有这样一群人
他们格外脆弱
稍不留神的摔跤或磕碰
伤口就会血流不止

有的甚至出现
关节腔内、内脏器官内出血
他们就是被称为 “玻璃人” 的
血友病 患者
近日,在深圳禾正医院,由著名关节外科专家姜文学主任(禾正医院特聘专家)主刀,骨科黄爱文主任带领骨科团队协作成功完成了一例血友病 双侧膝关节置换手术 ,让原本双膝严重变形,无法自主行走的血友病患者 “摆脱”轮椅的束缚,走出病痛!

为什么是血友病?
由于缺乏凝血Ⅷ因子或凝血Ⅸ因子,引起反复出血的遗传性疾病。
*正常情况下,当我们受伤时,血液会迅速形成凝血血块来停止出血。但对于血友病患者来说,他们的血液缺少凝血Ⅷ因子或凝血Ⅸ因子,导致凝血功能异常, 出血处不能形成正常凝血块,从而出血过多。
血友病有什么症状?
常表现为无明显外伤的关节、肌肉及软组织 反复自发性出血 ,或轻微外伤即致关节肿胀、皮肤出血瘀斑,长久不散。
骨科黄爱文主任
血友病患者的日常生活就像是在“走钢丝”,他们需要“打起十二分的精神”,小心翼翼地避免任何可能导致出血的风险,即使是小小伤口或者轻微创伤都可能引发严重的出血,开展手术时会面临更多的出血及其他并发症风险。
关节严重变形,无法长时间站立
在过去的二十多年里,陈大哥为了恢复正常的行走能力,不顾周舟劳顿走访省内各大综合医院咨询。但好多医院在综合了解到患者的基本情况后,考虑到陈大哥是血友病性关节炎,关节置换手术 风险高 ,易诱发手术大出血及感染等 术后并发症 ,均建议采取减少关节内出血的 保守治疗 。因此,多年来陈大哥 始终无法恢复正常的行走能力。

