热。如果不及时治疗,它将进一步发展为牙髓发炎并引起自发性疼痛。会伤得我无法入睡!

急性炎症期过后,疼痛症状会缓解,直到症状消失,但不要认为炎症会消失。实际上,发炎不仅侵蚀牙髓并发展成牙周组织,发炎还渗入牙槽骨并引起牙槽骨吸收。当您到达牙龈形成瘘管,而白色脓液流出时,您应该去医院接受更复杂的治疗。否则,您必须拔出牙齿。

第二种是由牙周疾病引起的。常见的是食物受累引起的牙龈炎和冠心炎。此时,您只需要清洁受影响的食物并使用消炎,止痛和安抚药即可。

不要觉得牙痛很小,只要煮一下就可以了
牙痛的原因太多,应该立即去医院寻求牙医治疗
避免牙齿发炎的恶化,尽快摆脱牙痛的阴影
你可以吃它,它很好吃,而且你笑容灿烂〜