
近日,一起一尸两命,一篇红头文件,一个王牌科室,一场医患纠纷,将一个分分钟致命的疾病推向风口浪尖——主动脉夹层。它是什么?它有多凶险?

主动脉夹层是一种相对少见但极为严重的疾病,医学上将其定义为主动脉腔内的血液通过内膜的破口进人主动脉壁囊样变性的中层而形成夹层血肿,并沿着主动脉壁向周围延伸剥离的严重心血管急、危、重症。

【正常的人体动脉血管由3层结构组成,内膜、中膜和外膜,3层结构紧密贴合,共同承载血流的通过。主动脉夹层时血液通过主动脉内膜裂口,进入主动脉壁并造成正常动脉壁的分离。】
急性主动脉夹层在一般人群中的发病率估计为2.6/100,000人年至3.5/100,000人年。其猝死率达20%,而住院期间死亡率也达30%。主动脉夹层发病急骤,进展迅速,临床误诊率和漏诊率较高,危害很大,后果严重。

主动脉夹层患者通常表现为重度尖锐或“撕裂”样的后胸部或背部疼痛(左锁骨下动脉远端的主动脉夹层)或前胸痛(升主动脉夹层)。疼痛可放射至胸部或腹部的任何部位。它可以单独发生,或伴随晕厥、脑血管意外、心肌梗死、心力衰竭或其他临床症状或体征。

现在有两个不同的解剖系统可用于主动脉夹层的分型,分别是DeBakey分型系统和Daily(Stanford)分型系统。Stanford分型系统应用更为广泛。在这种分型系统中,涉及升主动脉的夹层,无论在什么部位发生初始的内膜撕裂,均为A型,所有其他夹层均归为B型。相比之下,DeBakey系统分型是基于夹层的起点,1型源于升主动脉并至少扩展至主动脉弓,2型源于升主动脉且局限于升主动脉;3型源于降主动脉并向近端或远端扩展。【此处内容略专业,难于体会可忽略】
主动脉夹层相关病史及危险因素:
1)结构异常:二叶主动脉瓣、主动脉缩窄、主动脉环扩张
2)结缔组织病:马凡综合征、Ehlers-Danlos综合征
3)高血压
4)妊娠
5)梅毒
6)精制*卡因可**的使用
7)医源性:心脏导管术、心脏外科手术、主动脉内球囊反搏
8)血管炎:巨细胞性动脉炎、多发性大动脉炎
9)创伤
10)其他遗传疾病:成人多囊肾病、成骨不全、高胱氨酸尿症、家族性高胆固醇血症、Turner综合征
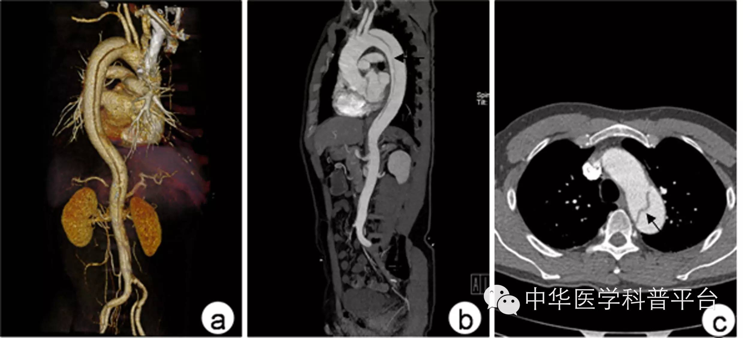
确诊主动脉夹层的主要辅助检查手段是:CT血管造影(CTA)。其他一些检查对诊断有一定的帮助。
一、胸片
普通胸片就可以提供诊断的线索,对于急性胸背部撕裂样疼痛,伴有高血压的患者,如果发现胸片中上纵膈影增宽,或主动脉影增宽,一定要进行进一步CTA等检查,明确诊断。
二、主动脉CTA
是目前最常用的术前影像学评估方法,其敏感性达90%以上,其特异性接近100%。CTA断层扫描可观察到夹层隔膜将主动脉分割为真假两腔,重建图像可提供主动脉全程的二维和三维图像,其主要缺点是要注射造影剂,可能会出现相应的并发症,而主动脉搏动产生的伪影也会干扰图像和诊断。
三、主动脉MRA
对主动脉夹层患者的诊断敏感性和特异性与CTA接近,核磁所使用的增强剂无肾毒性;其缺点是扫描时间较长,不适用于循环状态不稳定的急诊患者,而且也不适用于体内有磁性金属植入物的病人。
四、数字剪影血管造影(DSA)
目前,尽管主动脉血管造影仍然保留着诊断主动脉夹层“黄金标准”的地位,但已基本上为CTA所取代。因为是有创检查且需使用含碘造影剂,目前多只在腔内修复术中应用而不作为术前诊断手段。
五、超声检查
其优点是无创,无需造影剂,可定位内膜裂口,显示真、假腔的状态及血流情况,还可显示并发的主动脉瓣关闭不全、心包积液及主动脉弓分支动脉的阻塞等情况。但同时也受患者的肥胖等情况限定,经胸超声随简单易行,其敏感性和特异性均不如经食管超声,但经食道超声可能引起恶心、呕吐、心动过速、高血压等,反而可能加重病情,因此往往需要在麻醉下进行。血管腔内超声是近年发展起来的诊断项目,可清楚显示主动脉腔内的三维结构,诊断真确性无疑高于传统超声,但因其为血管内操作,主要应用于微创介入治疗时对夹层破口和残留内漏的判断上。

治疗方法的选择上,累及升主动脉的急性夹层被考虑为外科急症。内科药物保守治疗1周内病死率高达50%〜90%;而通过外科手术治疗3年和5年生存率分别可以达到75%和73%。相比之下,局限于降主动脉的夹层可予内科治疗,单独药物治疗3年生存率达到78%,若患者被证实夹层发生进展,伴有终末器官缺血或持续出血流入胸膜腔或腹膜后间隙,预后则很差,住院死亡风险超过50%。
因此,对于Standford A型的主动脉夹层,外科手术治疗的效果明显优于药物治疗-对于Standford A型患者,无论是急性期或慢性期均应采取以外科手术为主的综合治疗。对于没有严重并发症的Standford B型采用积极的内科药物治疗。一旦出现破裂预兆、重要脏器灌注不良表现、内科药物治疗难以控制的高血压或疼痛等并发症,多采用主动脉腔内隔绝术或外科开放性主动脉人工血管替换术,而已很少采用死亡率很高的外科开窗术。
作者:张放北京协和医院
郭树彬首都医科大学附属北京朝阳医院急诊科主任、主任医师、教授
中国科协中华医学会医学科普传播专家团团长
中华医学会科普分会候任主任委员
中国医师协会医学科普分会委会主任
中国医师协会医学科普媒体联盟主任委员
北京医学会科普分会主任委员
编辑:放放
注:图片来自网络
本文系微信公众号“中华医学科普平台”独家用稿,
转载前请先与我们取得联系,
欢迎您给中华医学科普平台投稿:
zgyxkp@163.com
并转发我们的作品
您可以直接留言与我们取得联系。
