建议收藏!
先上图:


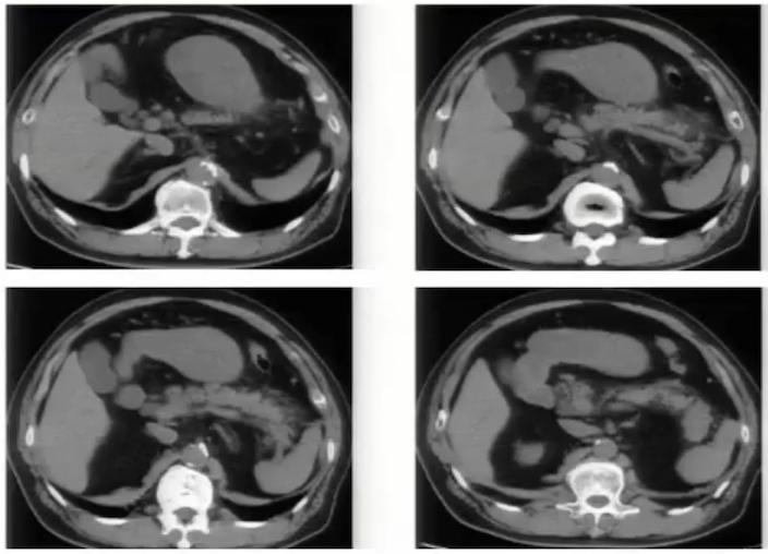
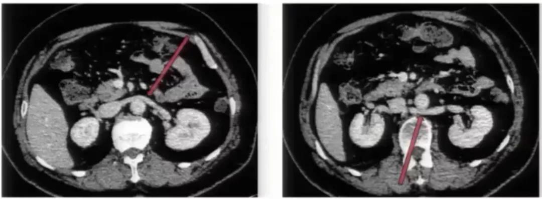
图1:腹膜后方下腔静脉处于腹主动脉左侧;左肾静脉出左肾门后,汇入下腔静脉路径缩短

图2:冠状位重建显示下腔静脉肝段和肝下段缺如,向上直接延续为奇静脉
从这两张腹部CT,你能看出这是什么疾病吗?
答案
点击下方,滑动空白处,获得答案!
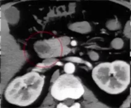
肾癌伴血管结构畸形
肾癌伴血管结构畸形患者的血管结构畸形往往容易被忽视。 在手术的过程中,如不注意就可能造成肝右叶血流的回流障碍,导致严重的临床后果。
腹部涉及的脏器较多,包括消化、泌尿、生殖等多个系统,在发育过程中会出现很多变异和畸形。 有些变异和畸形影像表现明显或容易出现临床症状,被多数医生所熟知。 另一些变异和畸形影像表现不明显或没有明确的临床表现,导致部分医生对其不甚了解,但这些变异和畸形在某些特定情况下会具有比较重要的临床意义。
2020年10月31日,来自吉林大学第一医院的王景宇教授在中华医学会第二十次全国消化系病学术会议(CGC)上分享了“腹部易被忽略的变异和畸形”,为临床中腹部疾病的诊治提供了思路和经验。
01
胆囊管低位汇入
胆囊管低位汇入:胆囊管汇入肝外胆管(括约肌段除外)的下1/2段。过长的胆囊管经肝总管右后侧进入肝外胆管的后方,并在螺旋绕行的过程中,汇入其左侧壁、后壁或前壁。
临床意义:
①胆汁进出胆囊障碍,容易引起胆囊炎症及结石;
②胆囊切除手术时导致胆囊管残端过长,残留结石,甚至扩张形成残余胆囊;
③平行低位汇入的胆囊管与肝总管被纤维组织包绕在一起,右肝管、肝(胆)总管可能被误认为胆囊管钳夹、离断,造成医源性胆管损伤。
影像表现:
①CT及MR横断面图像容易被忽略;
②CT多平面重组及MRCP图像可以清晰显示,但需对该变异有一定认识。
案例分享:

图3:胰尾部肿胀,伴有急性渗出

图4:胰头与胆总管的交汇处,胆总管不规则,呈爱心状,内有线状分隔

图5:MRCP显示胆囊管明显迂曲延长,汇入肝总管位置偏低,肝总管长于胆总管
02
胰腺分裂症
胰腺分裂症是一种常见的胰腺发育变异,背侧胰管和腹侧胰管未融合,腹侧胰管仅能引流胰头部胰腺分泌的胰液,而背侧胰管引流胰腺体、尾部的胰液,直接开口于十二指肠副乳头。
临床意义:
一般无临床意义,少数患者可以引起腹痛或反复发作的胰腺炎。
影像表现:
CT及MR横断面图像容易被忽略,MRCP图像可以清晰显示。
可分为四型:
①主、副胰管完全不融合,相互间无任何交通吻合支,约占80%;
②主副胰管之间有细小的交通支,但不足以通畅引流,又称功能性胰腺分裂或不完全胰腺分裂,约占5%;
③腹侧胰管完全缺如,主乳头上无胰管开口,约占15%;
④背侧胰管完全缺如,临床上比较罕见。
案例分享:

