引用本文:李笑, 柴宁莉, 令狐恩强. 超声内镜诊治合并假性囊肿的沟槽状胰腺炎1例[J]. 中华消化内镜杂志, 2022, 39(8): 658-659. DOI: 10.3760/cma.j.cn321463-20210627-00407.
·病例报道·
超声内镜诊治合并假性囊肿的沟槽状胰腺炎1例
Endoscopic ultrasonography in the diagnosis and treatment of groove pancreatitis combined with pancreatic pseudocyst: a case report
李笑 柴宁莉 令狐恩强
解放军总医院第一医学中心消化内科医学部,北京 100853
通信作者:令狐恩强,Email:linghuenqiang@vip.sina.com
【提要】 沟槽状胰腺炎是一种特殊类型的胰腺炎,临床报道较少。本文报道了1例以间断性上腹痛为主要临床表现、合并假性囊肿的沟槽状胰腺炎病例的超声内镜诊治过程,旨在为该类疾病的临床诊疗提供参考。
【关键词】 胰腺炎; 沟槽状胰腺炎; 假性囊肿; 超声内镜
基金项目:*队军**科研基金(14BJZ01)
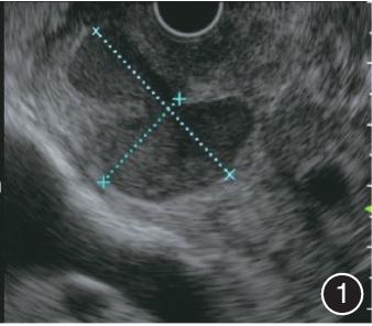
患者男,50岁,因“间断性上腹部疼痛5个月余”入院。入院前胰腺MRI平扫及动态增强扫描提示:胰头与十二指肠间可见不规则稍低T1信号以及稍高T2信号,局部可见分层,DWI呈不均匀稍高信号,并可见囊状无强化区。超声内镜检查提示:胰头钩突与十二指肠肠壁之间可见一囊性病变(图1)。结合患者的胰腺MRI和超声内镜检查结果,考虑诊断为沟槽状胰腺炎合并假性囊肿。
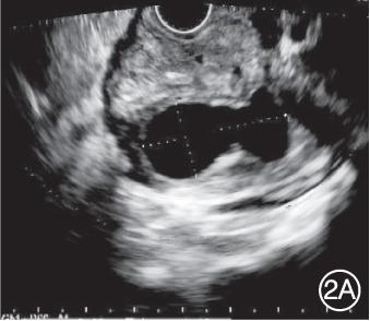
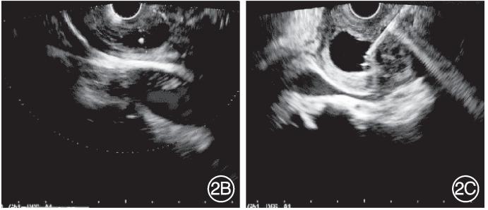
入院后完善相关实验室检查,脂肪酶284.2 U/L(参考值:13~60 U/L)、淀粉酶125.4 U/L(参考值:0~150 U/L),肿瘤标志物以及免疫球蛋白G亚型等均未见明显异常。复查超声内镜提示胰腺与十二指肠间可见一囊性病变,囊肿截面大小3.02 cm×1.46 cm,囊肿与胰管相通;胰腺钩突部胰管扩张,内可见高回声病变,伴声影;胰腺实质可见点状偏高回声;胆总管未见扩张;于囊性病变处行EUS‑FNA,抽取褐色液体2.8 mL后可见囊肿缩小(图2);随后行ERCP,在胰管内置入1枚支架。术后禁食水,给予抗炎、抑酸、抑制胰酶分泌、补液等治疗。术后6 d复查,脂肪酶122.3 U/L,淀粉酶70.2 U/L,患者腹痛及背部疼痛症状较刚入院时有明显缓解。6个月后超声内镜复查,胰管无明显扩张,其内未见高回声影(图3),行胰管支架拔除术。

