感谢这么帅气这么美丽的你关注了外科医生“骨科小黑锅”,每日更新医学科普小知识,听听健康有趣小故事!
一、什么是锁骨骨折?

骨折是指骨头的连续性遭到破坏,一般指骨骼遭到破坏;
锁骨是一根连接肩胛骨与胸骨的骨头,锁骨骨折就是指锁骨因为外力作用受到了破坏!
二、锁骨骨折的症状有哪些?
换句话说就是锁骨骨折了,患者会有什么表现,如下几点:
1、锁骨区域的疼痛
这个是最常见的,尤其是在活动肩关节以及上肢的时候;

2、锁骨区域的肿胀
局部的出血、炎性因子的释放等都有可能导致此区域的肿胀、疼痛;
3、锁骨区域皮肤出现瘀斑
局部出血到皮下所致,被人打一拳都鼻青脸肿了,更何况是骨折呢;
三、怀疑锁骨骨折了,需要做哪些检查?
第一时间怀疑骨折了,肯定要到专科医院就诊,早期处理避免病情加重;
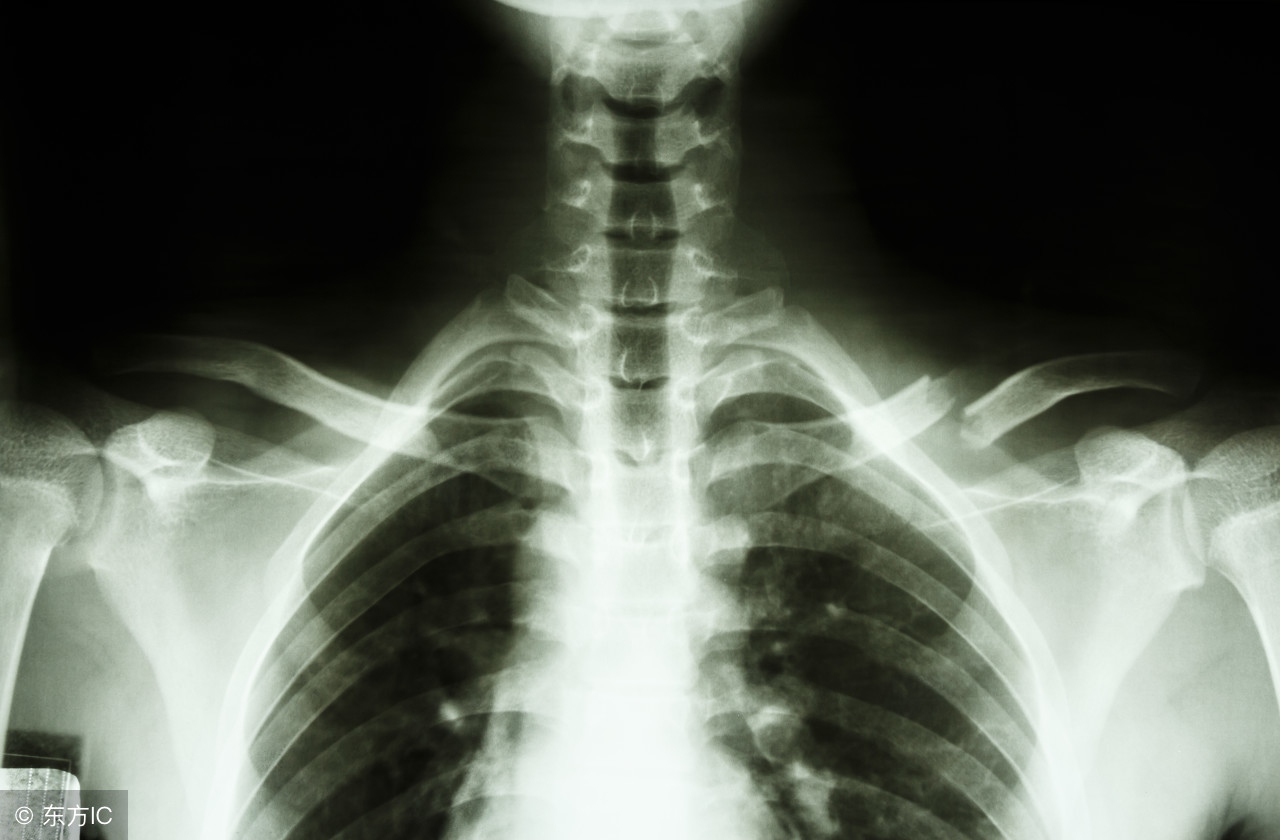
医生会询问患者或者患儿详细的受伤病史,同时辅助查体,必要时会给你安排X线检查明确骨折的类型以及严重程度。
四、什么是小孩子的“青枝骨折”?

所谓的“青枝骨折”是指小孩子骨折后,骨折线没有完全贯穿骨头的宽度,是由于小孩子骨头弹性较好导致,但可能引起骨头的反复骨折。
对于两岁的小孩,发生锁骨“青枝骨折”的可能性较大,X线可以帮助我们确诊!
五、如何治疗锁骨骨折?
治疗方案的选择取决于锁骨骨折的类型以及病情的严重程度!
如果是小孩子没有明显移位又不是很严重的骨折,医生一般会建议使用保守治疗,而非手术治疗:
1、局部冰敷
局部冰敷,有助于减少急性期炎性因子的释放,有助于消炎止痛;
一般建议损伤后持续冰袋冰敷至少6个小时,后面24小时内,每2个小时冰敷1次,1次冰敷至少15分钟;
2、使用绷带或者吊带固定
主要目的是在于避免锁骨的过度活动,避免进一步加重损伤。可以促进骨折的愈合修复。
注意长期固定时需要注意锻炼,避免肩关节周围肌肉萎缩。
3、“8”字绷带固定法

对于大部分单纯锁骨骨折患者来说,此类固定方法有效果。但是要注意,带着非常痛苦!!!
但注意:对于伴有锁骨周围韧带损伤,失去韧带保护的锁骨骨折来说,避免使用“8”字绷带固定法,因为不能支撑手臂的重量,有可能会加重骨折移位,需要大家注意!(如下图)
