病例分享:吉亚君 连云港市第一人民医院
审核与点评:张频 中国医学科学院肿瘤医院
对于HER2阳性晚期乳腺癌患者,抗HER2治疗改变了HER2阳性乳腺癌的自然病程,并显著延长了生存时间。目前曲妥珠单抗是辅助治疗以及晚期复发一线治疗标准抗HER2治疗药物,通过与不同化疗药物的方案联合使用可降低远期复发率以及改善生存时间。本文通过一个曲妥珠单抗多线治疗HER2阳性型晚期乳腺癌并持续获益,总生存时间将近8年的病例,介绍目前有关该类患者的临床治疗思路。

吉亚君主任医师、医学硕士
连云港市第一人民医院肿瘤内科
江苏省“333”工程第三层次培养对象
第一批“江苏卫生拔尖人才”
连云港市“科技兴卫工程”医学重点人才培养对象(创新型人才)
病史简介
患者颜X X,性别:女,发病年龄:43岁。
主诉
体检发现右乳质硬、无痛性肿块。2010.12.01住院治疗。
入院查体
患者肿块约2.5cm × 1.5cm。考虑诊断为右侧乳腺癌。
手术及术后病理
2010.12.06在我院全麻下“右乳癌改良根治术”。术后病理:(右)乳腺浸润性导管癌,组织学分级Ⅲ级;乳头、皮肤未见癌累及,同侧腋窝淋巴结转移(19/19)。免疫组化:ER(-),PR(-),C- erbB-2(3+)。
术后诊断
右乳浸润性导管癌并右侧腋窝淋巴结转移(pT2N3M0,IIIC期,HER2阳性型)
辅助治疗
术后于2011-01-06起在我院给予AC方案化疗4周期(CTX1g d1+THP50mg d1+d2,21天为一周期),2011-03-20给予右胸壁+右锁骨上下淋巴引流区放疗Dt50Gy/25f,2011-05-26予TH方案化疗4周期(曲妥珠单抗d1首次480mg,以后360mg,多西他赛120mg d1 ,21天为一周期)共4周期。
后续治疗
化疗结束后予曲妥珠单抗360mg(每21天为一周期)维持治疗1年,末次使用曲妥珠单抗的时间在2012年5月,后定期随访,病情稳定。
第一次复发
2013-11-23全面复查发现肺转移。 DFS=35个月
Q1.根据目前病情,一线治疗方案应选择?
A.蒽环类药物 + 紫杉类药物联合方案化疗
B.内分泌治疗
C.曲妥珠单抗 + 化疗
D.曲妥珠单抗
一线解救治疗及评价
患者自2013-11-26起给予曲妥珠单抗(440mg d1)/脂质体紫杉醇(240mg d2)/CBP(500mg d2)方案化疗一个周期,出现Ⅱ度骨髓抑制,因患者主诉乏力明显,后修改方案曲妥珠单抗(330mg 每 3周重复)/脂质体紫杉醇(120mg d1+d8+d15,每4周重复)化疗,化疗过程顺利,患者无明显骨髓抑制,无乏力主诉,于2014-02-11全面复查,疗效评价为PR。


后续治疗及疗效评价
患者继续曲妥珠单抗+脂质体紫杉醇(共六周期)治疗,疗效评价CR。
Q2.现在一线解救治疗后达CR,下一步治疗方案是?
A.继续曲妥珠单抗+脂质体紫杉醇化疗
B.仅用脂质体紫杉醇化疗
C.停止治疗
D.使用曲妥珠单抗维持治疗
后续治疗及疗效评价
曲妥珠单抗维持治疗,随访病情稳定。
第二次复发及二线解救治疗
随访至2015年4月,患者肺部病灶复发。给予曲妥珠单抗+希罗达治疗(卡培他滨1500mg,一天两次口服)。 PFS1=17个月。
治疗期间2015-9-5复查CT如下:

