网络上经常有人用骨科界的笑话来调侃黑锅:“大家都是椎间盘,为什么就你最突出?”
对于腰椎间盘突出,大部分人都是一知半解。昨天在网上发起了一个投票,结果投票数最多的是“腰椎间盘突出”,说明大家对这个病还是想要多点了解,在此对这个病做一个简要的科普,希望对网上的你能有帮助!
通过阅读本系列,你可以初步的了解到一下内容,下面将一一解答:
1、什么是椎间盘?椎间盘周围的解剖结构有哪些?
2、生活中哪些原因容易造成腰椎间盘突出?诱因有哪些?
3、腰椎间盘突出的患者一般有哪些症状?
4、如何确诊是得了腰椎间盘突出这个病,有哪些好的检查方法?
5、为什么医院一看病就要求做贵的检查,便宜的检查查不出来吗?
6、如何判断自己的腰椎间盘突出是选择保守治疗呢还是手术呢?
7、腰椎间盘突出保守治疗有哪些方法?切实可靠吗?
8、传言中药外敷能够使突出的椎间盘变小吸收甚至消失,可信吗?
9、针灸对于腰椎间盘突出缓解疼痛作用大吗?
10、“小燕飞”“五点拱桥式”这些锻炼对于腰椎间盘突出的病人真的有效果吗?
11、老年人腰椎骨质增生对于腰椎影响大吗?
12、老年人有骨质增生就不能吃钙片,骨质增生会增大?
13、腰椎间盘突出的手术常规是怎样做的?手术风险大吗?
14、腰椎间盘突出手术后会不会影响脊柱的活动性?
15、腰椎间盘突出的病人一定要睡硬板床吗?
16、腰椎间盘手术后内固定需不需要拆除?
对于黑锅不小心遗漏掉的你可能有的疑问,欢迎在评论区里留言回复!
1、什么是椎间盘?椎间盘周围的解剖结构有哪些?
先来看看正常人体的脊柱整体情况,如下图:

请把头偏向右侧,侧着看我们的脊柱,是不是很像一条蜈蚣,千足之虫。而这蜈蚣一节一节的就叫做脊柱的椎体,根据部位的不同,分别称为颈椎、胸椎、腰椎以及屁股部位的骶骨、尾骨。
为了让大家看得清楚一点,将两个椎体及椎体之间的结构放大给大家看,如下图:

各个椎体的节段之间就是我们今天要讲的主角---椎间盘,富有弹性,能够吸收椎体之间的能量,缓冲震荡,避免损伤。而椎体后方晃晃那个就是我们人体的脊髓神经,本来是很粗的一根,后面又跟树枝一样分出分支(细的神经),通过椎体之间的空隙在分布到两侧四肢上,以控制四肢的运动和感觉。
其次,周围还有一些关键的组织,那就是椎体跟骨盆周围的韧带,如下图所示:

不要问我为什么不把英文翻译出来,因为假如你不学医,你一辈子都记不住这些韧带的名字。你只要记住,椎体之间有坚韧的韧带保护,就够了!此外还有人体重要的肌肉(大部分是核心肌群)保护、加固,在此不一一列举,贴个图看看。

总之,正常人体的脊柱周围是由很多组织保护的,足可见其对于人体的重要性!
2、生活中哪些原因容易造成腰椎间盘突出?诱因有哪些?
回答这个问题之前先来看一下一张腰椎间盘突出的示意图,方便理解。

椎间盘中心有个重要的解剖结构,由于其处于椎间盘的中心,就像很多水果的核一样,所以我们把它叫做“髓核”。年轻人的椎间盘水分含量多、弹性足,一般情况下不容易损伤。
但当中老年人随着年龄的增长腰椎间盘出现退变,含水量减少、椎间盘缺乏弹性的时候,此时再加上脊柱内外力学平衡失调,“封印”保护不够了,就非常容易导致椎间盘突出,这也是为什么椎间盘突出的患者多为30-50岁体力劳动者的原因了。
累积性损伤也是好发椎间盘突出的主要原因。
不良的姿势用习惯了,也容易导致椎间盘突出。下面这个提重东西的错误图,你是不是每天都在做?

