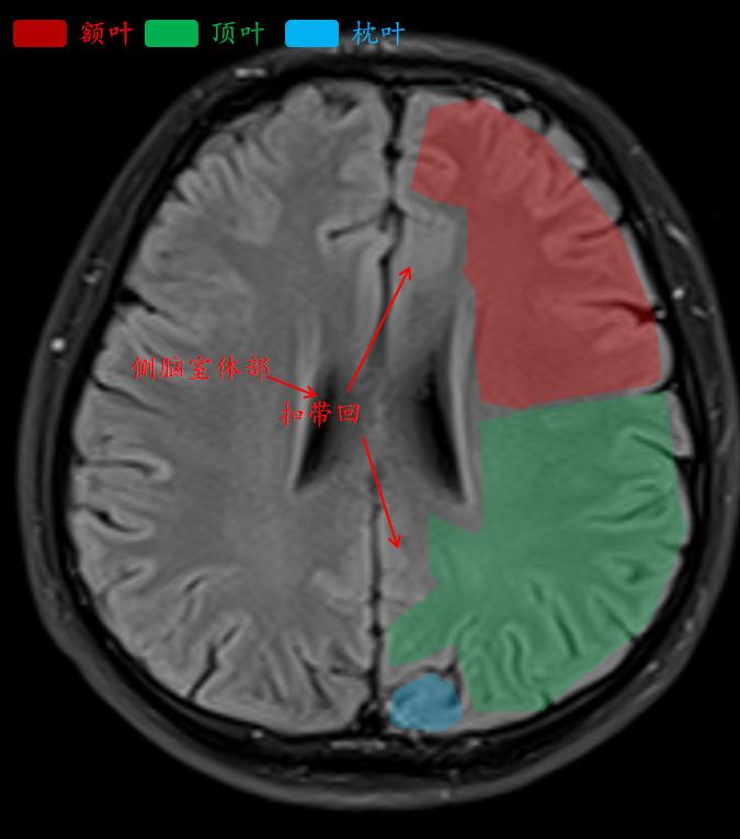
上次的枕叶写成顶叶了,sorry,感谢给我指出错误的人,谢谢
这就是常规医院扫描的t2-flair的相似层厚层间距的图像。
大家对别的解剖感兴趣,我接着做,谢谢


















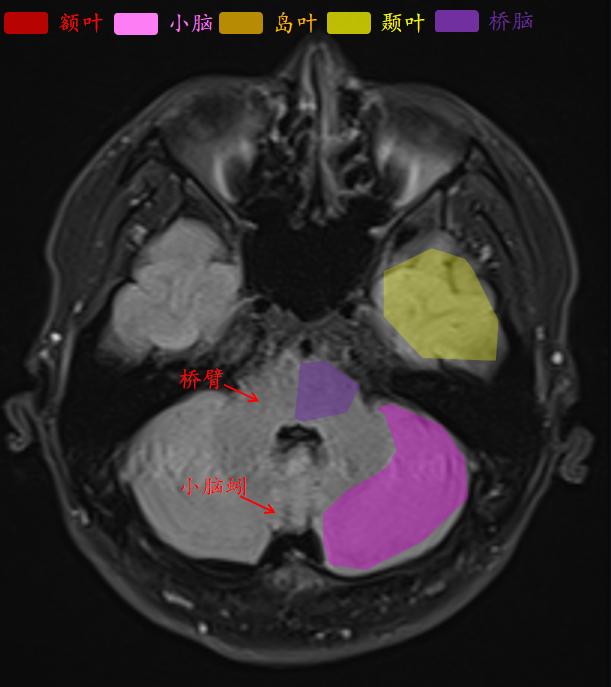
人脑分为:大脑(又称端脑),间脑(背侧丘脑、后丘脑、上丘脑、下丘脑、低丘脑)、小脑和脑干(中脑、脑桥、延髓)。
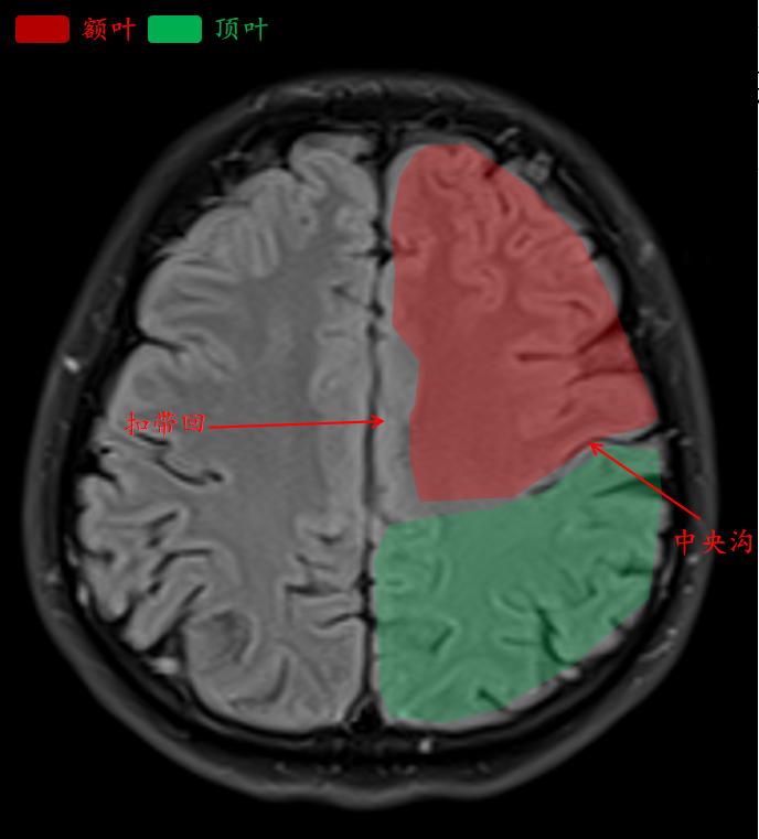
中央沟是额叶和顶叶的分界线。
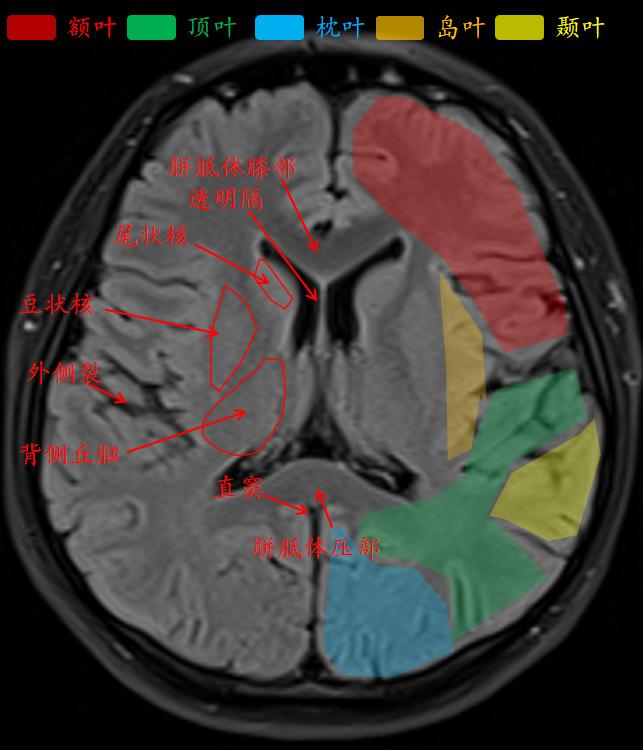
外侧沟把额叶、颞叶和顶叶分开。
顶枕沟把顶叶和枕叶分开。
额叶:主要功能是控制随意运动、计算力、语言、情感(淡漠)和智能,与内脏活动和共济运动有关。
颞叶的主要功能主要是听觉功能。
顶叶的功能与邻近结构有重叠。
枕叶的主要功能是视觉功能。
边缘系统:边缘叶及其相关的皮质下结构(杏仁体、下丘脑、上丘脑、中脑被盖)
回头汇总下:脑血管;颅骨,脑池(小脑延髓池、桥池、环池、四叠体池、鞍上池、大脑大静脉池、大脑纵裂池),脑室(侧脑室、第三脑室、第四脑室),蝶鞍,海绵窦,脑神经等等。
白质是传入或传出大脑皮质的神经纤维组成。
灰质里的基底核是基底神经节。
一嗅二视三动眼,四滑五叉六外展。七面八听九舌咽,外加迷副舌下全。