胃胀、呃逆、恶心、呕吐、反胃、返食、烧心、反酸、口苦、口酸、流涎、胃脘胀满、早饱、呕血和黑便……这些不适您有吗?

胃不舒服?要做胃镜?又害怕做胃镜?不做真有事怎么办?别怕,不用再左右为难,济宁市第一人民医院超声医学科开设一项新技术——胃超声造影,该技术,无痛、无创、无辐射,让患者可以轻松发现胃部疾病。
胃超声造影怎么做?
胃超声造影是一种无创伤、无痛苦、无损害、可以实时动态观察、重复、不受年龄限制的一种胃疾病检查新技术。造影剂主要由玉米、大豆、淮山药、薏苡仁等药食两用的中药原料经熟化配制而成,口感好且可以为人体所吸收。胃超声造影助显剂对人体无毒无害,无糖,服用后,随餐代谢。

胃超声造影的检查原理
是通过服用一种五谷类造影剂充盈胃腔,产生类似于实质性组织的回声,消除了胃腔内的气体干扰,使胃壁与周围脏器之间产生明显的对比效应,胃壁层次显示更清晰,从而达到诊断效果。

胃超声造影检查适用的人群
1.所有常规健康体检的人群;
2.老人、儿童、孕产妇、心脏病患者、高血压患者、糖尿病患者、术后或治疗后复查等;
3.无法耐受胃镜、 X 线钡餐检查的患者;
检查前准备:
1.受检者前一天晚餐进素食或易消化食物。检查前需空腹8小时以上,禁食禁水。
2.一般将胃超声检查安排在 X 线钡餐及内镜检查之前
禁忌症:
严重胃潴留、胃或十二指肠穿孔、上消化道活动性出血等。
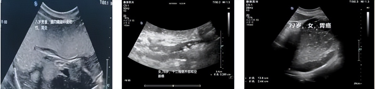
胃超声造影能够检查出的病症:
1.肿瘤性病变:胃癌、胃息肉、胃间质瘤、十二指肠肿瘤等。
2.炎性与溃疡性病变:急、慢性胃炎、胃及十二指肠溃疡等。
3.先天性病变:幽门狭窄、胃囊肿、胃壁内异位胰腺等。
4.胃运动异常及梗阻性病变:责门失驰缓症、十二指肠﹣胃返流、幽门、贲门梗阻等。
5.胃十二指肠周围脏器病变:胆总管下段结石、肿瘤、胰腺肿瘤等。
6.其他:胃下垂、胃石症、胃底静脉曲张等。

胃超声造影检查优势
1.实时动态:能够动态观察胃张力、胃蠕动和胃的排空能力。
2.可以清晰观察胃壁层次结构:有助于判断病变浸润范围、程度及病变的界限。
3.立体观察:可以显示胃的形态、从而发现胃镜难以诊断的胃下垂等疾病。
4.安全无辐射:超声检查属于机械声波,无放射性,可对孕妇、儿童进行检查。
胃超声造影与内窥镜之间的关系
胃超声造影检查与胃镜是最完美的合作关系。胃超声造影检查是胃镜禁忌症最好的补充检查方法,胃超声造影检查是一种断面显像技术,把胃壁分为七层断面,每层断面有无病变均能清晰显示,把胃充盈作为透声窗,增强了整个腹部的连贯性,可以观察胃周围毗邻器官的病变,可以与相邻器官疑似病变进行诊断与鉴别诊断拓宽了临床的诊断视野,为临床提供丰富的诊断信息。
胃镜确诊的阳性患者还需要做胃超声检查吗?
胃超声检查技术对粘膜下层病变非常敏感,对间质瘤、外生性病变显示清晰,是胃镜的有益补充。运用胃肠超声测量病变的浸润大小、深度与范围、有无淋巴结的转移、局灶性的病变是囊液性结构还是实性结构,所以胃镜发现的阳性患者更应该做胃超声复查。
济宁市第一人民医院超声医学科主任吕镔介绍,胃超声造影检查是胃镜禁忌症最好的补充检查方法,超声造影检查尤其适合婴幼儿、年老体弱、耐受性差患者的胃肠道健康筛查,对身体无副作用,诊断符合率较高,对于胃肠道疾病能够做到早发现、早治疗。医院专门选派青年医生于洋平、张倩倩学习该项新技术,该新技术的成功开展,填补了不便于做胃镜体检的空白。
胃肠造影超声预约咨询电话:0537-6051166(东院区)
总院区地址:济宁市健康路6号
东院区地址:济宁高新区孟子大道269号
西院区地址:济宁运河之都特大桥(原八里庙大桥)向西1500米路北