而很多年轻人发生腰椎间盘突出的原因跟椎间盘的退化可能不太相关,大部分人是因为腰背部肌肉、韧带发育不完善,再加上剧烈频繁的运动所导致,同样也可能发生腰椎间盘突出!
3、腰椎间盘突出的患者一般有哪些症状?为什么会出现这些症状?
首先大家要了解一下人体神经传导的大致流程。
大脑是人体的“司令部”,负责发出指令,下面接着脊髓神经,脊髓都是一些粗大的神经,像树枝一样会分出一些更细一点的神经,分布到人体的各个部位,来支配局部的感觉及运动功能(大概这么理解吧!)
把大脑想象成一个电源,神经想象成电线,如果电线被压住了,灯泡会不会一闪一闪的?

腰痛:这个最先出现也是临床上最常见的一个症状,是由于椎间盘纤维环外层以及周围韧带受刺激导致的疼痛;
神经根痛:这个是影响患者生活质量最主要的一个症状。主要是由于突出的椎间盘局部压迫神经导致患者下腰部疼痛,疼痛可以向臀部、大腿后方、小腿外侧、足背放射,严重时咳嗽、打喷嚏都可能加重疼痛。
这种反射性疼痛,一般归因于类似于坐骨神经痛的症状,而坐骨神经痛的原因,除了突出的椎间盘压迫外,局部的化学性刺激,受压的神经缺血都有可能加重这些症状。

腰痛和神经根痛是临床上常见的腰椎间盘突出患者症状,对于更严重的压迫到管理人体二便的神经,引起大小便*禁失**的,太恶心了,再次不赘述!
4、如何确诊是得了腰椎间盘突出这个病,有哪些好的检查方法?
对于一个疾病的诊断需要根据病人的病史,医生的体格检查以及相应的有针对性的辅助检查,最后得出的诊断才是可靠的。
病人的病史在前面已经有提及发病的诱因,而医生的体格检查内容主要包括直腿抬高试验、直腿抬高加强试验、屈颈试验、挺腹试验、下肢后伸试验等众多查体方法,由于原理较多,方法冗杂,在这里大家记住以下名字就可以了!

那么针对于腰椎间盘突出的患者,有哪些检查方法呢?
X线平片:对于骨科医生来说,一张简单便宜的X线片,往往比任何检查都重要,可以根据脊柱的弯曲度、椎间隙的变化,来间接推断出是否存在椎间盘突出,缺点是老百姓可能看得一头雾水,不知所以然!

CT检查:具有确诊价值。将人体的脊柱的通过CT扫描仪,各个平面扫下来,总能看到你想要看到的层面,但CT只能看到密度较高的东西,如骨头、骨质,而对于神经等相对“软”的东西,敏感性不佳。

脊髓造影:往脊髓腔里面打造影剂后拍个片子,准确率可以达到80%,但无法良好的显示神经根,同时有创,一般很少用。

磁共振检查:跟CT一样,具有确诊价值,同时由于其成像原理,对于观察神经以及是否存在神经压迫水肿信号,有独特的优势,也是目前诊断腰椎间盘突出,明确神经压迫的主要检查,老百姓没学过医的也可以看得到的“突出”!

5、为什么医院一看病就要求做贵的检查,便宜的检查查不出来吗?
首先要说明一下,有经验的医生根据病人的病史以及相应的自己的体格检查,就基本能够八九不离十的诊断一个病人是否存在腰椎间盘突出了。
但目前的医学属于循证医学,凡事都要说证据的,你说是腰椎间盘突出就是啊,就算是再有临床经验的医生也不敢100%的拍着胸脯说就是这个病!

