
近日,吉林心脏病医院紧急接诊了一位急性心梗患者。 患者为57岁女患,入院前22小时突然发作持续性的心前区疼痛,疼痛呈现绞痛性,同时伴有濒死感,20分钟后疼痛得到缓解,但此后又会反复发作,因此来到吉心寻求救治。
快速响应,制定紧急治疗方案
吉心心内科团队接诊后,立即为患者进行了心电图、心脏彩超和肌钙蛋白等检查,根据检查结果综合判断,患者为 “急性下壁心肌梗死” 。

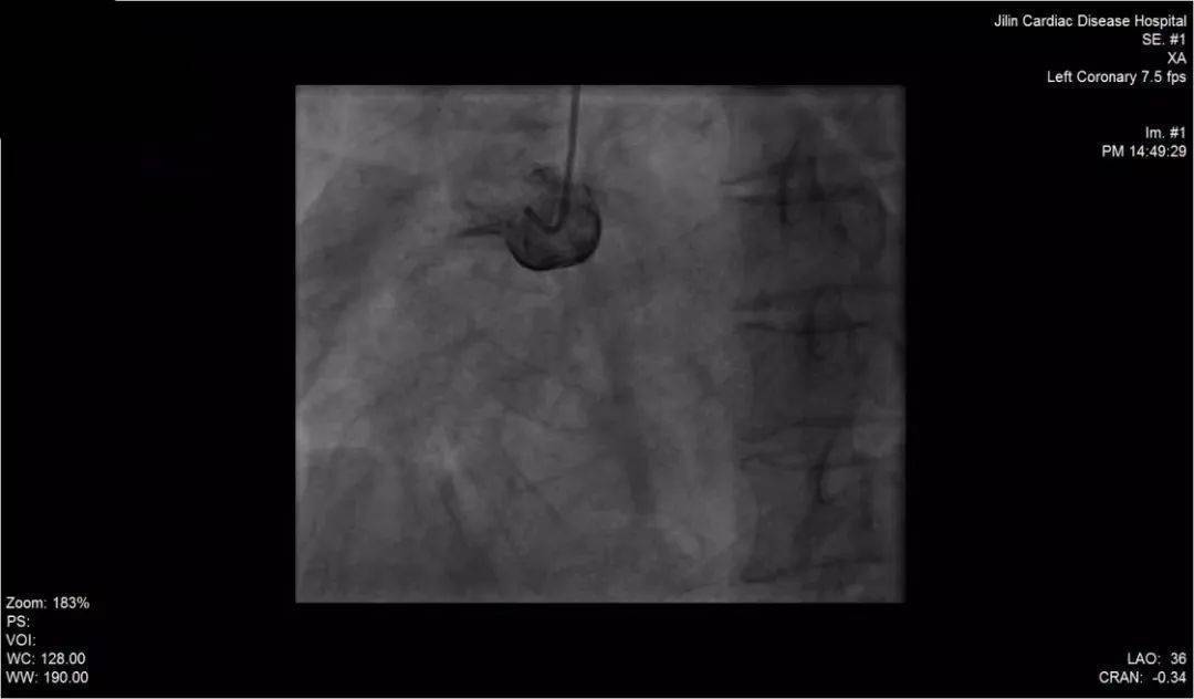
术前造影图像
急性下壁心肌梗死就是发生在心脏下壁的心肌梗死。 急性心肌梗死主要是由于冠状动脉严重狭窄或者冠状动脉紧急闭塞,导致心肌缺血缺氧坏死。
其较为典型的症状包括胸痛、胸闷,胸痛症状持续不缓解,持续时间一般大于30 min,病情特别严重的可能引起晕厥甚至猝死。
因此, 对于急性心肌梗死临床需尽早进行诊断,并采取有效的治疗方案, 以保证患者生命健康,改善其预后状况。
鉴于情况紧急,在与患者本人及家属沟通后,心内科团队 决定立即为其行支架植入手术。
密切合作,跑赢“黄金24小时”
患者来院时已发病22小时,因此,为了抓住救治的“黄金24小时”,吉心团队密切配合, 以最快速度完成术前准备工作, 将患者由绿色急诊通道直接转进导管室进行手术。
根据治疗方案,心内科团队将患者闭塞的右冠脉快速开通,植入一枚支架。手术仅用时 50分钟 ,最终在患者发病的 “黄金24小时” 内得以圆满完成。

术后造影图像
术后患者转入ICU稳定治疗。经过观察,患者状态良好,心肌坏死明显改善,于3日后出院,达到了 “术后快速恢复” 的效果。
此类患者发病急,病死率高,黄金治疗时间短,因此, 医护团队间的合作,医院急诊绿色通道的设置都非常重要。 这一心梗病例的成功治疗,充分展现了吉心心内科团队临危不惧、快速响应的专业诊疗能力,使团队承接紧急手术的综合实力再上新台阶。

主刀医生