一次偶然机会下,陈大哥在一个血友病患者群里了解到 深圳禾正医院骨科专家团队有丰富的血友病性关节炎的人工关节置换经验, 距今为止,已经为数十位血友病患者成功实施了近百台关节置换术。
在深圳 德义慈善基金会 的大力协助下,陈大哥辗转从福建老家来到禾正医院就诊。骨科黄爱文主任接诊了陈大哥,在详细了解陈大哥的基本情况后,立即为陈大哥办理了入院,并完善了相关的影像学检查。
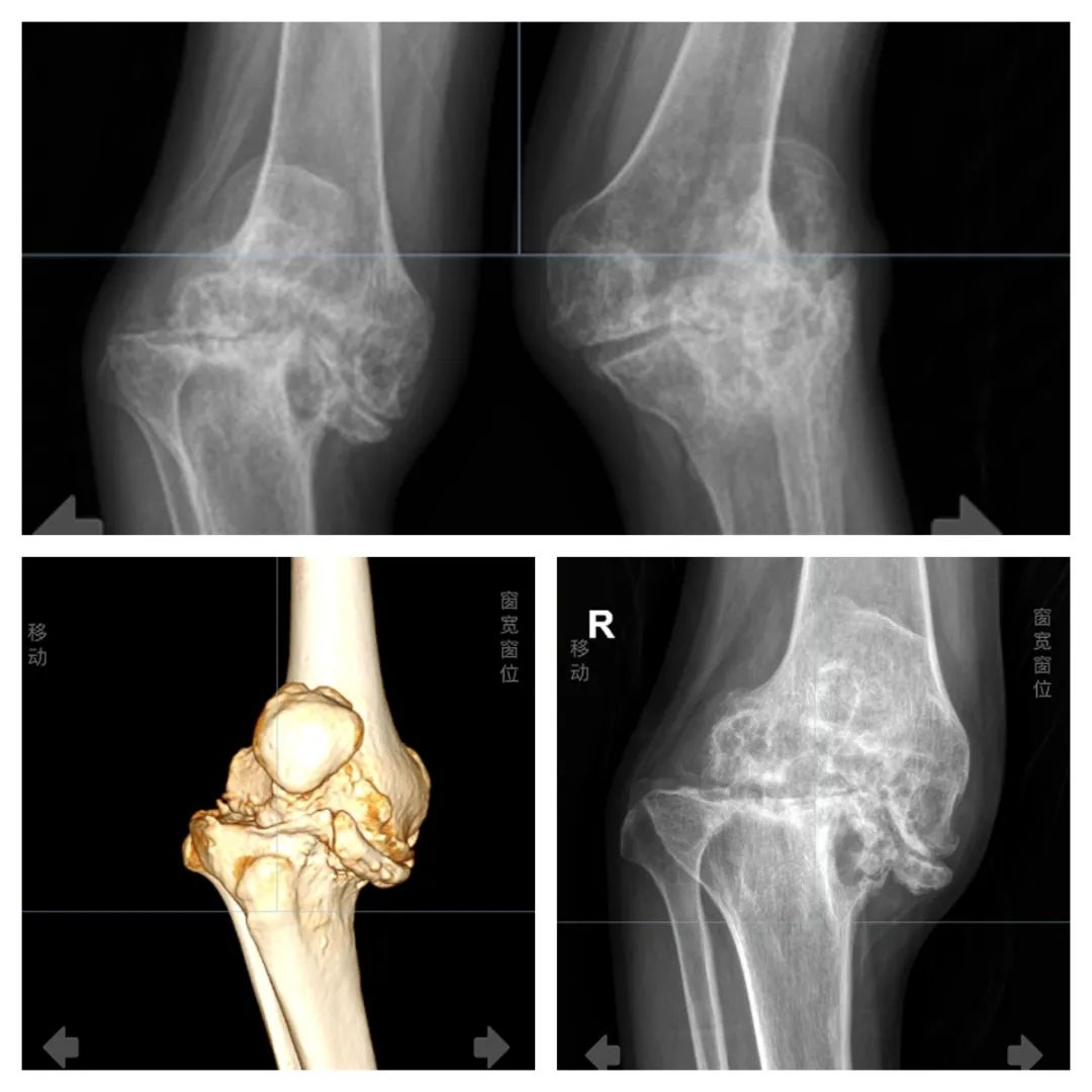
通过 X 线片和CT三维重建检查可以清晰的看到陈大哥的膝关节存在着 严重的变形及关节软骨病变,并伴有部分错位, 这是由于关节内的反复出血,导致慢性滑膜炎,进而破坏软骨导致关节间隙狭窄,关节僵硬,畸形。致使陈大哥即使在不行走的状态下也 时常感到关节疼痛,几乎不能自主行走, 严重的影响了生活质量。
经骨科黄爱文主任团队的评估,陈大哥的 血友病性关节炎已经是晚期 ,两侧膝关节严重受损、关节畸形,需要进行 关节置换手术 才能更好恢复功能。

术前三维重建、X 线片报告
关节外科姜文学主任
终末期血友病骨关节炎的治疗 首选关节置换术 ,用人工假体代替已经破坏的关节软骨,从而 缓解疼痛、纠正畸形、改善关节 功能。但受血友病的病情因素影响,陈大哥的凝血能力有限,开展手术时将会面临较大的出血感染等并发症风险,需多学科一起制定严谨、细致的手术方案和应急预案,以降低手术风险。
经过周密准备,陈大哥在接受了多次体内凝血Ⅷ因子活性检测,并且准确评估其药代动力学特点、抑制物活性、严格测算应用外源Ⅷ因子的半衰期,精准地计算出其术前、术后凝血Ⅷ因子的用量, 做好充分的术前准备后, 由关节外科专家姜文学主任主刀,黄爱文主任带领骨科团队协助 先后为陈大哥进行了两侧膝关节置换术 ,术中出血少,手术非常顺利!
关节不痛了,我又能自由行走了!

术后一周左右,陈大哥已经可以借助助步器下地行走了,通过精准的人工关节置手术,实现了 缓解关节疼痛、纠正关节畸形、改善关节功能 的目的,让陈大哥又“站起来”了!截止到目前,陈大哥的 膝关节可以正常屈伸,活动度良好,可以自行走路,疼痛症状消失、 关节功能较术前有了明显的改善。

双侧膝关节术后X 线片报告