前面的一篇文章已经说了,对于腰椎间盘突出的患者,一般有X线、CT、MRI等检查可以帮助医生诊断。对于X线来说是一种比较便宜并且适合对疾病进行筛选的检查,而且也是一般住院病历中必须要求要有的检查。骨科门诊就诊,一般情况下骨科医生会给你安排一个X线看看骨头的大致情况,而对于特殊的疾病,医生才可能会根据病人的实际情况,安排一些更有针对性意义的检查。当然,这些检查要比X线贵!
就拿有些医院来说,做一个部位的X线可能只要100块钱,而做一个部位的平扫磁共振就要800块钱!价格相差8倍之多。
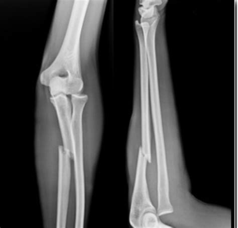
但有时候价格高并不一定看得更清楚。就拿骨折来说,X线就比磁共振要看得清楚的多,选择何种检查还是要依据病人的具体情况而定!看看下面这个X线片,是不是瞎子都可以看出来是骨折了!

6、如何判断自己的腰椎间盘突出是选择保守治疗呢还是手术呢?
你可能会想,年龄大了就保守治疗,年龄小的就尽量争取手术吧,不然以后老了后遗症很多!
其实,对于腰椎间盘突出来说,对不起,你们这样想就错了!

对于一些老年性腰椎退化、韧带退化的老年人,生活质量明显降低的患者,是需要考虑手术的,年龄大只是手术的一个相对禁忌症,并非绝对的手术禁忌症。
只要老人家的基础疾病不多,术前评估考虑可以耐受手术,而且手术医生医院技术过关的话,一般都能很大程度的改善老人的生活质量。

而相反,对于年轻的腰椎间盘突出患者,有时候可能是因为肌肉跟韧带发育尚未完善,不够强壮来保护脊柱所导致的,这种患者反而通过保守治疗可能恢复良好。口说无凭,下面的一个问题黑锅结合自己的实际谈谈经验。
而对于这个问题的回答,一般对于初发的轻症的腰椎间盘突出患者,如果仅有单纯的腰腿疼痛,而且疼痛的性质不是那么强烈的话,一般先建议卧床休息观察1周------卧床后脊柱受到的压力会明显减小,有助于局部的水肿消退,对于轻症的患者可能躺个1周,就好的七七八八了。
而对于症状明显的患者则还是建议早期到专业医院就诊,让医生来介入你的治疗,千万不要拖!

7、腰椎间盘突出保守治疗有哪些方法?切实可靠吗?
看过小黑锅科普的铁粉们应该都知道,黑锅在18岁那年就曾经得过腰椎间盘突出这个病,那个时候是由于长时间打篮球震荡,加上肌肉韧带这些还没有发育完善,结果就在高考前的那个暑假“突出”了。
症状是典型的腰腿痛症状,还伴有麻木(灯泡一闪一闪了)神经异常放电,当时还没有学医的我去了家里的镇医院做了一个磁共振检查,当时拿到黑胶片的时候,连一个刚成年的我都看到了我那明显突出的“椎间盘”,白白的亮闪闪的......

看了当地医院的骨科医生,考虑到我年纪还小,可能可以通过保守治疗,加强锻炼来使这个病逐渐好转,当时还没有学医的黑锅父母选择了相信这个医生。
于是乎,高考重要的3个月,当同学们都在备战高考的时候,我却在家里躺了3个月......
3个月的时间内,每天早上就跟着父亲到医院做牵引,就是像下面这种肩膀固定着,屁股拉着往下拽,每次都要牵引1个小时,牵引的过程中想睡也睡不着非常痛苦。

牵引完你以为就结束了?不好意思,还没有!
趴过来,背上针灸札上一堆针,针上夹上电极接电源通电,肌肉被电得一直在跳动,竟然觉得很舒服,现在想来可能是放松伸展肌肉的一种疗法。

一上午就过去了,赶紧回家躺着。
你肯定以为只是躺着就好了,其实不是,五点势拱桥锻炼练起来,就像下面的图片一样,锻炼伸展和锻炼腰背部的肌肉和韧带,那三个月,甚至把腹肌都练出来了!

