01,重度抑郁症中与血清素1A结合相关的负面情绪刺激神经反应的大规模网络动态研究
译者:Lenore
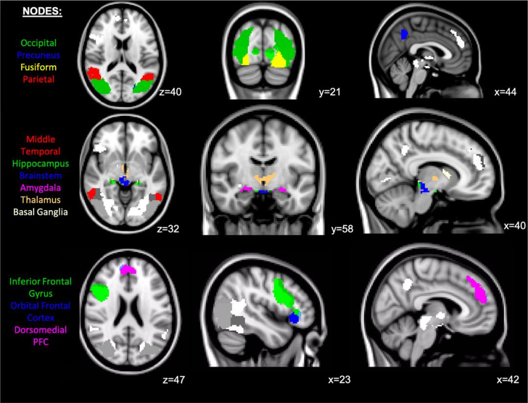
关键词 :血清素;中缝;海马体抑制;负面情绪
血清素功能障碍与重度抑郁症(MDD)有关,但目前仍不清楚此关系背后的机制。血清素1A(5-HT1A)自受体负责调节全脑的血清素神经元放电,并可对负面情绪产生大规模影响。本实验研究了中缝5-HT1A结合与负面情绪的全脑网络动态之间的关系。
在负面图片观看期间,MDD患者的杏仁核、基底神经节、丘脑、眶额叶皮层、额下回及背内侧前额叶皮层(inferior frontal gyrus, IFG; dorsomedial prefrontal cortex, dmPFC)表现出了显著的海马体抑制迹象。MDD相关的连接性与中缝5-HT1A结合无关。然而,杏仁核、丘脑、IFG及dmPFC中更强的海马体抑制作用与海马体的5-HT1A结合有关。海马体5-HT1A结合和海马体抑制网络之间的相关性只存在于MDD患者中,健康志愿者(healthy volunteers, HV)中则无此现象。MDD组与HV组在中缝及海马体5-HT1A结合之间的相关性方面也有所不同,此相关在HV中更为明显。
这些发现表明,MDD中海马体网络抑制的增强与海马体血清素功能障碍有关,而海马体的血清素功能障碍可能是由中缝与海马体血清素回路之间被破坏的连接引起的。

对负面图片及中性图片产生反应的团簇可归纳为13个节点
参考文献:Schneck, N., Tu, T., Falcone, H.R. et al. Large-scale network dynamics in neural response to emotionally negative stimuli linked to serotonin 1A binding in major depressive disorder. Mol Psychiatry (2020). doi: https://doi.org/10.1038/s41380-020-0733-5
02,前脑兴奋性神经元的SIRT1在内侧前额叶皮层的抑郁相关行为、神经兴奋性调控、突触传递方面产生性别二态性效应
译者:Sheena
关键词 :SIRT1、mPFC、性别二态性
Sirtuin 1 (SIRT1)是一种NAD依赖的去乙酰化酶,是细胞代谢的关键调控因子。最近的全基因组关联研究确定了与重度抑郁症相关的SIRT1基因变异。SIRT1在大脑中广泛表达,然而,抑郁行为中调控SIRT1活动的神经底物尚不明确。这里我们发现,选择性敲除前脑兴奋性神经元中的SIRT1可以引起雄性小鼠的抑郁样表型,但是雌性小鼠中不存在此现象。AAV-Cre介导的成年鼠中mPFC的SIRT1敲低引起抑郁样行为。全细胞膜片钳记录说明SIRT1确实直接减少了边缘前mPFC V层锥体神经元的兴奋性以及自发兴奋性突触传递。
与神经元的低兴奋性一致,SIRT1敲除降低了边缘前mPFC中线粒体密度和参与线粒体生物发生和动力学相关基因的表达水平。当SIRT1激活剂(SRT2104)被注射到野生型小鼠的mPFC或侧脑室时,它逆转了慢性不可预测的应激性快感缺乏和行为绝望,显示出一种类似抗抑郁的效果。这些结果提示,mPFC兴奋性神经元中的SIRT1是正常神经元兴奋性和突触传递所必需的,并以性别特异性的方式调节与抑郁相关的行为。

