克罗恩病 (CD) 是一种慢性肠道炎症疾病,特点是黏膜炎症和疾病反复发作,严重影响人正常生活,俗称“不死的癌症”。


茶陵县一位9岁患儿因患该病辗转多地治疗、复查。地域远,挂号难,检查麻烦使患儿和家长饱受折磨。近日,患儿家长经多方打听,得知株洲市中心医院超声科儿科亚专业组实力强大,于是通过电话咨询科主任潘勇,潘勇主任热情接了患儿家长,详细解释了克罗恩病超声检查的准备和流程,并约好时间为患儿会诊,让患者不需反复奔波。
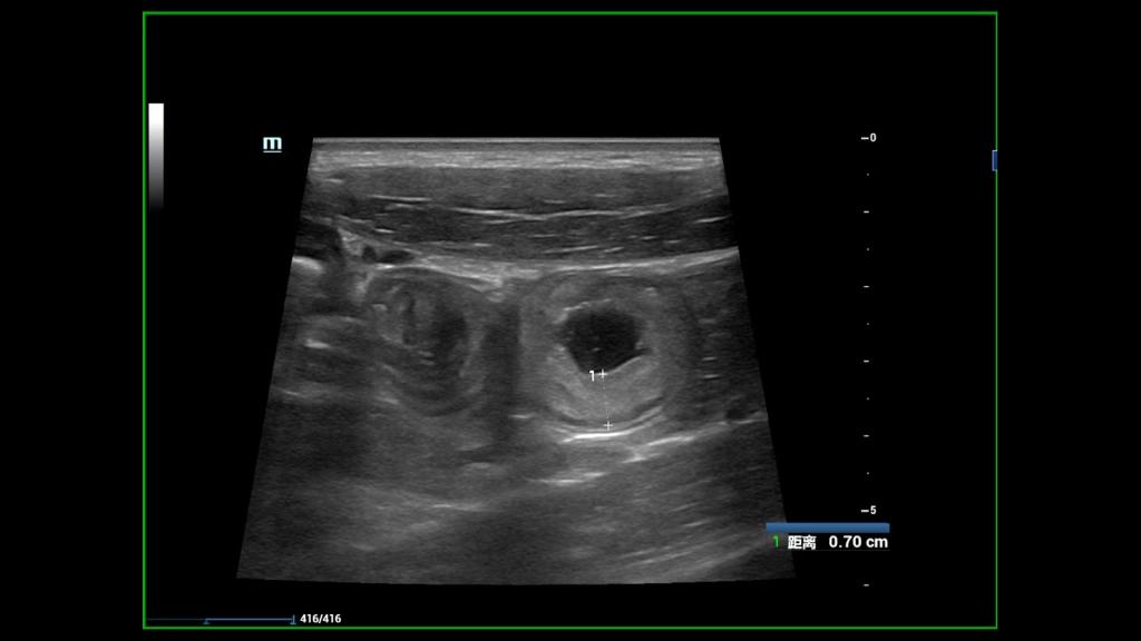
8月22日上午8时许,患儿及家属按约抵达。在超声科儿科亚专业组全体医师的参与下,由超声科刘灿主治医师负责为患儿做了详细的肠道超声检查,对整个肠道每段每节进行测量及记录,为患儿进一步治疗提供真实可靠的超声数据,解除了患儿家长的后顾之忧,患儿本人及家属十分感激,展现出灿烂的笑容。
随着医学水平不断发展,CD的治疗目标已经从症状缓解转变为黏膜愈合。将“全壁愈合”作为CD更深层次的治疗目标。CD “全壁愈合”可以通过磁共振小肠造影 (MRE)、计算机断层扫描 (CT) 和肠道超声 (IUS)进行评估。肠道超声 (IUS)可以检测CD疾病活动、病变范围和并发症,具有非侵入、无创无辐射、易于重复且成本低的优点,尤其适用于小儿。因此,将肠道超声作为判断CD“全壁愈合”的标准,逐渐受到越来越多的关注。

株洲市中心医院超声科儿童超声经过多年的探索研究、经验积累及不断的派出科室医生进修学习,现已发展成为具备先进临床诊断能力的超声特色专业。在儿童先天性心脏病、各类急腹症(阑尾炎、肠套叠、肠梗阻、卵巢扭转、*丸睾**扭转等)、泌尿系统疾病(肾积水、先天畸形等)、消化系统疾病(肠息肉、幽门狭窄、十二指肠闭锁、胆道闭锁、胆总管囊肿、克罗恩病等)、腹部肿瘤、内分泌疾病、浅表器官(血管瘤、甲状舌管囊肿 、鳃裂囊肿 、肌性斜颈、髋关节等)、新生儿颅脑及肺超声诊断,以及超声实施引导水灌肠肠套叠复位等方面处于省内领先水平。超声科小儿组在工作中不断积极与临床配合、沟通、讨论,为患儿提供优质的超声诊断服务。
通讯员:刘雅菲
审 核:潘 勇 黄红斌