现在想来,对于轻症的腰椎间盘突出患者,保守治疗还真可能有效,具体有以下原因:
①牵引:通过牵拉肌肉达到放松,减轻肌肉痉挛带来的疼痛症状。通过牵引将椎体间隙牵开,能够适当解除对神经的压迫,减少压迫神经引起的局部水肿,有助于缓解腰腿痛;但牵引的效果有时候也并非每个人都有用,有一些甚至在牵引的时候很舒服,但牵引过后出现反弹的现象,反而容易加重病情。需要因人而异!
②锻炼腰背部肌肉:通过拉伸同时起到加强腰背部肌肉力量,拉伸有助于减轻肌肉的痉挛缓解症状,症状缓解后通过锻炼加强肌肉韧带力量,能够起到一个更好的保护作用。
8、传言中药外敷能够使突出的椎间盘变小吸收甚至消失,可信吗?
在网络上看了很多老外的文章,没发现国际上有权威杂志说是推荐中药或者中草药来治疗腰椎间盘突出的,如果你们能查到记得跟我说一下学习学习。
从椎间盘发病的原因来分析,腰椎间盘突出主要来之内部结构的问题,深层肌肉韧带的退化,椎间盘的退化以及其他某些急性创伤的可能。而中药或者中草类药物有可能对于患者腰椎间盘突出疼痛症状、改善患者生活质量有效果,但这个病治疗的关键还是要靠加强内部结构,避免复发才有效。
其实稍微有点常识想象一下就知道:假如存在一种中药能够将突出来的椎间盘给消除,那么这种药物肯定会把正常没突出的椎间盘也给消除掉,没了椎间盘你们说是利大于弊还是弊大于利?这不是开玩笑嘛!

9、针灸对于腰椎间盘突出缓解疼痛作用大吗?
很多人都不相信中医的针灸,但这个是错误的!
针灸已经有国际的研究表明,对疼痛有效果的。而根据黑锅的自身经验,针灸后局部电压治疗,能够起到放松原本痉挛的肌肉,更有利于症状的缓解,一定程度上是对腰椎间盘突出的疾病是有利的。但想要通过针灸来加强肌肉力量,甚至想着把突出的腰椎间盘回纳甚至吸收消失,可能性不大,更多的实验性研究可能还需要进一步进行!

10、“小燕飞”“五点拱桥式”这些锻炼对于腰椎间盘突出的病人真的有效果吗?
首先来给大家讲一下什么叫“小燕飞”?
顾名思义,就是人体通过模仿燕子飞翔的姿势而进行的一种肢体动作训练,如下图所示:

在锻炼的过程中,腰背部的肌肉能够得到伸展而起到放松肌肉的作用,同时长期锻炼刺激又可以是腰背部的肌肉因为长期收缩而产生拉力而得到锻炼,对于缓解腰背部肌肉痉挛,增强腰背部肌肉力量,缓解腰背部劳损疼痛症状有一定的保健作用!
但是由于腰椎间盘突出的病人年龄的不同、病人身体状况与健康人不同等各种原因,且“小燕飞”这个姿势锻炼对于人体腰背部肌肉的力量要求很高,在训练的过程中,腰椎间盘突出的患者需要掌握锻炼的一个度,不要逞强!要知道:过度的这种姿势的锻炼,在肌肉还未强壮起来之前,很有可能会对本来已经受伤的腰椎,产生进一步的伤害!

正确的“小燕飞”姿势应该像下面的这样:

找一个干净的床板,趴着睡,脸朝下两侧的肩膀以肩关节为中心,轻轻的抬起,同时轻轻的抬头,两侧肩膀尽量向后向上抬起,双下肢以髋关节为中心同理。注意事项是过程中一切动作都是缓慢进行,对于一些骨质疏松的老年人最好在有经验的医师指导下进行此锻炼。
而对于锻炼持续的时间,不是像网络上说的,持续越久越好,持续的越长肌肉可能更不容易记忆。
因此做“小燕飞”锻炼的时候,每次缓慢抬起坚持2-3秒为最佳,每一个周期持续30次左右,累了就休息,休息好了就锻炼才能达到好的效果,更容易使肌肉产生记忆!

其次再来给大家讲讲什么是“五点拱桥式”锻炼?
首先需要给大家科普的是,除了五点拱桥式之外还有“三点拱桥式”和“四点拱桥式”,三者的共同目标都是为了锻炼和拉伸腰背部肌肉来减轻腰椎间盘突出的症状以及避免腰椎间盘突出的复发。其锻炼的原理跟“小燕飞”可以说刚好相反,小燕飞是趴着做的,而拱桥式锻炼是面朝上做的!
先来看看“三点式”,男性们别想歪了,这里没有你想象的那些东西,看下图,难度之大,容易受伤,几乎不推荐做,通过头跟双足三个点的支撑,搭起一座拱桥,达到锻炼腰背部肌肉的效果,一不小心脖子就断了!不推荐!

