首先我们要先来明确牙冠和贴面分别是什么?分别适用于什么情况?
简单来说,牙冠就是“把坏了的牙齿磨小一圈,然后在被磨小了的牙齿外面套上一个硬壳保护起来,让牙齿恢复健康的形态和功能”,而这个“套在外边的硬壳”就是我们所说的牙冠。牙冠可以由金属、金属烤瓷、全瓷等不同的材料制成,其中金属烤瓷做成的牙冠就是最为大家所熟知的“烤瓷牙”了。

那么,什么情况下应该选择做牙冠呢?
主要有以下几种情况:
- 因为蛀牙或者外伤造成的牙体缺损较大时
- 根管治疗后的牙齿
- 牙齿变色或者色调不佳的,如四环素牙,氟斑牙等
- 畸形小牙、釉质发育不全的牙齿以及牙齿错位、扭转,同时又不适合做矫正的牙齿
目前常用的牙冠主要有烤瓷牙和全瓷牙
烤瓷牙就是由里圈的金属和外圈的陶瓷加工而成的人工牙。强度高,价格相对全瓷牙便宜,但可能存在金属过敏、使用时间过长金属边缘暴露以及咬硬物易崩瓷等问题。
全瓷牙,就是整个牙齿都是由高强度瓷材料制成。颜色逼真,色泽稳定,美学效果优于金属烤瓷冠,不易崩瓷,长久使用后也不会出现牙龈边缘着色等问题,是目前应用较为广泛的牙冠材料。
适应症允许的情况下,建议选择全瓷牙,全瓷牙较烤瓷牙磨牙量更少,能更大程度地保留自己的天然牙体组织。没有金属基底冠的存在,有效避免了金属过敏和牙龈黑线等问题的出现,颜色更接近天然牙,更美观,并且不会对核磁共振检查造成影响。

全瓷牙和烤瓷牙

烤瓷牙

烤瓷牙使牙龈发黑,Zirconia全瓷牙色泽逼真

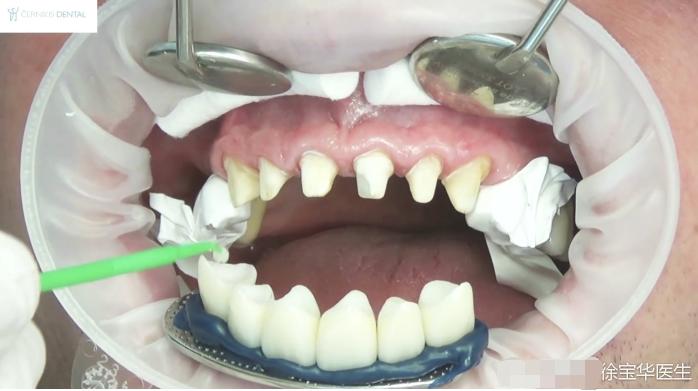
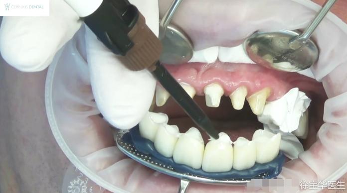
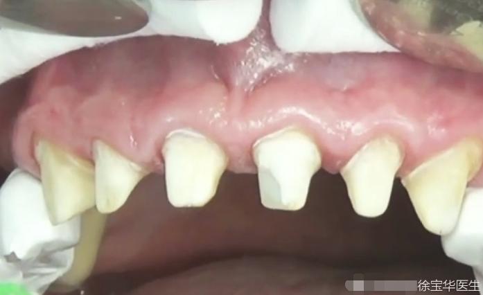
牙冠的制作过程(后期)
全瓷牙治疗过程




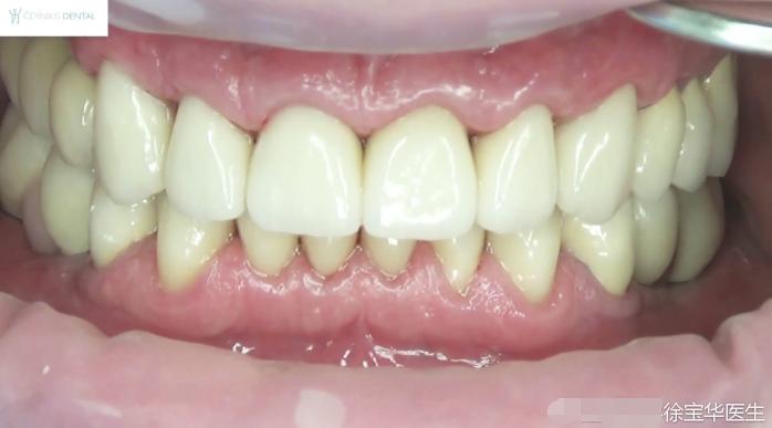
完成

介绍完了牙冠,我们再来说一说现在越来越流行的牙贴面(以瓷贴面为例)。
牙贴面其实和牙冠有些像,都是将有问题的牙齿磨小,然后在外面套上一层漂亮的外衣。只不过牙贴面更多是为了美观,而牙冠更多的是为了恢复功能。贴面主要应用于前牙美学区,换言之,只有前牙(也可以理解为笑起来会露出来的那些牙齿)才需要选择是做贴面还是牙冠,后牙区承担主要的咬合功能,一般还是需要牙冠或者嵌体复的。
相较于牙冠,贴面主要有以下的优点:
1、最大限度保存天然牙体组织:不同于牙冠,贴面最大的优点在于磨除的牙体组织少。保存大量的牙体组织,不需要杀神经,可以保持天然牙齿长期的健康。而且贴面修复保存大部分甚至全部舌侧的形态,有效的保护了对颌牙。

制作牙冠的备牙量:需要磨除一圈

制作贴面的备牙量:只需要磨除一面

制作贴面的备牙量:只需要磨除一面

2、更美观,更自然:相对于烤瓷牙,瓷贴面制作时有多种不同颜色的瓷块可选择,同时可以采用外染色进行颜色细调。临床粘接时有不同颜色的粘接剂和遮色剂可以用来辅助调整瓷贴面的颜色,以达到整体协调的美观效果。
贴面有这么多的优点,那是不是所有追求美观的患者都可以通过贴面修复变美呢?
答案当然是否定的!虽然牙贴面多用于前牙美学修复,属于微创性的修复方法,但目前大多数的贴面仍然需要磨牙,是有创性的操作,不可避免的会磨除天然的牙体组织。所以只有当牙齿出现了适应症,才建议采用贴面修复。
贴面的适应症主要包括:唇面,切端或者牙尖的小面积缺损;四环素牙,氟斑牙等变色牙的美学性修复;前牙外观形态不佳,如畸形牙,过小牙等;轻度的错位牙,扭转牙,患者又不接受正畸治疗的;牙间隙过大的,也可以通过牙贴面关闭间隙。以上这些,都比较适合通过贴面修复来达到变美的效果。(关于是否需要先矫正牙齿,则需要专业医生的评估)
在这里我们需要指出,贴面修复的技术敏感性比较高,需要医生有较高的审美,熟练掌握美学分析,能综合考量患者的需求,设计并制作出与面部协调一致、美观和谐的修复体。另一方面,所有的微创治疗都要求医生有足够的经验,尤其是贴面的制作和粘接环节,需要医护非常娴熟的配合。因此,一定不要因为爱美心切而盲目的在不正规的医疗场所贸然治疗,牙齿是不可再生的,磨掉了就是永久的损失,一定要到正规的医院,经过医生综合分析,确认符合贴面修复的适应症之后,再进行治疗!