第三次复发
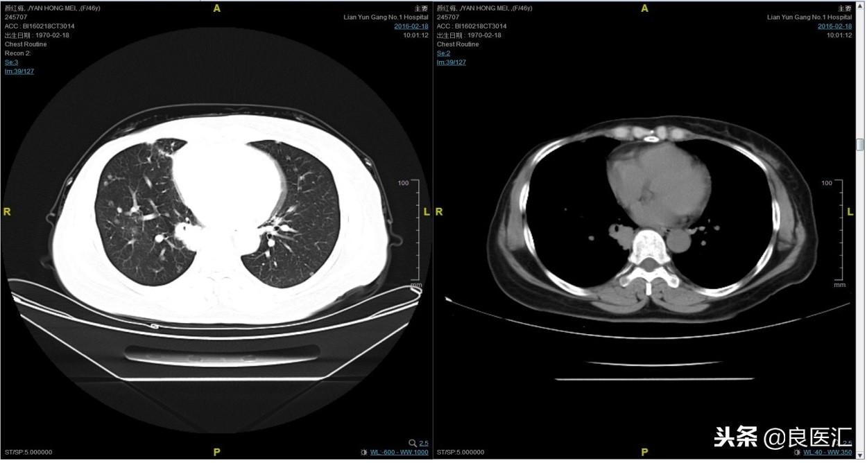
随访至2016-2-18,肺部病灶进展,肺内转移病灶增多。PFS2=10个月。




三线解救治疗及评价

从2016-2-19开始给予紫杉醇+曲妥珠单抗治疗,紫杉醇240mg,3周重复,曲妥珠单抗330mg三周重复。患者末次应用曲妥珠单抗和紫杉醇时间为2016-6-24,紫杉醇共应用4周期。
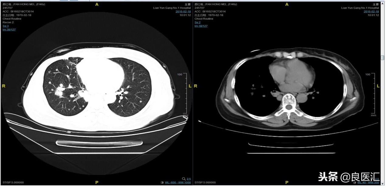
期间2016-4-22复查CT如下:


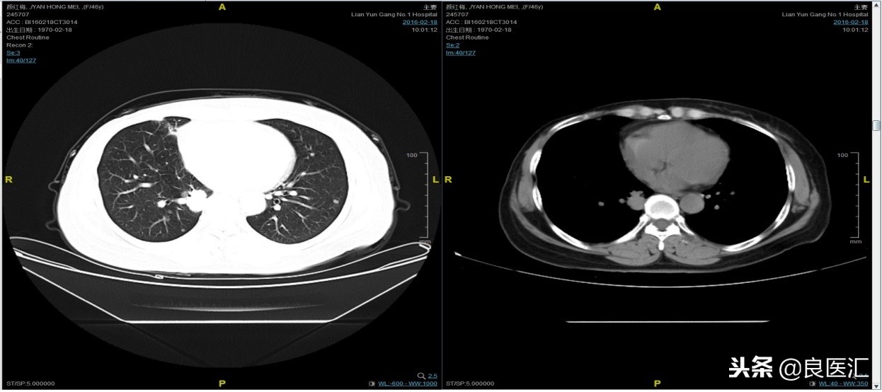
2016-7-5化疗结束后复查CT,疗效评价稳定。

后续治疗
患者继续曲妥珠单抗维持治疗,且自服中药。
第四次复发
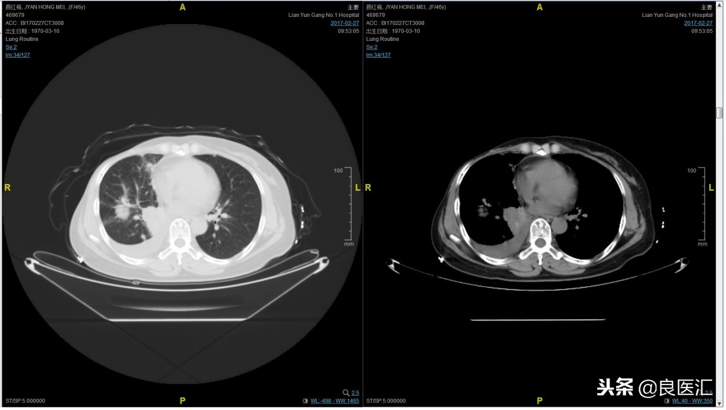
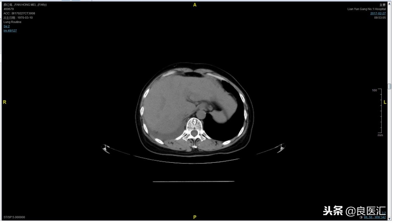
2017-02-27患者因气喘胸闷再次就诊。患者肺部病灶进展,同时出现肝脏转移。再次给予曲妥珠单抗+长春瑞滨化疗一周期,效果不佳,推荐换用TKI治疗,患者放弃治疗。PFS3=12个月。