再来看看“四点式”,女性们可能能做到,毕竟这个动作对于身体的柔软程度要求很高。这个方式的锻炼通过四肢四个点,搭起一座“拱桥”来达到锻炼的目的,如下图,我等硬屌丝也做不到!一不小心腰就断了!也不推荐!

最后推荐“五点式”拱桥锻炼法,对于我等屌丝来说,几乎都能做到,也比较安全。黑锅当年的“突出”就是使用这个方式保守治疗锻炼了3个月康复的,具体如下:

平躺在一块硬的地板上,最好铺上个瑜伽垫,双腿屈膝,运用两侧的肘关节跟双脚以及头部五个支点,缓慢的用力的将自己的屁股抬高,每次保持10秒钟左右,然后躺下来休息,也可以一上一下,上去下来上去下来,反复锻炼,每天争取能做到200个,如此反复!三个月足以把腹肌都练出来了,而这种锻炼方法比较安全,相对推荐做!
以上讲述的各种锻炼方法还有好多,看看下面这张图的“降龙十八式”,是不是感觉像个武林秘籍一般?其实道理都是大同小异!

想通过这种锻炼方式来治疗腰椎间盘突出或者是防止腰椎间盘突出复发的患者,对于年轻人来说,大部分的腰椎间盘突出是由于肌肉韧带未发育完善或者不够强壮所导致,加强此方面的锻炼,可能可以彻底治愈腰椎间盘突出!
但对于老年人来说,除了肌肉韧带这方面的原因之外,更重要的一个原因是腰椎周围组织的退化,有时候单纯采用这种锻炼方法有可能效果不佳,如果动作错误甚至可能加重患者的病情。因此,出现了腰椎间盘突出了,还是不要自己一个人烦心了,去医院看,交由经验丰富的医生来烦心吧!

11、老年人的腰椎骨质增生对于腰椎的影响大吗?
首先一点来说,腰椎的骨质增生会让我们人体的椎管狭窄,更是会影响到人体的脊柱活动性。
那么再来看看什么叫椎管?如下图:

两个椎体之间的那个“盘”是椎间盘,后方组成的一个管道状的骨性通道就是“椎管”,椎管里面装着的就是我们人体非常重要的脊髓神经,通过分叉出更小的神经来控制人类肢体的感觉和运动。
当腰椎骨质增生了,顾名思义就是骨头增多了一块,怎么长你完全意想不到的。增生的骨质会是人类的椎管进一步狭窄,相当于容纳神经的管道狭窄了,可能会使人体产生相应的神经受压症状。同时如果局部增生的腰椎骨质压迫到了某些神经分支,也可能会造成这个神经分支控制的肢体皮肤疼痛、麻木等。

而通过一些伸展肌肉、深化人体深层肌肉的锻炼,可以达到对人体脊柱的保护,预防和减缓骨质增生,甚至减轻骨质增生带来的局部神经压迫,这个在本专题的上一篇文章已有说明,需要的同学可以自行阅读,在此不多赘述。
12、老年人有骨质增生就不能吃钙片,骨质增生会增大?
首先需要纠正一点老百姓的错误看法,那就是骨质疏松跟骨质增生两者是不能同时存在的!但这种想法真的正确吗?
其实不是!

临床上作为一个骨外科医生,在给病人做手术的时候,接触的最多的就是病人的骨头。而手术中也经常可以看到,伴随着严重骨质增生的患者往往都伴有严重的骨质疏松,两者恰好是并存的。
其实看过黑锅之前科普的可能知道!骨质增生是人体的一个正常保护过程,当人体进入老年人(尤其是老年女性),骨量丢失明显会出现或多或少的骨质疏松,而对于一些严重骨质疏松的患者,甚至出现骨头被压塌(微观)。压塌后人体代偿出现骨质增生,具体原理可以查看前面写过的文章。

知道了这个原理就好办了,骨质增生常常是跟骨质疏松相互伴随的,骨质疏松有可能会引起或者加重骨质增生的发展。
因此在治疗骨质增生的同时,治疗骨质疏松更为重要,补钙也不会也不是引起骨质增生的原因!
13、腰椎出现骨质增生了要不要处理?
首先,这个需要结合患者到医院检查以及是否存在自身明确症状来选择!
大部分人,尤其是老年人到医院检查后,拍了个腰椎的X光片,都会提示一个腰椎的退行性变!

