前不久,恩铭接到一位佛系带娃的宝爸来电咨询:“大夫,我家孩子吐的比较厉害,要不要紧啊?”“这要看孩子的精神状况,如果精神状况不佳就需要到医疗机构就诊,呕吐频繁极有可能导致体内电解质紊乱..."本想施展开BLABLA聊天秘籍,可话还没说完,宝爸就突然问道:“需要做B超么?”恩铭迅速的整理了一下思路,凭着多年的临床经验感觉到这个问题可能会有坑,于是谨慎地反问道:“孩子是吃什么就吐什么吗?还有没有其他的一些症状,比如说拉肚子?发烧?”“肚子倒是没有拉,就是哭得比较厉害。前段时间有些感冒,低烧,过一阵子就退了。”“哭起来哄得住么?”“我哄他干嘛?男孩子吗,没女孩那么娇气,哭累了自然就会不哭了。”顿时恩铭觉得有些语塞词穷,便问道:“你家孩子多大了?”“前不久刚满八个月。”OMG,这么小的娃,他知道啥是娇气?不舒服自然就说婴语(哭)啦。这位宝爸也是人间极品,“那他吐得厉害你也不管么?”“我这不带他到医院来了么?”呵呵,原来是骑驴找马啊,“那您就该听接诊大夫的啊。”“大夫让我去做B超,这是神马鬼?”“那是排查肠套叠。”

婴幼儿突发哭闹不安,频繁呕吐需要考虑肠套叠可能
“哦,这边大夫说孩子是肠套叠,需要手术么?”遇到这样佛系的老爹还真不是一般的坑,稍微一不谨慎会被他同化,跟着他一起陷入深坑。很显然,接诊的大夫已经为他准备了最佳的治疗方案,可他却选择逃避眼前现实,期盼有一个能够支持他想法的“高人”出现。按恩铭的理解就是这位宝爸的内心想法就是“不要你以为,我要我以为”,认为他家孩子没问题,不需要做任何检查,也不需要进行任何治疗,这样行么?

正常肠管发生肠套叠后的比对图片
肠套叠(intussusception)是指部分肠管及其肠系膜套入临近肠腔所致的一种肠梗阻,是婴幼儿时期最常见的急腹症。肠套叠占肠梗阻的15%~20%。有原发性和继发性两类。原发性肠套叠多发生于婴幼儿,继发性肠套叠则多见于成人。绝大数肠套叠是近端肠管向远端肠管内套入,逆性套叠较罕见,不及总例数的10%。具体情况如下图所示。

肠套叠时回盲型的肠套叠占到总数的50%~60%,最常见
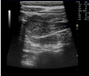
急性肠套叠是婴儿期的一种特有疾病,一岁以内多见,占60%~65%,其中又以4~10个月婴儿多见。2岁以后随年龄增长发病率逐年减少,5岁罕见。这是由于婴幼儿回盲部肠系膜尚未完全固定、活动度较大,因此容易出现肠套叠。根据调查显示,肠套叠的男婴发病率较高,男女孩的发病率之比约为2:1~3:1。肠套叠一年四季均有发病,以春季发病率较高,可能与上呼吸道感染及胃肠道病毒感染有关,夏冬次之,秋季较少见。临床排除肠套叠时,B超是首选。在B超下,肠套叠的部位可显示出边界清楚的包块。在肠管的横断面上呈现大环套小环的特征,即“同心圆征”。如下图所示。其表现为:外圆为均匀的低回声环带(系鞘部的肠壁回声),外圆内又有一个小低回声环带,形成内圆。内外圆之间为高回声环。形成“同心圆”。这可不是小虎队“爱”的魔力转圈圈后形成的哦。

肠套叠的同心圆症
换个角度来看TA的“侧脸”后,在专业人士的眼里中会更加直观。纵断面上侧呈现“假肾征”。这可不是因为“爱疯”换走了孩子的肾,这是心态“膨胀”后的肠管摆出来的独特POSE。

