及金宝,常伟,郭巍娜.心电图表现、心肌酶正常的急性心肌梗死一例报道[J].实用心脑肺血管病杂志,2019,27(6):114-117.
文章原文请点击查看更多,或点击官网:www.syxnf.net

病例简介
患者,男,55岁,主因“间断活动后胸闷2个月余”而于2018-06-15入住上海市东方医院,患者入院前2个月活动或劳累后出现胸闷不适,并伴有血压升高,休息后可缓解,无胸痛,期间在其他医院检查心脏彩超、心电图、心梗三项、脑钠肽(BNP)、肝肾功能及心肌酶谱等均正常,排除器质性疾病,考虑心理因素,遂予以疏肝解郁胶囊治疗。患者于入院前1d再发胸闷,无胸痛,心电图检查正常。
既往史
高血压病史2个月余,最高血压193/100mmHg(1mmHg=0.133kPa),口服马来酸依那普利叶酸片后血压控制平稳;痛风病史10余年,间断*药性**物治疗,近日无痛风发作;无糖尿病、慢性支气管炎病史;无家族遗传病史。
查体
血压130/85mmHg,心前区无异常隆起,心尖搏动位于左锁骨中线外1.0cm与第5肋间交界处,心前区无抬举感、震颤及心包摩擦感;心界不大,心率67次/min,律齐,未闻及心脏杂音、额外心音、奔马律,周围血管征(-)。
心脏超声检查结果
心内结构及血流未见明显异常,左心室收缩功能正常。入院时心电图检查结果正常,见图1。

图1 入院时心电图检查结果
动态心电图检查结果
(1)全程基础心律为窦性心律,平均心率68次/min;
(2)房性/房室连接处心律失常总心搏数6次;
(3)未见室性心律失常;
(4)全程无缺血性ST-T段改变。
实验室检查结果
同型半胱氨酸为21.9μmol/L,血管紧张素Ⅱ为242.1ng/L,醛固酮为303.5ng/L。
6月16日患者冠状动脉CT血管造影(CTA)检查结果:
(1)右冠状动脉中段非钙化斑块,管腔轻微狭窄(狭窄率为15%);
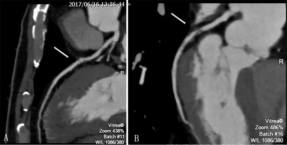
(2)左前降支近、中段钙化、非钙化斑块,管腔轻中度狭窄(狭窄率为30%~60%),左旋支近段钙化、非钙化斑块,管腔重度狭窄(狭窄率为80%),见图2。

图2 冠状动脉CTA检查结果
注:A为左前降支近、中段钙化、非钙化斑块,管腔狭窄为30%~60%(箭头指向处);B为左旋支近段钙化、非钙化斑块,管腔狭窄率为80%(箭头指向处)
建议患者进一步行冠状动脉造影,患者拒绝并计划于6月20日出院。出院当天清晨患者突发胸闷,乏力,予以保心丸含服,心电图检查结果正常,取消出院计划并进行心肌标志物检查及冠状动脉造影。
心肌标志物检查结果

心肌肌钙蛋白I(cTnI)为0μg/L(参考范围0~0.3μg/L),肌酸激酶同工酶(CK-MB)为3.42μg/L(参考范围<5.0μg/L),肌红蛋白(MYO)为56.43μg/L(参考范围20~80μg/L),N末端脑钠肽前体(NT-proBNP)为265.27ng/L(参考范围<300ng/L),D-二聚体为179.09μg/L(参考范围<200μg/L),C反应蛋白(CRP)为8.07mg/L(参考范围0~8mg/L)。
冠状动脉造影结果
右优势型;左主干无狭窄;前降支近段狭窄率为30%,近中段狭窄率为60%~70%,TIMI血流分级3级;左回旋支近段至远段长病变,最严重部位狭窄率为90%(见图3A),钝缘支(OM)1近段狭窄率为75%,OM2近中段管壁不规则,TIMI血流分级3级;右冠状动脉未见明显狭窄,TIMI血流分级3级。
患者行经皮冠状动脉介入治疗(PCI)并于左回旋支近段至远段病变处植入2.75mm×38mmXiencePRIME支架1枚,术后冠状动脉造影结果示血流通常、血管充分显影(见图3B)。

图3 冠状动脉造影检查结果
注:A为PCI术前冠状动脉造影检查结果,示左回旋支最严重部位狭窄率为90%(箭头指向处);B为PCI术后冠状动脉造影检查结果,示血流通常、血管充分显影(箭头指向处)
复查心电图显示ST-T段形态无明显变化(见图4)。

图4 PCI术后心电图检查结果
PCI术后患者胸闷症状好转,给予阿司匹林肠溶片100mg、氯吡格雷75mg口服,6月22日出院当天患者再诉胸闷不适,心电图检查结果未见明显改变(见图5),结合冠状动脉造影检查结果考虑为心理因素,准予出院并门诊随访。

图5 出院时心电图检查结果
病例提示
本例患者存在典型的活动后胸闷症状,但心电图表现、心肌酶均正常,胸闷多次发作导致患者焦虑,进而被误诊为焦虑症状。既往研究表明,AMI与焦虑或抑郁共病情况普遍存在,焦虑和抑郁作为负性情绪,可促进AMI的发生发展,且与AMI患者全因死亡率、心源性死亡率及不良心血管事件有关。因此,对伴有明显心绞痛症状及焦虑情况,但心电图表现及心肌酶正常的患者应考虑AMI的存在。心电图检查是诊断AMI的重要手段,但临床上仍有25%~35%的AMI患者心电图无特异性改变。
目前国内外指南推荐使用“第三版心肌梗死全球定义”,其强调了AMI的病理学定义,即由持续较长时间的心肌缺血导致的心肌细胞凋亡。
AMI的诊断标准为cTnI水平超过99%参考范围上限值且符合下列条件中的至少1项:
(1)心肌缺血症状;
(2)心电图检查发现新发缺血性改变(如ST-T段改变或左束支传导阻滞);
(3)心电图检查结果示病理性Q波;
(4)影像学证据提示新发局部室壁运动异常或存活心肌丢失;
(5)冠状动脉造影或尸检发现冠状动脉内存在新鲜血栓。
AMI患者心肌损伤常早于临床症状,因此心肌损伤标志物结合心电图检查及临床症状有助于早期诊断AMI,进而改善患者预后。目前临床常用的心肌损伤标志物有cTnI、CK-MB、MYO、CRP、心型脂肪酸结合蛋白及和肽素等。
SABATASSO等研究表明,心电图检查正常的AMI患者多伴有心肌酶谱动态升高,或随着病程进展心电图逐渐出现ST-T段变化,但本例患者多次检查心电图及心肌酶均显示正常,提示AMI临床表现多种多样,临床医生在诊断不典型AMI患者时应全面考虑、综合分析,以提高AMI诊断率,减少误诊、误治情况。
编辑:高晓欢