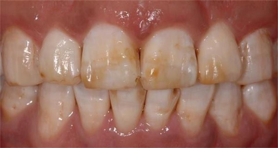
牙黄最影响的就是形象,对于我来说可谓是灾难啊!尤其是化完妆整口牙露出来像荷包土鸡蛋的感觉,难看极了,就像是没刷过牙似的,太尴尬了,非常影响我的生活和工作...

我也尝试了一些方法查了一些资料,得知这种属于外源性牙黄,对于这种要用到针对性强的口腔清洁用品,以下都是我用过有效果的,对牙齿清洁有很大帮助,大家都可以看看。
一、牙膏换牙粉
在了解到牙膏对于牙粉来说只能起到清洁作用后就停用了,转而换了牙粉用,因为牙粉是粉状具有摩擦性,对于牙渍、牙垢的分解效果更强,所以是不二之选,尤其是这个“欧丹锦牙粉”是我用过效果最温和最好的一个。

这个牙粉的粉质是白色的,摸起来很细腻,味道也好闻,是柠檬薄荷香味,我平时都是牙刷直接蘸取刷牙,刷完牙后感觉嘴巴里面很清爽,口腔里的不适感瞬间没了,用了半个月左右,一些牙缝处的牙垢牙渍也被刷掉了,牙面上的牙渍也刷掉了很多,牙齿表面感觉也更光滑了。

差不多一盒用完牙齿就白了一大截,之后又用了一盒打算巩固一下,两盒用完牙齿就基本刷白了,而且用到现在也没有复黄的迹象,效果很持续!
二、使用小苏打
半勺小苏打和再小半勺的食用盐搅拌在一起,再加一点盐这样摩擦力能大些,牙刷蘸取后用来刷牙,这是我无意间刷视频看到的一个可以美白牙齿的方法,当时坚持了小半个月的时间,可能是因为摩擦力度比较大的缘故,牙齿虽然看起来变白了一点,但表面并不是那么光滑!

后来看网上说,小苏打是属于弱碱性的物质,长期的使用小苏打刷牙会打破口腔内的酸碱平衡,所以后面我就没再用来刷牙了。
三、使用漱口水
平常用的比较多的是这个“高露洁漱口水”,因为它蛮温和的,我之前也用过其他的,有的薄荷味太重了会辣嘴,经过对比后才选了这个。除了饭后会用它来漱口,有时候要是吃重口味食物,晚上也会在牙杯里倒两瓶盖,兑水后用来刷牙,增强清洁力度!

以上这些都是我实践过有效的方法,大家可以根据自己的情况参考使用,希望对大家有用哦~