抗“疫”关键阶段,人工智能大放异彩。上期我们报道了商汤科技的安防产品,本轮到了另一家前沿科技企业:联影智能。
公司产品——uAI新冠肺炎智能辅助分析系统,在火燎的局势中,已被火神山、雷神山、武汉同济、协和、中南等前线医院配备。

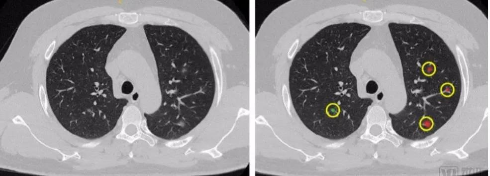
该套系统用于CT影像分析,可将5-10分钟阅片时间缩短为1分钟,还能不知疲倦地撰写影像报告。
科普下CT影像分析。一个病人的单轮CT在400张左右,医生的工作就是不断比对、审阅几百张影像,找可疑“白点”。

这个过程,不断消耗医生大量的时间成本,高强度工作压力也容易令医生疏忽细小的磨玻璃影。
联影智能的产品,能针对性地识别影像中微小病变,继而自动勾勒生成报告,不放过任何可疑点。
产品的全名为“uAI新冠肺炎智能辅助分析系统”,如果拗口记不住,我们可以简单称为“AI+CT”。

AI+CT另一功能,就是帮助医生无需接触患者,可自动360度扫描全身。照往常,病人若姿势不对,需要医生介入调整。
而AI+CT最厉害的地方,要属病灶的观察。过去肉眼很难辨别病灶的变化,但联影的产品能精准检测(90%)、勾画(误差<1%)。

种种上述,证明了联影智能的硬核水平。但也别过于神话,AI+CT还不能直接判断肺炎类别,在市场上也难觅同款产品。
欣喜的是,这家人工智能的硬核公司,已进驻徐汇滨江。其中过程,证明了徐汇一流的营商环境。

2月24日,公司迎来进驻西岸的首个周一。但一周前,公司还为没临时办公点发愁。
因为开发产品需要专业的服务器,远程办公将造成软件的迭代、更新速度降低,拖累整个项目,因此联影必须现场办公。

没有办公点,就为企业努力寻找。短短几天,徐汇就提供了三个推荐场所,并配套网络专线,可容纳百人同时办公。
临时点位于东航滨江中心T2写字楼。从提出要求到百余名人员进场办公时,选址、布场、消毒、防疫检测等所有流程,只用了不到一周时间。

未来,联影智能会在即将建成的西岸国际人工智能中心办公。
作为重要载体,西岸人工智能大厦今年迎来企业办公。届时,形成以16-17家国内外AI领先企业的立体生态。
大厦位于云锦路,东西两侧的塔楼形成双子塔,以凤凰腾飞之姿挑起西岸天幕。

这场抗“疫”和锻炼营商环境的双重练兵中,徐汇证明了自己的优秀。
过去企业在国内经营,时常碰到看不见的“冰山”。表面一套流程,但实际操作有更繁重的程序,如冰山一角隐藏水下的庞大部分。长此以往,加重了企业的成本,尤其在商务成本偏高的中心城区。

为减轻企业负担,徐汇的营商环境改善,从注册许可电子化入手,着眼证照核发全面提速、推进网上办事进程、优化延伸窗口服务、着力降低准入门槛等4方面有效开展。
在徐汇,企业办理相关执照无需跑到行政中心,只要网上递交便可,真正实现从“面对面”向“屏对屏”转变,且审核周期大大缩短,看不见的“冰山”被融化。

不可忽视的科技力量正改变历史,商汤作为翘楚引领了未来之方向。科技的榜样,背后有政策、载体的齐力推动。望奇迹诞生在你我身边,共同谱写文明的光芒。