总结
患者颜X X,女,发病年龄43岁。2010.12.01因体检发现右乳质硬、无痛性肿块住院治疗。入院查体肿块约2.5cm × 1.5cm。考虑诊断为右侧乳腺癌。2010.12.06在我院全麻下“右乳癌改良根治术”。术后病理:(右)乳腺浸润性导管癌,组织学分级Ⅲ级;乳头、皮肤未见癌累及,同侧腋窝淋巴结转移(19/19)。免疫组化:ER(-),PR(-),C- erbB-2(3+)。术后诊断右乳浸润性导管癌并右侧腋窝淋巴结转移(pT2N3M0,IIIC期,HER2阳性型)。术后于2011-01-06起在连云港市第一人民医院给予AC方案化疗4周期,2011-03-20给予右胸壁+右锁骨上下淋巴引流区放疗Dt50Gy/25f,2011-05-26予TH方案化疗4周期(曲妥珠单抗d1首次480mg,以后360mg)共4周期。后续予以曲妥珠单抗360mg(每21天为一周期)维持治疗1年,末次使用曲妥珠单抗的时间在2012年5月,后定期随访,病情稳定。2013-11-23全面复查发现肺转移。 DFS=35个月。2013-11-26起给予曲妥珠单抗(440mg d1)/脂质体紫杉醇(240mg d2)/CBP(500mg d2)方案化疗一个周期,出现Ⅱ度骨髓抑制,因患者主诉乏力明显,后修改方案曲妥珠单抗(330mg 每 3周重复)/脂质体紫杉醇(120mg d1+d8+d15,每4周重复)化疗,化疗过程顺利,患者无明显骨髓抑制,无乏力主诉,于2014-02-11全面复查,疗效评价为PR。继续曲妥珠单抗+脂质体紫杉醇(共六周期)治疗,疗效评价CR。后续予以曲妥珠单抗维持治疗,随访病情稳定。2015年4月,患者肺部病灶复发。给予曲妥珠单抗+希罗达治疗(希罗达1500mg,一天两次口服)。PFS1=17个月。2016-2-18,肺部病灶进展,肺内转移病灶增多。PFS2=10个月。从2016-2-19开始给予紫杉醇+曲妥珠单抗治疗,紫杉醇240mg,3周重复,曲妥珠单抗330mg三周重复。患者末次应用曲妥珠单抗和紫杉醇时间为2016-6-24,紫杉醇共应用4周期。CT评价SD。继续曲妥珠单抗维持治疗,且自服中药。2017-02-27患者因气喘胸闷再次就诊。患者肺部病灶进展,同时出现肝脏转移。再次给予曲妥珠单抗+长春瑞滨化疗一周期,效果不佳,患者放弃治疗。PFS3=12个月。

