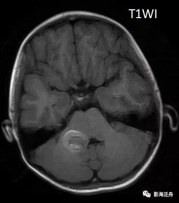
话不多说,上病例:患者女,12岁,头晕、头痛伴呕吐一天,无发热,无咳嗽,入院后行MR平扫检查,如下图↓↓





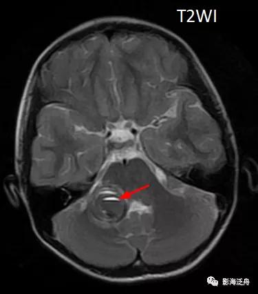
上图可见右侧桥臂一类圆形异常信号,T1WI呈中央稍低信号,边缘环形高信号,T2WI以低信号为主,局部可见液液分层(红箭),高、低b值DWI显示病变区域信号丢失。通过上述信号改变,不难看出是一个急性期血肿(血肿分期详见 MR上脑出血信号的演变机制)。
诊断脑出血显然并不能真正解决问题,因为绝大多数朋友都会疑惑为什么这么小的孩子会脑出血,会不会有脑肿瘤或者血管畸形?为明确诊断则需要进一步检查,进一步检查可以选择MR增强或SWI(磁敏感加权)。
不过影像科医生在报告上打个进一步检查很容易,但要站在患者家属的角度去看,可能并不容易,抛开检查费用不谈,做MR增强检查要打造影剂,那么造影剂有没有副作用、会不会引起过敏?假如去做SWI,可能又要重新预约排队,还要拉着孩子再跑一趟影像科,等待检查或者转运过程中会不会导致出血范围扩大?这些因素会阻碍很多患者真正得到进一步检查。
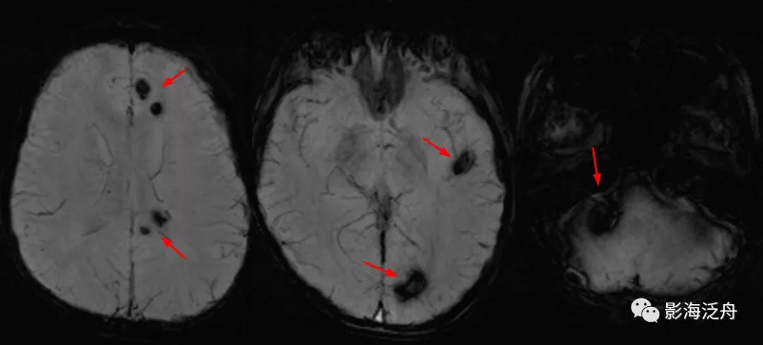
比如本例患者就没有及时进一步检查,只是保守治疗后常规复查,直到一年以后才做了SWI,如下图。

SWI可见左侧大脑半球多发低信号结节(红箭),病灶多位于皮髓质交界区,直径较为一致,结合患者年龄、病史,不难诊断这是一例多发海绵状血管瘤。
诊断虽然明确了,但故事到这里还没结束,回过头去看患者第一次检查的低b值DWI序列,可以发现这些病灶其实早就存在。但为什么第一次检查的时候没有及时发现呢?想必这大概率是因为大家对低b值DWI序列认识不足造成的,尤其是低年资诊断医生和神经科临床医生往往会自动忽略掉低b值DWI序列,再或者就是把低b值DWI误认为是高b值DWI序列。

在低b值DWI序列可以看到左侧大脑半球多发磁敏感伪影(红箭)。
笔者最近也看了一些文章,多数主张把低b值DWI序列当做是低配版的T2WI序列或是重T2WI序列,根据重复时间(TR)来看,这么解释确实没毛病,DWI的TR=3200ms,时间够长,也意味着T2权重够重。但问题是我们已经扫了标准的快速自旋回波T2WI序列,那么还有必要看这个模模糊糊的图吗?
答案当然是肯定的。
众所周知,常规的颅脑MR平扫由四个序列/五组图像构成:T1WI、T2WI、FLAIR、DWI。其中DWI序列由两组图像组成,一组为高b值(一般为b=600~1000),一组为低b值(b=0),b值的高低由扩散敏感因子决定,这个是扫描前设定好的参数,我们没必要去管。今天重点聊一聊平面回波成像技术(echo planar imaging,EPI)。

以脑部常见的DWI序列为例,EPI是在单个SE序列(90°RF+180°重聚焦)之后采用梯度场的连续、快速、正反向切换来采集信号,由于整个成像过程只接受了一次脉冲激发,此外还要加上层面、频率、相位方向上三个互相垂直的梯度场,故而对局部微磁场的变化相当之敏感,且基础信噪比(SNR)奇低无比,所以DWI除了辨别组织有无弥散受限之外,还具有两个显著特点:一是容易形成磁敏感伪影(局部信号丢失/低信号),原因可以是出血、液体流动、软组织与气体交界面、钙化等;二是图像非常模糊。根据第一个特点,我们完全可以把DWI序列等价为一个低配版的SWI序列。
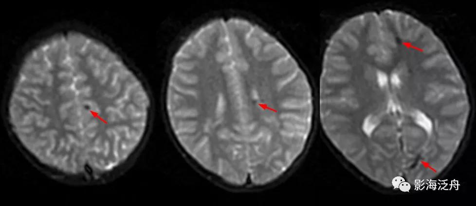
从理论上讲,无论高b值DWI还是低b值DWI序列都应该对磁敏感伪影很敏感,但实际情况是不是这样呢?看下图↓↓


上图可以发现,在低b值DWI序列上左侧额顶叶交界区的病灶显示清晰(红箭),但在高b值DWI序列上,除病灶外,多个脑沟也表现出磁敏感伪影(绿箭)。因此,当病灶足够小或者数量比较少的时候很难区分到底是伪影还是病灶,而低b值DWI序列可以较好地解决这一问题。
最后,是不是有了DWI就不需要做SWI序列了呢?显然不是,因为两者的成像机理差异很大,同时SWI序列还采用了完全流动补偿法以及三维成像技术,除大幅降低背景中的磁敏感伪影外,层厚还可以搞得非常薄,因此可以更加有效地检出微出血灶。
唠唠叨叨说了这么多,其实就是想让大家明白低b值DWI也有其应用价值,在平时工作中用好手中这杆“枪”,就能减少很多漏诊病例!
来源:影海泛舟
【版权声明】本平台属公益学习平台,转载系出于传递更多学习信息之目的,且已标明作者和出处,如不希望被传播的老师可与我们联系删除