
日前,南方医科大学第三附属医院骨肿瘤科李浩淼主任团队,应用力达康定制型模块化肿瘤假体,完成了一台“肿瘤切除术后半骨盆缺损”置换术,手术进展顺利。
患者2007年被确诊左髋部肿物,于外院行“左髋部肿瘤切除术+植骨术”。2010年肿物复发,再次行“左髋骨肿瘤病灶切除+骨水泥填充。2022年8月患者又因肿瘤复发“经皮下肢动脉栓塞术及经尿道输尿管支架置入术”,以及“骨盆复发肿物切除术+左髋关节旷置术+膀胱修补术”,术后恢复尚可。
术后,患者逐渐出现左下肢短缩和髋关节活动时严重疼痛,不能行走,连翻身都十分困难,为解除病痛和行骨盆重建术,患者慕名来到南方医科大学第三附属医院骨肿瘤科就医。
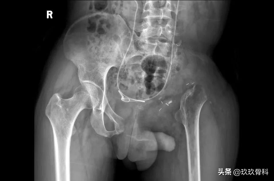
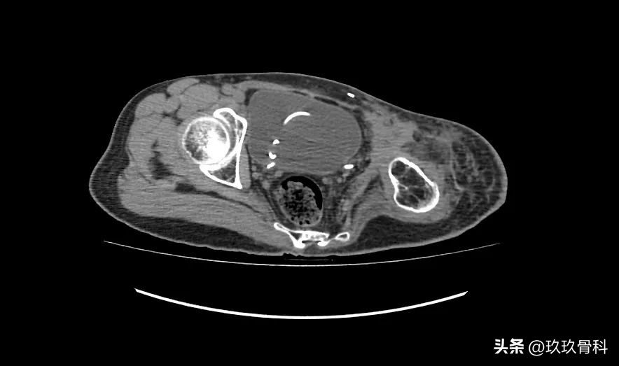
术前影像


李浩淼主任为其完善相关检查后,确诊为左骨盆肿瘤切除术后半骨盆缺损,团队组织了多学科会诊,制定了完善的手术治疗方案,与力达康肿瘤团队设计了定制化假体假体,最终顺利开展手术,手术进展非常顺利。
病情描述
患者,男,31岁。
主诉
骨盆肿物切除术后活动障碍7月余。
专科检查
轮椅入科,左髋部可见一30cm长手术瘢痕,未见明显皮肤软组织肿胀,无破溃或静脉曲张,双下肢感觉正常双下肢肌力正常,V级,肌张力正常,末梢血血运好,双侧膝、跟腱反射正常,Hoffmann征阴性、Babinski 征阴性、Kernig 征阴性。患肢较对侧短缩约3cm,髋关节活动受限严重,其余关节感觉运动好。
辅助检查
2022-08-19 骨盆CT:左侧骨盆术后改变。
临床诊断
1、左骨盆肿瘤切除术后半骨盆缺损
2、手术后恢复期
影像资料
术后影像




术者简介

北京力达康科技有限公司
北京力达康科技有限公司成立于1998年,公司本着“力致高科、康华益民“的宗旨,经过25年的创新发展,成为一家集研发、生产、销售、服务于一体,以外科植入物为主业的国家级医疗器械高新技术企业,国产医疗人工关节领域的龙头骨干企业,和优秀的民族品牌企业。公司先后获得国家火炬计划、国家创新基金等奖项,入选国家十三五重点科研规划目录。
公司现阶段生产销售人工关节五万余套,未来三年营收将超过10亿元,并努力成为人工关节A股上市公司。公司未来将在顺义空港C区打造中国骨科医疗器械领域“产、学、研、医”一体化的科技创新联合体,为中国骨科医疗器械的发展做出新的更大的贡献。