但可以很负责的说,腰椎的退行性变是很多上了年纪的人一般都会有的!人体就像机器一样,用久了肯定是会老化,长生不老在目前来说是不可能的!对于没有引起明确症状的腰椎退行性变,一般不用做过多处理,老百姓也不用过多的恐慌。
而当腰椎退行性变同时伴有腰椎骨质增生,同时压迫神经引起患者疼痛及其他神经症状,生活质量已经明显受到影响的时候,这个时候就应该到专业的骨科医院就诊的,不管是选择保守治疗还是手术治疗,都应该进行干预。

14、腰椎间盘突出的手术常规是怎样做的?手术风险大吗?
听到这个问题,很多老百姓可能会想当然的说到:腰椎间盘突出的症状是由于突出的椎间盘压迫神经导致的,那手术就把突出来的椎间盘塞回去不就行了!
那就大错特错了!

如果通过手术单纯将突出的椎间盘塞回去的话,手术后很大可能出现再次椎间盘突出!更何况,在有症状的腰椎间盘突出的病人当中,一大部分是由于腰椎的骨质增生引起来的相应症状,如果不处理增生的骨质,可能存在手术效果差的可能,甚至加重病情。
那么现在常规的针对于此方面的手术有哪些呢?

对于一个病人应该选择保守治疗还是手术治疗?手术治疗应该选择哪一种?这些个问题都是要根据病人的实际情况来分析的,做手术不是做罐头,做出来的都一样!手术需要根据个人的具体情况具体分析!

选择手术前,医生肯定会给你做相应的辅助检查。从辅助检查上看,必须了解突出物的大小?突出物的性质?有无钙化?突出的地方有几个?哪个部位压迫神经?有无骨性椎管狭窄?从病人的症状上看,有没有肌肉萎缩?肌肉萎缩的程度如何?走路有没有一瘸一拐?有没有大小便的异常等等,这些才是准确选择治疗方法前应该做到的。
这几个有没有要首先问一问自己再去看医生!

微创手术:
对于单纯的椎间盘突出,或者是椎间盘内的髓核脱落到脊髓腔内压迫神经引起症状的患者,不管你怎么锻炼,神经该压迫的还是压迫,自己好转的可能性非常小,这个时候可能会选择微创手术来解决问题。

通过微创的切口,使用椎间孔镜微创器械到达椎间盘突出的部位,把突出掉落的椎间盘拿出体外,解决神经的压迫,手术后能解除神经压迫,缓解症状。
常规手术:
而对于很多老年人的严重腰椎骨质增生、复杂性突出(多地方突出),同时伴随椎管狭窄、脊柱周围韧带肥厚,椎间盘突出伴有钙化的患者,保守治疗如果没有效果的话,则应该选择常规手术。
手术的大致流程就是清除造成症状的骨质增生,去除病变的椎间盘,使用各种类型的椎体融合器以及骨科内固定将两个椎体融合在一起。是不是听着很头晕,下面黑锅用大白话来解释一下!
适合这类手术的病人大多伴有腰椎的退化骨质增生及椎体的不稳定,伴随或者不伴随腰椎间盘的突出。因此对于这类病人,通过手术来去除引起症状增生的骨赘无可厚非。
但手术到这里并非就结束了,对于大部分病人来说,尤其是老年人,并不能保证后期就不会复发,为了减少症状复发的可能,通过骨科手术将两个椎体彻底融为一体,那可能是最有保证的。再来看这个下面这个图:

