每逢假期前必思考:怎么拍照好看点?
网上一搜,发现那些笑的灿烂的照片都好有吸引力!
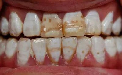
镜子一照!我的牙齿为什么这么黄?!

让你牙齿发黄的3个“罪魁祸首”
◆牙齿表面细菌过多
长期口腔卫生不好会导致牙齿表面细菌堆积,当细菌堆积过多导致牙菌斑形成,于是牙齿就看起来发黄,甚至还会导致龋齿等问题出现。
◆药物因素引起
如果在生长发育的时候服用四环素或者生活中高氟地区的话,这些会导致牙齿变成黄色、棕色。
◆缺乏钙元素
牙齿作为体内骨骼的重要组成部分,当体内钙元素不足会导致牙齿对于食物吸收能力变强,引发色素沉淀,导致牙黄。
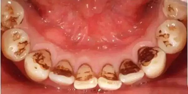
牙齿发黄安全变白的4个妙招
◆使用含小苏打牙膏
如果你是牙齿发黄程度比较轻微,可以考虑使用含有小苏打成分的牙膏进行刷牙,能够一定程度将牙齿表面的黄色沉积物刷掉,但是效果可能不是特别明显。
◆超声波洁牙
牙齿发黄明显可能是色素沉积、牙菌斑和牙结石过多引起的,此时最好的办法就是进行超声波洁牙,将牙结石等沉积物清理干净。
◆药物美牙
希望牙齿能够白过自然牙色的,需要到正规的口腔医院进行牙齿美白,涂抹上合适浓度的药物,利用光的作用将附着在牙齿的色素进行还原,从而让牙齿变白。
◆牙齿贴面
牙齿颜色发黄较严重且有缺损等情况的话,可以选择全瓷贴面将原本的牙色遮盖住。
提醒各位街坊,牙齿美白需要到正规的口腔医疗机构进行,切勿听信广告前往无证小诊所进行美牙。