点评专家

张频主任医师,教授,博士生导师
中国医学科学院肿瘤医院内科
北京乳腺病防治学会内科专业委员会副主任委员
中国老年学会乳腺癌分委会副主任委员
北京医学会乳腺疾病分会副主任委员
中国医师协会乳腺疾病培训专家委员会常委
中国女医师协会临床肿瘤学专家委员会常委
中国研究型医院学会乳腺专业委员会常委
北京医师协会乳腺疾病专家委员会委员
中国抗癌协会肿瘤临床化疗专业委员会委员
侧重乳腺癌的药物治疗、综合治疗及抗肿瘤新药临床研究。有丰富的实践经验。在肿瘤学核心期刊及SCI收录杂志发表论文70多篇,最高IF33.9分。作为主要成员荣获2014年中华医学科技奖一等奖;2016年华夏医学科技奖一等奖;2016年教育部科技进步二等奖。参与《临床肿瘤学》、《实用肿瘤内科治疗》、《乳腺癌》等多部肿瘤学专著的编写。
点评:
患者为中年女性,发病年龄43岁。本例患者术前资料太少,不做讨论 。术后诊断右乳浸润性导管癌并右侧腋窝淋巴结转移(pT2N3M0,IIIC期,HER2阳性型)。术后复发危险为高危,危险因素包括:肿物2.5cm × 1.5cm、淋巴结19枚癌转移、ER(-),PR(-),C- erbB-2(3+),根据《中国临床肿瘤学会(CSCO)乳腺癌诊疗指南》2018V1指出,术后辅助治疗应包括蒽环类以及紫杉类药物的联合化疗方案,同时因为HER2阳性,辅助治疗应予以抗HER2治疗。HERA 研究证实曲妥珠单抗用于 HER-2 阳性早期乳腺癌术后辅助治疗,显著提高 HER-2 阳性早期乳腺癌治愈机会,显著降低复发和病死风险,是 HER-2 阳性早期乳腺癌辅助治疗标准药物,因此奠定了曲妥珠单抗辅助治疗的基石地位。B-31/NSABP-9831 确立了 AC-TH(蒽环联合环磷酰胺序贯紫杉类药物联合曲妥珠单抗) 优于常规 AC-T 化疗。基于以上临床试验结果,《中国临床肿瘤学会(CSCO)乳腺癌诊疗指南》2018V1指出:对于有高危因素1.N1 及以上2.T2 及以上且合并其他危险因素的患者予以推荐AC-TH方案辅助治疗,推荐级别为1*级A**。而帕妥珠单抗及来那替尼在辅助治疗中也进行了相关研究。APHINITY 研究结果显示,与使用含曲妥珠单抗的方案相比,使用含帕妥珠单抗和曲妥珠单抗的双靶向治疗方案能够降低 19% 的 iDFS 事件(HR 0.81;95%CI 0.66~1.00; P=0.045),4 年iDFS 提高 1.7%,其中淋巴结阳性患者和激素受体阴性患者从治疗中获益最多。因此对于有高危复发风险的患者,可考虑使用帕妥珠单抗和曲妥珠单抗双靶向治疗。ExteNET 研究探索了另一种抗 HER-2 双靶向治疗策略,II~III 期 HER-2 阳性乳腺癌患者,在曲妥珠单抗辅助治疗结束后 2 年内开始口服来那替尼一年辅助治疗。相比安慰剂组,来那替尼组的 2 年 iDFS 提高 2.3%,其中激素受体阳性患者获益更大,3/4 级腹泻是最常见的不良事件。因此,对于高危患者,应综合考虑,权衡来那替尼治疗的获益和毒性。由于药物可及性问题,目前在中国,辅助曲妥珠单抗治疗仍然是标准。HERA、NSABP B31、NCCTG N9831、BCIRG 006试验均已证实HER-2 阳性乳腺癌曲妥珠单抗辅助治疗标准的用药时间为 1 年,PHARE等研究使用6个月的曲妥珠单抗疗程对比12个月的曲妥珠单抗疗程并未达到非劣性结果。而HERA研究证实2年的曲妥珠单抗治疗与1年的曲妥珠单抗治疗相比,DFS和OS并未延长,复发风险与死亡风险相似。所以目前推荐1年的曲妥珠单抗抗HER2治疗为标准辅助治疗。本病例患者术后予以标准的AC序贯TH方案化疗8程,后续H维持治疗至1年。