去乙酰化酶1(SIRT1)的缺失会损伤内侧前额叶皮层神经元的线粒体发生
参考文献:Lei Y, Wang J, Wang D, et al. SIRT1 in forebrain excitatory neurons produces sexually dimorphic effects on depression-related behaviors and modulates neuronal excitability and synaptic transmission in the medial prefrontal cortex [published online ahead of print, 2019 Jan 31]. Mol Psychiatry. 2019;10.1038/s41380-019-0352-1. doi:10.1038/s41380-019-0352-1
03,血清FAM19A5水平:重度抑郁症患者神经炎症和神经退行性疾病的新型生物标志物
译者:He
关键词:FAM19A5 星形角质细胞 皮层厚度
慢性低度炎症是重度抑郁症(MDD)的病理生理机制之一。这项研究旨在通过研究患者血清FAM19A5(一种反映趋化性星形胶质瘤和炎症反应的新型趋化因子样肽)水平与皮层厚度变化之间的相关性,探讨血清FAM19A5水平与MDD的神经退行性变化之间的关系。
我们研究了52无*品毒**史的MDD患者和60例健康对照组(HCs)。采用酶联免疫吸附法测定外周血静脉血中FAM19A5水平。所有参与者都接受了T1加权结构磁共振成像。MDD患者血清FAM19A5水平高于HCs患者。在MDD组中,血清FAM19A5水平与额叶前额叶区域(即左下右和右内侧额叶上回),左后扣带回,右楔骨以及前楔骨之间皮层厚度之间呈显着负相关,与HC相比,MDD患者的厚度减少了。然而,在HC组中,血清FAM19A5水平与皮质厚度之间没有相关性。
我们的研究结果表明,血清FAM19A5水平可能反映了趋化性星形胶质细胞病和相关的MDD神经炎症。我们的发现还表明,血清FAM19A5可能是MDD神经退行性改变的潜在生物标志物。

使用蒙特卡洛排列聚类分析(小组)对MDD组皮质厚度和血清FAM19A5水平之间进行相关分析(ng / ml)。色条代表与相关性分析有关的每个群集中的最大z分数(图A)。B–E图显示了MDD组皮质厚度与血清FAM19A5水平之间的相关性分析的散点图,与HCs相比,MDD患者皮质厚度明显变薄 (B-左侧下额回[三角肌部];C-左侧后扣带回和楔前叶;D-右内侧上额回;E-右楔和楔前叶)
参考文献:K.-M. Han, et al. Serum FAM19A5 levels: A novel biomarker for neuroinflammation and neurodegeneration in major depressive disorder. Brain, Behavior, and Immunity, https://doi.org/10.1016/j.bbi.2020.03.021
04,重度抑郁症中针对炎症-线粒体反应的当前证据和未来挑战
译者:Navy
近年来,精神疾病的患病率不断增加。在现有的精神障碍类疾病中,重度抑郁症(major depressive disorder,MDD)已成为全球致残的主要原因之一,并影响到患者的一生。当前,MDD影响了15%的美国成年人。在过去的50年中,药物疗法、心理疗法和脑部刺激已被用于治疗MDD。
最常见的方法仍然是药物疗法, 但是,研究表明,大约40%的患者对现有治疗无效。尽管单胺假说已被广泛认为可以解释抑郁症病因的分子机制,但其与其他生化现象的关系仅部分被研究。
本研究是对MDD与炎症、线粒体功能障碍和氧化应激之间存在联系的一个综述。研究发现,抑郁症患者通常表现出炎症标记物改变,线粒体膜去极化,线粒体DNA氧化,因此中枢和外周活性氧(reactive oxygen species,ROS)含量高。抗抑郁药对这些情况的影响尚不清楚,而ROS对大脑的影响是众所周知的,包括神经元膜的脂质过氧化,神经元中过氧化产物的积累,蛋白质和DNA损伤,抗氧化物防御能力降低,细胞凋亡诱导和神经炎症。
抗氧化物,例如抗坏血酸,生育酚和辅酶Q在某些抑郁症患者中显示出作用,但对其疗效尚无共识。因此,本文综述了MDD及其与炎症、线粒体功能障碍和氧化应激的关系,旨在彻底讨论这些事件之间的可能的联系,这将有助于设计和开发针对这些患者的新治疗方法。

参考文献:Ana Paula Vargas Visentin, Targeting Inflammatory-Mitochondrial Response in Major Depression: Current Evidence and Further Challenges, Oxidative Medicine and Cellular Longevity, Volume 2020, Article ID 2972968, 20 pages https://doi.org/10.1155/2020/2972968.
05,产妇围产期抑郁症状与其后代18岁时的精神病经历:一个纵向研究
译者:UTCS
关键词 :围产期;抑郁症;子代;纵向研究
背景 :已有证据表明,产妇在围产期的抑郁症状会对其幼儿的一系列生理行为表现产生不利影响,同时还会增加其后代在青春期患上抑郁症的风险。然而,目前还没有研究对产妇围产期抑郁与其子女的精神病经历之间的关系进行调查探究。我们进行研究的目的是,调查产妇的产前或产后抑郁症是否与其子女18岁时的精神病经历有关。
方法 :本研究使用了来自Avon父母和孩子纵向研究(ALSPAC)中的数据(一个前瞻性的出生队列研究),研究中招募了14541名孕妇,她们的预计分娩日期在1991年4月1日至1992年12月31日之间。采用爱丁堡产后抑郁量表(EPDS)对产妇的围产期抑郁症进行测量;采用精神病样症状访谈法对子女18岁时的精神病经历进行测量。
研究中主要分析了,具有完整的产妇围产期抑郁测量数据、完整的结果(精神病经历)数据和混淆变量数据的母亲的后代的相关数据。在主要分析中,我们使用logistic回归法分析了产妇抑郁(产前和产后)与其子女18岁时的精神病经历之间的关系。我们使用biprobit回归法建立了产妇产前抑郁与其子女18岁时的两个结局(精神病经历和抑郁)之间的关联的联合模型。
发现 :共有3067名具备其母亲围产期抑郁症数据,及其18岁时的精神病经历数据的子女被纳入了分析。母亲产前抑郁症状与其子代18岁时的精神病经历相关,未经校正的优势比(OR)为1.38(95%置信区间 1.18-1.61,p=0.0001),校正混淆因素后,OR为1.26(1.06-1.49,p=0.0074)。
母亲产前抑郁症状与其子代18岁时的精神病经历(n=2830, EPDS评分增加5分的OR为:1.32[95%置信区间 1.16-1.51],p<0.0001)和子代18岁时的抑郁(EPDS评分增加5分的OR为:1.18[1.03-1.34],p=0.016)显著相关。从联合模型来看,母亲产前抑郁与其子代的精神病经历之间的关系,在强度上和母亲产前抑郁与其子代抑郁之间的关系不存在显著差异(p=0.19)。
解释 :那些在围产期经历抑郁症的母亲的子代在18岁时更有可能报告有精神病经历。如果两个变量被发现存在因果关系,那么它将成为在怀孕期间和怀孕之后对母亲抑郁症进行识别和治疗的强有力的理由。

