对于准妈妈、准爸爸们来说盼望着肚子里的宝宝健康生长的同时一定在好奇宝宝是男孩还是女孩到底是什么决定了宝宝的性别呢?今天带大家揭开宝宝性别的奥秘
决定性别的染色体
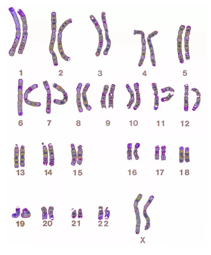
人类的性别决定为XY型性染色体决定。人的体细胞含23对染色体,其中有22对是常染色体,第23对是性染色体,就是这对性染色体决定着男女性别的不同。

女性含同型性染色体,用XX表示,男性含异型性染色体,用XY表示。卵子和精子仅拥有一半的染色体,所以女性产生的卵子染色体形式只能为22+x;而男性产生的精子,有两种形式:即22+X、22+Y。卵子受精后会重新组合成一个拥有23对染色体的新个体,哪种精子和卵子结合是随机的。

如果是含X性染色体的精子与卵子结合,就发育成女孩;若含Y性染色体的精子和卵子结合, 则发育成男孩。所以, 宝宝的性别是由那个钻进卵子的精子所携带的性染色体决定的,也就是爸爸的精子决定了宝宝的性别。
人为干涉生娃性别可行吗?
民间总有传言一些生男生女的一些“偏方”:“酸儿辣女”,“改变内环境酸碱性”……这些可以干涉宝宝的性别吗?
酸儿辣女
酸儿辣女之说可谓源远流长。特别是在农村,家中的妻子或媳妇孕后喜酸家人就十分欣喜;若喜辣,则对孕妇另眼看待。甚至有些婆婆要求媳妇,准备怀孕就要多吃“酸食”。
解析 由于孕后女性体内激素水平的变化,使胃酸分泌量减少孕妇出现食欲下降、对气味敏感、嗜酸或嗜辣,甚至想吃些平时并不喜吃的食物,均属于正常的妊娠生理反应。这完全与胎儿性别无关。
改变女性阴道酸碱度
还有一种说法:*爱性**前改变女性阴道酸碱度,可控制生男生女。想要生男孩,可用低浓度的小苏打液冲洗阴道;用一定浓度的食醋冲洗阴道后,生女孩的几率更大。
解析 用此法控制生男生女毫无科学依据。女性阴道能自行平衡酸碱度,人为地破坏这种平衡,反而容易患上妇科疾病。奉劝女性不要尝试。
什么时候才能知道宝宝的性别?
一般在怀孕4个月左右可以通过B超观察到胎儿的性别,这个时候可以用肉眼识别的性别差异。

除了传统的B超检查可鉴别胎儿性别外,常用的如胚胎植入前遗传学诊断、绒毛组织、羊水的检测等等,可以识别染色体类型,以此来鉴定胎儿性别。但需要重点强调的是,我国是 明确禁止擅自利用各种方法对胎儿性别进行检测 。除非在某些特殊情况下,伴随性染色体遗传的疾病如色盲等等,可能需要通过性别鉴定来减少疾病的发生。

目前辅助生殖技术中比较流行的第三代试管技术,可在胚胎植入前对其进行遗传学的监测,虽然说技术上是可以检测性别,但它的存在的目是为优生考虑。它可以筛查出有遗传疾病的胚胎,从而在较大程度上保障所植入胚胎的健康。最后,各位准爸妈们应当谨记,对宝宝的性别我们无法选择,也不必选择,自然的就是最好的。