图6:胆总管巨大囊肿,胆囊管汇入囊肿,存在胰管分裂
03
环状胰腺
环状胰腺是指 胚胎期两个胰芽( 腹胰与背胰) 的愈合位置不正常,当十二指肠旋转时,腹侧胰芽固定不动并延长,以后与背侧胰芽联合时将十二指肠降部环绕。
临床意义:
①儿童与成人病例的临床表现差异较大;
②儿童患者主要表现为十二指肠梗阻,可伴发其他器官先天异常;
③成人环状胰腺可无临床症状,如出现症状,主要表现有腹痛、呕吐、胰腺炎等,伴发其他器官的先天异常和十二指肠梗阻相对少见。因往往合并胰胆管汇合异常,故可合并胰腺、胆道肿瘤。
影像表现:
CT或MR图像上,十二指肠降段完全或部分被胰腺组织包裹,分别称为完全性或不完全性环状胰腺,CT如口服阳性对比剂则更加直观。
根据环状部胰管的走行,环状胰腺可分为4型:
Ⅰ型:环状部胰管汇入主胰管;
Ⅱ型:环状部胰管单独开口于胆总管末端,与主胰管不交通;
Ⅲ型:环状部胰管与胆总管并行开口于十二指肠乳头;
IV型:环状部胰管开口于副胰管。

图7:四型环状胰腺
高分辨MRCP可能显示环状部胰管走行,并显示胆管与胰管之间的汇合异常。
案例分享:


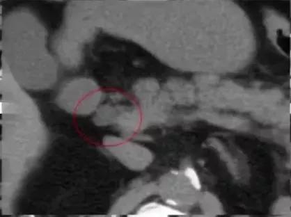
图8:CT局部放大可见十二指肠降段大部分被胰头包绕
04
中肠旋转不良
中肠旋转不良是指 胚胎第6周,肠袢突入脐腔,以肠系膜上动脉为轴心逆时针90°旋转,第10周时,空肠领先,回肠、盲肠、 升结肠相 继退回体腔,并逆时针180°旋转,第11周末时,盲肠下降至右下腹,中肠系膜与后腹膜融合,将十二指肠,盲肠、升结肠固定在膜腔后方。
先天性肠旋转不良是指胚胎期肠道以肠系膜上动脉为轴心逆时针旋转270°的过程发生障碍,使肠道位置发生异常和肠系膜附着不全的一种先天性畸形。
临床意义:
①多无症状,如出现症状可表现为肠梗阻、反复腹痛、腹胀,可合并肠扭转等严重并发症;
②临床误诊,如合并阑尾炎可导致体征在右上腹或左下腹;
③术前估计不足。
影像表现:
肠管位置异常:根据旋转不良程度,可以表现为回盲部高位,空肠右位、回肠左位等,典型表现为十二指肠水平段未走行至左上腹而折曲向右,小肠位于右腹部,结肠位于左腹部,回盲部及阑尾位于左下腹或盆腔。
肠系膜血管位置异常:肠系膜血管的“换位征”和“漩涡征”。
肠梗阻表现:肠管扩张、积气积液、肠壁增厚等。
案例分享:
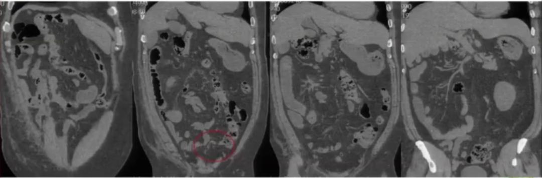
图9:右侧腹部未见升结肠影,中腹部偏左见有结肠带肠管,其下端可见阑尾影
05
主动脉后型左肾静脉
主动脉后型左肾静脉是一种少见的左肾静脉先天发育异常,有两种分型:完全性主动脉后型,即左肾静脉走行于主动脉的后方,并汇入下腔静脉。环主动脉型,即左肾静脉分两支,分别位于主动脉前后方。
临床意义:
①避免肾脏手术时,左肾变异静脉误切、误扎;
②左肾静脉主干或分支走行于主动脉和脊柱之间,受到两者挤压引起左肾静脉血回流障碍,称后胡桃夹综合征,引起血尿或蛋白尿;
③左肾癌时,变异的左肾静脉可出现癌栓。
影像表现:
完全性主动脉后型左肾静脉:左肾静脉主干出肾门后横行走行,经过腹主动脉后方汇入下腔静脉,少数左肾静脉向右下走行,横行经过左髂总动脉后方汇入左髂总静脉。
环主动脉型左肾静脉:左肾静脉主干出肾门后分成前、 后两支,前支走行正常,后支可在同水平或斜向右下走行,经过腹主动脉后方汇入下腔静脉,另有少见两条左肾静脉独立自肾门发出。主动脉后左肾静脉主干或分支受压,近端增粗,其属支包括左侧生殖静脉、肾上腺静脉及腰静脉曲张。
案例分享:

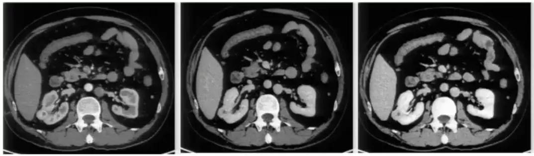
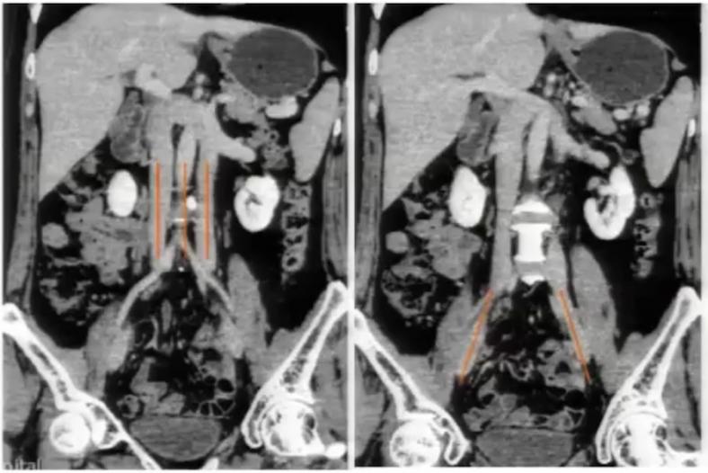
图10:中腹部增强CT显示腹主动脉前后各走行一左肾静脉,分别汇入下腔静脉
06
下腔静脉畸形
下腔静脉畸形 以双下腔静脉畸形及左下腔静脉畸形最常见。
左下腔静脉畸形为肾下段下腔静脉在主动脉的左侧上升,与左肾静脉汇合,通过主动脉前方与右肾静脉汇合,并在此水平上形成正常的右下腔静脉。
双下腔静脉畸形表现为左下腔静脉终止于左肾静脉,通过主动脉前方汇入右下腔静脉。
临床意义:
绝大多数情况无症状,不具有临床意义; 先天性下腔静脉畸形是引起特发性深静脉血栓的高危因素之一; 对涉及心脏、肝脏、肾脏及腰膜后的手术,可能会增加手术风险。
案例分享:

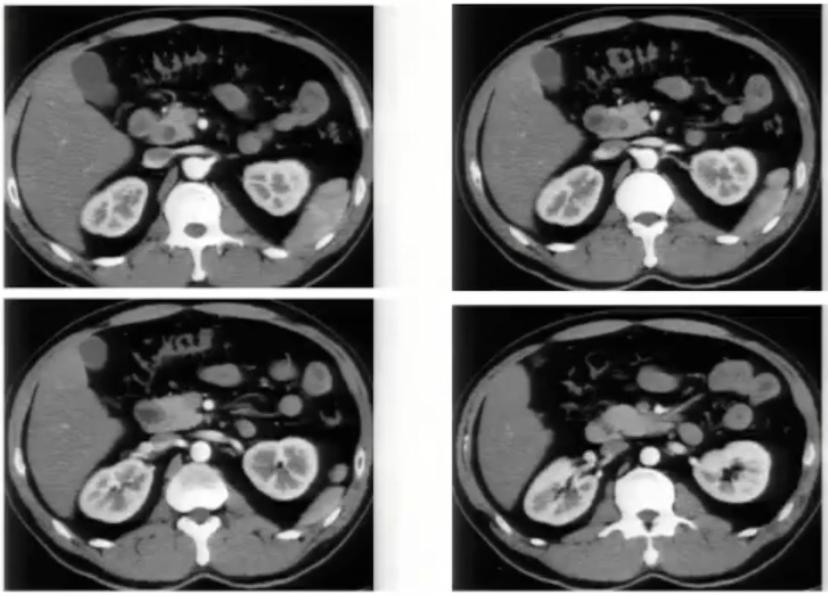
图11:腹主动脉两侧均有下腔静脉影,左侧下腔静脉向上与左肾静脉汇合后,在腹主动脉前方绕行,移行为右侧下腔静脉
小结
影像医生对“多”很敏感,对“少”次之,但有时对正常结构的走行及位置异常容易忽略,某些时候,忽略的变异或畸形可能会带来严重的后果,熟悉正常解剖及相关影像知识、临床知识,可以避免相关的漏诊。
本文审核

赵新医师
副主任医师,天津医科大学总医院放射科,毕业于天津医科大学影像医学与核医学专业,获医学硕士学位。
从事影像诊断工作近20年,擅长消化、泌尿及生殖系统影像诊断,在国内中华系列期刊及核心期刊发表论著多篇,获天津市科学技术进步三等奖一项,天津市抗癌协会肿瘤影像专业委员会委员。
本文首发:医学界消化肝病频道
本文作者:CGC报道组 大高个
【版权声明】本平台属公益学习平台,转载系出于传递更多学习信息之目的,且已标明作者和出处,如不希望被传播的老师可与我们联系删除