胃炎一般临床上分为急性胃炎与慢性胃炎。这里我们重点讲一下急性胃炎的分类与治疗,供大家参考。
A、急性胃炎是指由各种原因引起的胃粘膜或胃壁的急性炎症,病变可局于胃的任何一部分,病变大多数仅侵及粘膜层,严重者可浸及粘膜下层、肌层及浆膜层。急性胃炎一般按临床分:
1、急性单纯性胃炎是一种胃黏膜急性、可逆性病理变化,胃黏膜充血、水肿,分泌物增加,黏膜表面盖以白色或黄色渗出物,病程短,可因化学、物理、微生物及其毒素所引起。有少数黏膜还可伴点状出血或轻度糜烂的急性炎症性胃黏膜病变。

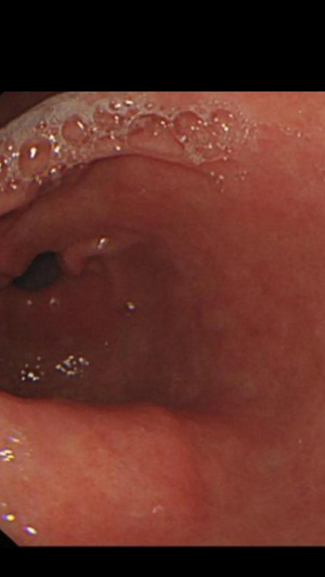
2.急性靡烂性胃炎:其特点是胃黏膜急性糜烂,伴有出血,故又称急性出血性胃炎或急性胃粘膜病变,如伴有溃疡,此溃疡称为应激性溃疡。本病占消化道出血病因的20%。

3.急性腐蚀性胃炎:主要由吞服强酸、强碱等腐蚀性剂所引起的急性胃粘膜病变。
4.急性化脓性胃炎:临床上少见,发病急,病情重,常伴有发热及全身症状。

B、针对以上常见情况的处理如下:
(1)对因治疗,首先治疗引起急性胃炎的病因,如饮酒起的,吃不洁东西引起的,吃刺激胃的药物引起的,或重大疾病,创伤,吞服强酸碱,重度炎症引起的,采取不同的对策及方法,尽量除去病因(不详讲)。

(2)抗生素:根据病情轻重,选择有效足量的抗生索,如常用的氨芐青霉素、庆大霉素、菌必治、左氧氟沙星、奥硝唑等,联合用药。
(3)抑酸药:我临床上常用的有西咪替丁、法莫替丁、奥美拉唑、兰索拉唑、泮托拉唑等,选择一种应用,药量一定要足量,才效果好。
(4)保护胃粘膜:临床上保护胃粘膜的常用药有,硫糖铝、果胶铋、枸橼酸铋钾冲剂、氢氧化铝口服液、s一麦滋林颗粒等,造一种或两种即可。
(5)对症处理:如疼用654一2、重的可以用杜冷丁。呕吐可用爱茂尔针、胃腹安针。发热者,可以用安痛定、或口服退热药(最为肌注)、体温较高的可加地塞米松。
急性胃炎也有多种分类法,临床上常用的就以上几种。治疗方法大体也就这几种,供大家了解参考。