想要把上图的这两个脊髓节段的椎体融合成一个,你能想到的办法是什么?
没错!那就是把中间的椎间盘也变成骨头,这样上中下全是骨头,不就相当于融合在一起了嘛!
确实如此!因此手术清除完骨赘后,就是把两个椎体中间的可能病变的椎间盘给“咬”掉,当然不是用嘴咬,而是用骨科器械清理掉。
然后为了保证椎体的高度以及椎体的稳定性,椎间盘空出来的位置要用骨头来填满,骨头哪里来的呢?前面清楚下来的骨质增生的骨头刚好可以用来填这个“窟窿”!如果骨头不够,还可以使用人工骨来帮助!
但填塞的骨头大部分都是松松垮垮的,必然会对椎体的稳定性造成影响,个子长矮了怎么办呢?因此就有人设计出了各种形态的“椎体融合器”,如下图所示:

通过在上面这些椎体融合器中填塞骨头,放置到椎间盘的位置,既能保证手术后位置的固定,而内部的骨头还能与上下椎体的骨质融合在一起。另外,近年来3D打印技术在骨科越来越得到广泛的应用,利用3D打印技术打印出来的融合器,手术后更有利于骨头的长入。

但是,又有人问了,单纯放个融合器进去占住椎间盘的位置,那么手术后也可能存在椎体的位置改变跟椎体融合器突出来呀!
确实如此!因此才需要骨科的钉棒系统来维持椎体的位置并加压固定放置的椎体融合器。

而对于腰椎手术的风险大吗这个问题!只能说只要是手术就可能存在风险,打个麻醉都有可能会有危及生命的可能,更何况在椎管内操作,旁边就是神经血管的!但大部分情况下是安全的!
15、腰椎间盘突出手术后会不会影响脊柱的活动性?
这个问题相信也是很多需要面临手术的人所关注的重点问题!知道手术是怎么做了,那把两个椎体融合到一起,会不会影响脊柱的活动性呢?
答案是要看融合的椎体的个数及具体情况而定!

整根脊柱就像一条蜈蚣一样,人体之所以能够弯腰,得益于良好的各个椎体之间的活动度,就跟一根弹簧一样。单纯的融合两个椎体成为一个,一般对脊柱的活动性影响不大,但若是多个椎体的融合,那影响就可想而知了!
16、腰椎间盘手术后内固定需不需要拆除?
今天还有患者问我,放在中间的那个东西手术后要不要拿出来?
我的天啊,放那个东西(椎体融合器)的作用就是要将两个椎体融合成一个,手术后长得好不好还不知道,你就想要把它拿出来,想问他是想不通呢还是想不开呢!记住这个是不用也不能拿出来的!
而对于内固定的顶棒系统,手术后是否要取出来就要根据病人的年龄、自身的要求等因素来决定了。
在椎体基本融合之后,年轻的患者或者是心里有阴影的患者可以酌情考虑取出内固定,而对于年老的患者就不建议取出来了,因为多一次手术就多一次风险,老年人也折腾不起呀,除非是有其他的特殊原因!
17、腰椎间盘突出的患者一定要卧床休息吗?
很多患者因为得了“腰椎间盘突出”,去医院看病,很多医生都会要求患者卧床休息,但这样你想过为什么吗?就一定对吗?

其实要求患者卧床休息是有一定道理的。
人体的椎间盘突出的症状是由于突出的椎间盘压迫后方神经所导致,被压迫的神经会出现水肿引起肿胀,而肿胀的神经会进一步加重压迫的症状导致一个恶性循环。
而平卧的时候,相对于站立和坐位时,人体脊柱的椎体上下存在的压力大大减小,能够减轻对中间椎间盘的压力,有可能促进水肿的神经消肿恢复,减轻症状。从这个方面上来讲,要求患者出现疼痛后卧床休息打破恶性循环,是有一定道理的!

那么,我不躺在床上,后果就很严重吗?
那也不是,这个是要用事实说话的!
国外就有这么一帮人做了研究,结果表明,得了腰椎间盘突出的病人,一直躺着休息跟带着腰围下地走路,对于病人后期的康复恢复效果基本没有差别,甚至带腰围下地走路的病人恢复还要好一点!