这种看起来像肾脏的“李鬼”在专业人士的眼中自然原形毕露啰
众所周知,过度的放飞自我往往不是好事。肠套叠一旦形成,仅有很少部分的小肠套叠可以自行复位(暂时性小肠套叠),对于套入结肠的或者反复套入肠管的一般不能自行复位。这是因为鞘层(外套那层)的肠管持续痉挛,使得套入部肠管发生循环障碍,初期静脉回流受阻,组织充血、水肿、静脉曲张。黏膜分泌大量粘液,进入肠腔内,与血液及粪渣混合成果酱样的胶冻状物体排出体外。当肠管肠壁的水肿、静脉回流进一步加重时,肠壁间的动脉亦可受累,出现供血不足的情况,从而使得肠壁坏死,并出现全身性的中毒症状,严重者可并发肠穿孔和腹膜炎,甚至导致死亡。

肠穿孔后诱发弥漫性腹膜炎、出现脓毒血症后孩子的生命便岌岌可危
既然孩子的腹部B超已经提示是肠套叠,家长该如何做呢?是直接选择手术治疗还是进行保守治疗呢?回答这个问题如同汉姆雷特发自内心的疑问“存在或不存在,这是问题所在..."一般,佛系的宝爸可能还在纠结于肠套叠有还是没有这个问题上。其实我们根据孩子的临床表现也能看出一些端倪。当孩子有如下表现时,需要高度怀疑肠套叠:
1、 腹痛:突然发生的剧烈阵发性腹痛。患儿表现为阵发性的剧烈哭闹,尖叫不安,面色苍白,拒食,出汗,下肢屈曲,持续数分钟后,腹痛缓解,安静或入睡,间歇10-20分钟后又反复发作。有些孩子并不啼哭,表现出烦躁不安,持续数分钟而突然安静,玩耍如常,但不久后上述情况又重复出现。
2、呕吐:腹痛发作以后即出现,初起较频繁,随后可减轻,吐出物多为胃内容物。初为乳汁、食物残渣,后可含胆汁。患儿常表现拒绝哺乳或拒食。到后期如发展为完全性肠梗阻时,常见呕吐物为粪便样物并带有臭味。
3、血便:为肠套叠最重要症状之一。发病后4~12小时,孩子便可出现紫红色或“猪肝色”大便,并伴有少许粘液。直肠指诊时指套上可染血迹,有时可触及套叠的头部。发病后6-12小时后可出现果酱样粘液血便,直肠指检时亦可发现血便。
4、腹部包块:在患儿安静或熟睡时,孩子腹壁松弛的情况下,可在腹部可摸到“腊肠样”的肿块。如为回盲型,则肿块多在右上腹部或腹中部,表面光滑,稍可移动,腹痛发作时,肿块明显,肠鸣音亢进,右下腹有“空虚感”。但在就诊较晚的患儿中,由于明显腹胀或腹膜炎存在而导致腹部肿块不易扪清。
5、全身情况:患病早期孩子的一般情况尚好,随着病程延长,贻误治疗后可导致病情加重,可并发肠坏死、腹膜炎,全身情况迅速恶化。

当大夫给出较为明确的诊断意见时,听从接诊大夫的建议是最好的选择
因此,佛系的宝爸们不能以淡然的态度来面对孩子的疾病,仿佛置身事外。应该更加主动的配合医务工作者对孩子进行诊治。同时,在疾病发生时,孩子的许多临床表现是能够印证大夫的判断的。只有给接诊大夫足够的信任,孩子才能够获得最大的利益。此外,有些宝爸对一些医疗操作甚是抵触。比如治疗肠套叠的空气灌肠术。虽然也是一种手术,但并不是需要动用手术刀。这种手术是指通过肛门向肠管内注入气体,然后在X线透视下观察,如果孩子存在肠套叠则可以在透视下看到杯口阴影,并能清楚发现套叠头,同时可进行复位治疗。空气灌肠既可作诊断使用也可用于治疗,准确率达95%--98%,复位率达90%以上,操作设备比较简单,技术也容易掌握。还可以通过B超监视下进行水压灌肠复位:从患儿肛门处插入Foley管并将气囊充气20~40ml。将T形管一端接Foley管,一端接血压计监测注水压力,另一端注水。将37~40℃的等渗盐水匀速注入肠管内,压力控制在130cm水柱以下,如果发现”同心圆“逐渐消失,回盲部呈”蟹爪样“运动,小肠进水后呈”蜂窝状“扩张,诊断和治疗即同时完成。当然,这样的方式存在一定的复发几率,约5~8%的孩子可能再次发生肠套叠。如果肠套叠的时间超过48小时,或怀疑有肠管坏死或一般情况较差的患儿,通常直接进行手术治疗。
参考资料:
Pediatrics,Intussusception,222-224