视频加载中...
到医院看病做了CT、X光、磁共振等各类检查,检查结果是纸质胶片,转诊复诊都得带上,多少有些不方便……
好消息!
长治医学院附属和平医院数字云影像服务
已正式上线~
再也不用排队领取检查胶片啦!
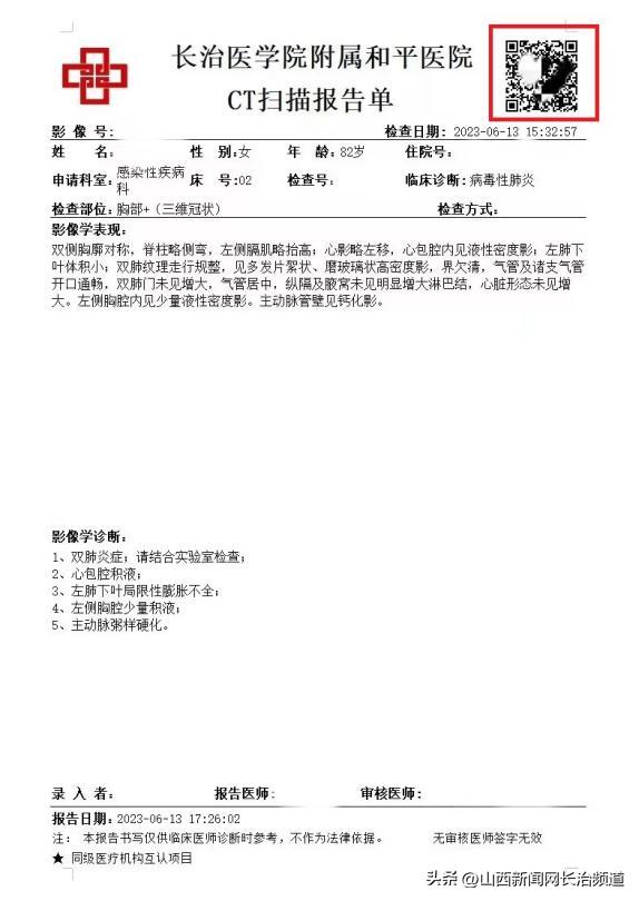
患者做完影像检查,通过手机关注“长治医学院附属和平医院”微信公众号、扫描检查单上的二维码、报告的短信提醒链接等方式即可直接浏览、*载下**电子影像报告。
患者可随时查询检查结果,转诊、复诊时也可以减少重复检查,既方便又省心。
01
什么是数字影像服务?
数字影像服务是指医院在做X线、CT、MR检查时,将原始生成的无损DICOM格式影像数据储存在云服务器上,患者在做完影像检查后,无需等待胶片打印,通过扫描报告单上的二维码等,便可在手机、Pad、电脑等终端查看、*载下**、分享检查的原始影像数据和报告。
就诊更便捷
诊断更精准
分享更方便
应用更环保
费用更节约
02
如何使用数字影像服务?
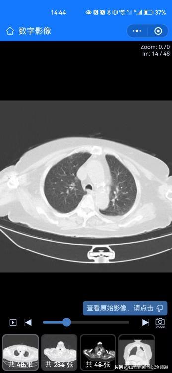
1、打印报告单,手机扫描报告单上二维码进入检查详情页


2、点击“检查报告”图标及“查看影像”图标分别查看检查报告及原始影像数据



2、点击“分享检查”图标分享影像检查数据




长治医学院附属和平医院 上线的数字影像服务有效解决了传统胶片的各种困扰,助力缓解患者“看病难、排队难、等待烦”的问题,极大提高了患者就诊效率,改善患者的就医体验。
(来源:长治医学院附属和平医院)
(责任编辑:张文卫)