同时辅助放疗。DFS=35个月,2013-11-23全面复查发现肺转移。《中国临床肿瘤学会(CSCO)乳腺癌诊疗指南》2018V1指出,对辅助阶段曲妥珠单抗治疗进展后的患者,需要根据疾病复发的时间和治疗情况考虑后进行治疗决策。如果患者 12 个月后复发,临床医生应该遵循晚期一线抗 HER-2 治疗,继续曲妥珠单抗为基础的治疗。目前国际上 HER-2 阳性晚期乳腺癌标准一线治疗为帕妥珠单抗、曲妥珠单抗双靶向联合多西他赛。帕妥珠单抗未在中国上市,因此国内目前一线首选的方案仍是曲妥珠单抗联合紫杉类药物但鼓励患者进入帕妥珠单抗临床研究以获得更好的治疗。曲妥珠单抗联合紫杉醇加卡铂,疗效优于曲妥珠单抗联合紫杉醇。临床研究指出,曲妥珠单抗+紫杉醇+卡铂的ORR为52%,中位PFS为10.7个月,而且HER2 3+的患者ORR可高达57%,中位PFS为13.8个月。本病例采用TPC方案化疗一疗程,但因出现明显毒副反应,予以改为H+PTX单周方案。H0648g试验证实H+PTX方案总缓解率为38%,中位TTP6.7个月,中位PFS8.3个月,中位OS22.1个月。患者接受曲妥珠单抗联合化疗时,有效化疗应持续至少 6-8 个周期,而化疗停止后,建议继续曲妥珠单抗维持治疗。H0648g 和 M77001 研究证实后续维持曲妥珠单抗治疗可以延长PFS与OS。本例患者中,予以使用H+脂质体紫杉醇方案6疗程后H继续维持治疗,临床评价CR,PFS17个月,明显获益。2015年4月肺部病灶复发,《中国临床肿瘤学会(CSCO)乳腺癌诊疗指南》2018V1指出,曲妥珠单抗治疗进展后,持续抑制HER2通路能够持续带来生存获益。因此一线曲妥珠单抗病情进展后,推荐二线继续使用抗HER2靶向治疗。对于复发转移乳腺癌曲妥珠单抗治疗进展后,需要根据患者既往治疗判断。如果既往治疗有效,因为毒性或经济原因停药,则优先考虑继续使用曲妥珠单抗,换用其他化疗药;如果在治疗中进展,则优先考虑更换抗HER2药物。本病例患者二线使用HX方案治疗后PFS10个月,获益明显。2016-2-18患者肺内转移病灶增多,疾病再次进展。三线治疗对于体力状态评分较好的患者,可以选择既往未使用过的方案。拉帕替尼是曲妥珠单抗失败后的后线选择。EGF100151研究,LX方案中位OS为75周,可明显降低死亡风险。该患者因自身原因未使用拉帕替尼。由于患者既往使用H+脂质体紫杉醇获得良好疗效,毒副反应可耐受,与患者沟通后,予以紫杉醇+H4疗程,后续H维持方案继续治疗,仍获得了12月的PFS。2017-02-27患者出现气喘胸闷,肺部病灶进展,出现肝脏转移,予以曲妥珠单抗+长春瑞滨化疗一周期后效果不佳,因此放弃治疗。目前患者生存时间已将近8年,复发转移后生存时间已达5年,获益明显。而且治疗期间毒副反应较轻,无因治疗相关毒副反应所致停止治疗情况的发生,可耐受相应毒副反应。
该病例带给我们一些思考以及提示:一,对于HER2阳性早期乳腺癌应尽早使用曲妥珠单抗治疗,争取治愈。二、在复发转移后, 继续曲妥珠单抗联合化疗患者仍从中获益。三、一线曲妥珠单抗治疗有效的患者,后续使用曲妥珠单抗调整化疗药物仍可获益。四、持续的抗HER2治疗获益是本例能较长期生存的关键,本病例中,在复发转移的5年治疗时间中,均使用了曲妥珠单抗的维持治疗,获得了PFS的延长,可见维持治疗在晚期乳腺癌治疗中的重要性。六、本例患者也有一些遗憾:拉帕替尼未用;没有参加抗HER2新药的临床研究如TDM1,吡咯替尼等,此外还有一些化疗药物并未使用(多西他赛,吉西它滨等)。如果有机会应用的话,或许生存时间会更长。