在一个完全暴露、具备结果和混淆变量的样本中,母亲产前抑郁与其子女18岁时精神病经历的关系
参考文献:Srinivasan R, Pearson R M, Johnson S, et al. Maternal perinatal depressive symptoms and offspring psychotic experiences at 18 years of age: a longitudinal study[J]. The Lancet Psychiatry, 2020, 7(5): 431-440.
06,慢性温和不可预知应激抑郁症模型中神经元以及星形胶质细胞的代谢活动损伤:拉尼西明对行为以及代谢损伤的逆转
译者:Kagima
关键词:碳13磁共振波谱;GABA;谷氨酰胺;谷氨酸;神经元-神经胶质相互作用;神经递质传递
重度抑郁症(Major depressive disorder)是全世界范围内残疾以及自杀的一个主要原因。在此,本项研究使用C57BL6小鼠在慢性温和不可预知应激(chronic unpredictable mild stress, CUMS)环境下三周诱导小鼠抑郁,并检测小鼠前额叶皮层(prefrontal cortex, PFC)神经元的代谢活动。此外,本研究还通过检测CUMS小鼠中行为以及神经代谢,评估低俘获NMDA受体拮抗剂——拉尼西明(Lanicemine)对于抑郁症的治疗效果。
前额叶皮层的神经元以及星形胶质细胞的代谢活动通过质子观测碳编辑(Proton Observed Carbon Edited, POCE)磁共振波谱技术,以及分别注射的[1,6-13C2]葡萄糖以及[2-13C]乙酸盐进行测量。谷氨酸能神经元,GABA能神经元,以及星形胶质细胞的TCA循环速率以及神经递质传递速率通过适配的三室代谢模型(three-compartment metabolic model)检测氨基酸中碳13的流动而获得相应数据。
本研究中,CUMS小鼠的蔗糖偏好性出现了显著性下降(CUMS 58.0±12.5%, n=29; Control 86.3±6.4%, n=30; p<0.0001),在强迫游泳实验中不动性也出现了增加(CUMS 146.1±60.8s, n=29; Control 29.9±19.3s, n=30; p<0.0001)。CUMS小鼠中来源于[2-13C]乙酸盐碳13标记的氨基酸浓度显著性减少,暗示了CUMS小鼠星形胶质细胞代谢活动的减少。与control小鼠相比,CUMS小鼠谷氨酸能以及GABA能神经元的TCA循环速率出现下降。
另外,CUMS小鼠中GABA-谷氨酰胺以及谷氨酸-谷氨酰胺的神经递质循环也均出现下降。最有趣的是,短时间拉尼西明的介入使得CUMS小鼠行为(蔗糖偏好性以及不动性)出现恢复,并且谷氨酸能以及GABA能神经元中葡萄糖氧化速率也出现增加。
总结来说,本研究的发现表明抑郁导致了前额叶皮层兴奋性减少并且抑制了神经递质的传递,而谷氨酸能通路可能可以作为慢性抑郁症的潜在治疗靶点。

拉尼西明介入下CUMS小鼠的行为及代谢速率均出现恢复
参考文献:Mishra, P. K., Adusumilli, M., Deolal, P., Mason, G. F., Kumar, A., & Patel, A. B. (2020). Impaired Neuronal and Astroglial Metabolic Activity in Chronic Unpredictable Mild Stress Model of Depression: Reversal of Behavioral and Metabolic deficit with Lanicemine. Neurochemistry International, 104750. https://doi.org/10.1016/j.neuint.2020.104750
前文阅读
1,084期抑研报|海马区神经炎症影响阿兹海默症模型的抑郁样行为
2,083期抑研报|快速起效抗抑郁药的神经生物机制