其实想一想也可以理解。
很多病人出现腰椎间盘突出是因为腰椎的退行性变或者肌肉韧带保护差所导致的。
一旦医生跟他说,你这个病还比较早期,要多在床上躺一躺,说不定轻症的早期就能自己恢复!医生由于不可能跟患者花很多时间科普,患者自己看完病也不来复查,很多病人就想着自己躺一躺,不用做手术花钱,那必须完全配合医生执行啊,那就在床上躺着吧,躺着躺着全身肌肉都萎缩了,对于腰椎的保护效果就更差了,治疗效果可能比下地走路的还差!

而对于有下地行走的病人,肌肉能够在日常生活中得到刺激锻炼,不至于导致肌肉明显萎缩症状加重。
那么,躺着也不行,站久了也不行,那患者应该怎么做呢?
对于出现神经压迫的症状,不管是平躺还是站立带腰围,遵循的原则一般是没有明显的症状或者是症状能够缓解。因为症状如果持续存在的话,就说明神经还是被压迫着的,那么压迫---神经水肿---再压迫---更肿胀这个恶性循环就没有打破。

因此,无论是躺着还是站着,前提都是要保证自己舒服,自己腰腿痛的症状能够缓解为标准。躺久了不舒服就下地走走,走一走发现不舒服了,就躺下找个合适的位置。下地的时候为了维持脊柱的稳定性,可以佩戴腰围。
18、腰椎间盘突出的病人一定要睡硬板床吗?
这个说法在很多“突友”里面也广为流传,都是说得了腰椎间盘突出的人,睡硬板床对脊柱好。因此很多人不遗余力的制造条件去睡硬板床,甚至有一些就直接睡地板了,更甚之为了避免自己的小孩成为自己的病友,也强迫孩子去睡硬板床!
这样真的对吗?一定要硬板床吗?
其实不一定的,我们先来看看本系列最基础的一张图方便理解一下:

人体正常的脊柱并不是直直的一条,而是具有4个正常的生理曲度,其中包括颈椎的往前凸,胸椎的后突、腰椎的前凸和骶尾骨的后凸。
而人体正常曲度的变化,往往会影响椎体之间的压力,加重或者减轻椎间盘受到的压力,进而加重或者减轻腰椎间盘突出患者的神经压迫症状。
就拿人体站立位和坐立位的改变来说,人体站立的时候姿势基本属于中立位,当从站立变为坐立之后,腰椎的曲度变为后突,相当于两个椎体的后方变大了,作用力全都作用于后方的韧带上,椎间盘突出会比站立的时候更明显,症状也会加重。除非你坐位的时候能够可以维持腰椎的前凸,但很多人往往都做不到!这就是为什么人家常常说“站着说话不腰疼”的原因了吧!

因此,平躺的时候维持正常的脊柱腰椎曲度对于“腰突”的病人尤为重要。但转念一想,如果是床特别柔软的话,不管你脊柱怎么弯曲,柔软的床面都可以将你的脊柱给包住,而人类大部分的时间是在睡觉,一天两天没事,几年坚持下来你看看会怎么样?

而睡相对比较硬的硬板床,能够维持脊柱在一个较为正常的位置,同时给予脊柱充分的支撑,尽可能的避免脊柱处于各种异常的弯曲位置。此外,卧床休息能够减少上下椎体受到的亚阿里,进而减轻椎间盘的压力;一个良好的睡姿能够有效的减少腰椎后方韧带的张力、放松腰部肌肉,从而减轻“腰突”患者腰痛的症状。
但这就意味着一定要睡绝对很硬的硬板床吗?
其实不是的!
首先,很硬很硬的硬板床,或者说是地板很多人睡起来不舒服,会影响患者的睡眠质量;其次,对于很多腰椎间盘突出多为腰椎退化的老年人,身体各个部位供血情况较年轻人差的多,常年睡硬度较大的床容易导致身体骨质突出与床板接触的部位出现压迫,进一步影响局部皮肤血供而出现皮肤缺血坏死的可能,这在很多偏瘫行动不便的老年人中更为常见!

那么对于硬板床,睡也不是,不睡也不适,应该如何选择?
只要不是下图的最后一张图的话,只要舒服,不引起腰部的不适,基本上不用太在意这些细节!