图1 入院前超声内镜检查提示胰头钩突与十二指肠肠壁之间可见一囊性病变

2A:胰腺与十二指肠间可见一囊性病变,囊肿截面大小3.02 cm×1.46 cm,囊肿与胰管相通

2B:胰腺钩突部胰管扩张,内可见高回声病变,伴声影;2C:于囊性病变处行细针抽吸术,抽取褐色液体2.8 mL
图2 入院后复查超声内镜

图3 术后6个月后复查超声内镜未见胰管明显扩张,胰管内未见高回声影
讨论
沟槽状胰腺炎是一种特殊类型的胰腺炎,大多数患者为40~50岁的男性且有饮酒嗜好,其发病机制尚不清楚。Ooka等回顾了48例沟槽状胰腺炎患者的病历,发现饮酒是其最常见的病因(68.8%)。Muraki等根据47例患者的临床病理特征把沟槽状胰腺炎分为3个主要类型,并进一步分为5个亚型,指出不同亚型的沟槽状胰腺炎发病机制不一样,可能的病因包括先天性解剖结构异常、嗜酒、胆石症和高血压或缺血性疾病等。沟槽状胰腺炎患者的临床症状可以表现为急性胰腺炎的形式,如腹痛、恶心和呕吐等,也可以表现为慢性胰腺炎的形式,如慢性、复发病程,间断性腹痛和体重下降等,少数患者也会出现黄疸。
沟槽状胰腺炎的诊断方法包括病理学检查、内镜检查和影像学检查。病理学改变主要包括炎症和纤维化。内镜下可见十二指肠黏膜水肿、肠腔变窄,ERCP可见胆管缺失、不规则或扩张,部分患者因病变严重压迫十二指肠会导致ERCP操作失败,此外EUS‑FNA在提高病灶检出率的同时还可以取组织活检对病变进行鉴别诊断。影像学检查主要包括CT和MRI。CT平扫可见胰头、十二指肠及胆管间板层状软组织密度影,边界不清楚。MRI的T1WI提示该病变为低信号;而病灶的发展阶段不同T2WI的信号可低可高。以炎性渗出为主要病变特点的病变早期,水肿程度明显,故T2WI高信号多见;病变发展至后期,水肿较前减轻,纤维组织增生明显,故T2WI低信号多见;增强扫描均可见病变轻度强化。
由于沟槽状胰腺炎患者的临床表现并不典型,需要鉴别的疾病主要是发生在同一解剖区域的胰腺癌、壶腹部或十二指肠癌等,而由于具有相似的临床表现和相近的影像学特征,沟槽状胰腺炎的鉴别诊断具有一定挑战性。有研究对比了沟槽区胰腺癌和沟槽状胰腺炎患者的基线数据、化验指标、影像学特征和EUS‑FNA结果后指出,对于CA19‑9升高的患者有必要行EUS‑FNA,从而获取病理学诊断依据。对于可疑壶腹部或十二指肠癌的患者,有必要进行内镜下组织病理活检,从而帮助鉴别诊断。
沟槽状胰腺炎的治疗主要包括保守、内镜或外科治疗。外科治疗可以使大多数患者(79%)的症状得到完全缓解,但手术风险较高,术后有少数患者会发生胃排空延迟、胰漏等并发症,术后的长期效果和患者症状的控制情况相关,因此保守或内镜治疗是一种可选择的替代方案。近年来超声内镜发展迅速,在胰腺疾病的诊治方面具有明显的优势,尤其是在发现较小病灶方面,并且可以对病变进行活检从而明确诊断。
本例患者以间断上腹痛为主要临床表现,行MRI平扫、动态增强及超声内镜检查提示沟槽状胰腺炎合并假性囊肿,入院后复查超声内镜可见胰管结石,囊肿与胰管相通,考虑结石会阻碍囊肿内囊液引流,因此置入胰管支架。此外,超声内镜还提示胰腺实质可见点状偏高回声,结合患者病史及临床表现考虑仍存在胰腺炎,给予抑制胰酶分泌、抗炎、护胃、补液等治疗。术后6个月复查,患者假性囊肿消失,胰管未见扩张,胰管结石消失,遂行胰管支架拔除术。
参考文献略
来源 《中华消化内镜杂志》
收稿日期 2021-06-27 本文编辑 顾文景