陆博,口腔医学博士,副主任医师。热衷于用简单明朗的文字,为市民普及口腔健康知识,保持口腔健康的关键在于:“预防大于治疗”!
首先放个数据。
正常来讲,烤瓷牙单颗的价格在 800元 左右;全瓷牙单颗价格在 2000元起 。
乍一看,价格翻了不止一倍。若多颗修复的话,价格差距更大。
很多人都有这样的想法:名字就差了一个字,凭什么全瓷牙就这么贵?
今天就让我们来看看,全瓷牙VS烤瓷牙,到底是谁更胜一筹?

全瓷牙和烤瓷牙的差别如下——
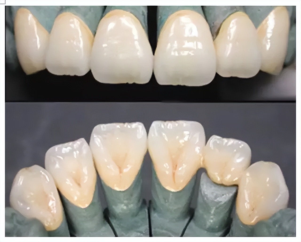
1、全瓷牙外观更像真牙。
这是因为 因为烤瓷牙金属内冠的构成,需用不透明瓷遮盖金属基底,会影响牙冠最终的透明度,烤瓷牙修复往往最终会“看起来非常不自然、假白”。
全瓷牙内部由陶瓷构成,拥有良好的透明性与折光性,基本上看着与真牙没有区别。

2、全瓷牙不会造成磨损。
由于烤瓷牙的硬度大于牙釉质,日常使用很容易造成对牙颌骨的磨损、发炎等问题。
而全瓷牙的硬度与牙釉质近似,所以一般不会对牙颌骨造成磨损。

3、全瓷牙没有“黑线”的问题。
烤瓷牙内部金属会在口腔内氧化,逐渐在牙龈根部形成灰色氧化物,形成一道很明显的黑线,影响美观;全瓷牙则没有这种问题。

如图所示,影响美观
4、维护牙龈健康。
部分烤瓷牙的金属,对牙龈有较严重的刺激,部分人(尤其是女性)对其过敏,造成牙龈肿胀、出血,甚至有患者对贵金属也过敏;全瓷牙则基本没有发现敏感病例。

总之,烤瓷牙和全瓷牙所用的材质不同,
正是这用材的差别,使得全瓷牙无论是美观还是性能甚至是价格都要略高一筹。
所以,在经济可承受的情况下,还是推荐大家首选全瓷材料。
还想了解
「拔牙 洗牙 种牙」等
更多口腔健康小知识吗?
关注我的头条号就告诉你!
知识不易,且看且记哈~