高血压是我们身边最常见的一种慢性疾病,有多种并发症危险,其中一种会突然出现剧烈的胸背部疼痛,大汗淋漓,疼痛如同刀砍斧劈一样让人难以忍受,几乎任何止痛药物都难以控制,如不及时诊治,48小时内死亡率可高达50%。
如此严重的高血压并发症是什么呢?
这就是 主动脉夹层 ,也称 主动脉撕裂 。约70%~90%主动脉夹层患者伴有高血压。主动脉夹层是指主动脉内膜破裂,主动脉腔内血液从内膜裂口进入主动脉中层,使动脉壁内膜与中膜分离,血液沿主动脉长轴方向扩展,从而造成主动脉真、假两腔分离的一种病理改变。可因血管破裂导致大出血而丧命;也可导致远端脏器缺血坏死。早期的识别诊断和快速治疗是挽救生命的关键步骤。
近日,北京市垂杨柳医院成功通过介入治疗挽救了一例主动脉夹层患者的生命。
62岁的关先生,5小时前无明显诱因出现胸闷、憋气,有一过性呼吸困难,无明显胸腹痛。他自行拨打120后送至北京市垂杨柳医院,主动脉CT三维成像提示:主动脉弓-右侧髂外动脉官腔分层状改变,考虑DebakeyIIIB型夹层可能。为进一步诊断治疗,急诊以“主动脉夹层”收入血管外科。
通过询问病史,已基本可以知道关先生发生主动脉夹层的原因。原来关先生有高血压 病史40年,最高 达180/100mm/Hg。有吸烟饮酒史40年,吸烟平均10支/日。入院查体发现右侧股动脉明显弱于左侧,其他无明显异常。血管外科杨永久主任团队医师根据既往病史、症状和辅助检查,判断关先生的主动脉夹层诊断明确,有介入治疗指征,与患者及家属交代病情,治疗方案和相关风险后,拟急诊进行主动脉介入治疗。家属表示理解并要求积极抢救。
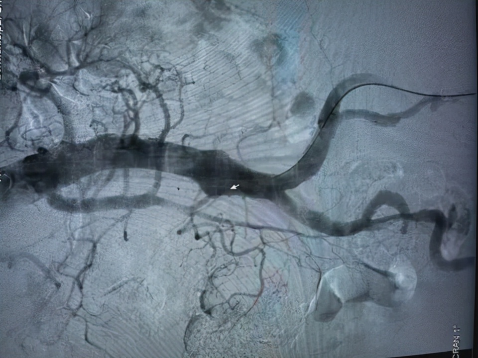
杨永久主任团队迅速对患者进行了 经皮胸主动脉腹覆膜支架腔内隔绝术 。术中通过造影见腹主动脉远端瘤样扩张,直径约3.0cm;左锁骨下动脉远侧主动脉夹层动脉瘤,血管破口距离锁骨下动脉1.5cm。从左侧股动脉穿刺依次置入血管缝合器、血管鞘、和胸主动脉带膜支架后,精确定位后释放支架以封闭动脉夹层破口,避免血管撕裂的进一步扩大。
手术非常顺利,总共用时1小时10分钟,出血量20ml。目前患者顺利康复出院,患者及家属非常感激。



杨永久主任介绍到,我国主动脉夹层的高发病年龄为48岁~67岁,较西方国家年轻10岁~20岁,这是因为我国的中青年高血压病患者的血压控制不好,以男性常见。高血压病是主动脉夹层最常见的危险因素,高血压病可引起动脉粥样硬化,粥样硬化可导致主动脉壁内膜结构损坏、炎症、钙化,致使主动脉壁弹性降低,当局部血流动力学压力增加,可使主动脉壁内膜与中膜撕裂,形成主动脉夹层。因此,杨永久提醒广大高血压患者朋友,平时要积极控制血压。
目前,主动脉夹层的治疗方式包括 传统外科手术 和 介入治疗 。
手术原则是切除内膜撕裂的部分主动脉,修复两端的剥离内膜,用人工血管移植接通主动脉管道。主要针对DeBakeyⅠ、Ⅱ型主动脉夹层。但手术创伤大,死亡率高。
而介入手术治疗,主要针对DeBakey Ⅲ型。即使用主动脉覆膜支架植入封闭动脉撕裂口,夹层假腔逐渐形成血栓、血管机化,纤维化而使假腔愈合,消除主动脉进一步撕裂而出现破裂风险。随着多个国内外品牌主动脉覆膜内支架上市,使得很多夹层病变复杂的患者能够得到微创,高效的治疗。

(胸主动脉夹层动脉瘤术后:裂口被支架封闭,假腔闭塞,最终疤痕化)