最近有一位朋友,他的母亲查出肺粘液腺癌,正在想方设法帮助老母亲战胜这个敌人!
豪大夫是影像医生,对治疗方面不敢多言。
今天只分享一个抗癌50个月的老太太,希望对读者朋友有借鉴和鼓励作用。
这是一位62岁的小老太,咳嗽咳痰伴低热一个月,伴有白色粘液痰。
胸部平片示重症肺炎表现(2012-7-23),临床伴有II型呼吸衰竭表现。

经莫西沙星、依替米星抗感染对症治疗半月,效果不明显。
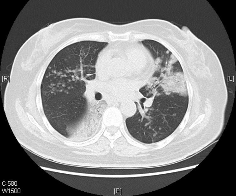
做了经皮肺穿刺,确诊为肺黏液腺癌:

伴有气道转移
什么是肺粘液腺癌?

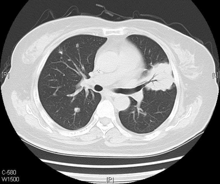
在影像上,黏液腺癌分两种类型:结节肿块型和肺炎型。
肺炎型的初期常被误诊为肺炎,上图的老太太就属于这个类型。
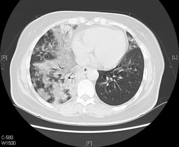
接着看她往下的CT层面:


从CT片上我们可以看到:老人的黏液腺癌还发生了气道转移。
什么是气道转移:
定义:癌细胞从原发灶通过气道非连续性传播到邻近或远端肺实质。
CT提示气道播散的征象包括:多发小叶中心结节,分支模糊呈树芽征,通常边界不清,可见磨玻璃影。
1.气道播散形成的结节呈聚集分布,可以融合增大,有时也可形成空腔。
2.当转移灶远离原发灶时,所形成结节多分布于肺叶下部。
3.在患有肺腺癌的患者CT中发现持续存在或逐渐增长的小叶中心结节时,应考虑到气道转移的可能性,尤其是这些结节伴有侵蚀性、粘液性,呈乳头状或微乳头状分型。
4.部分小细胞癌亦可发生经气道转移。
5.有专家认为:气道型转移一般生长速度较快,对化疗不敏感。
下面我们继续讲老太太的治疗经过:
根据病理结果,医生停止了抗生素治疗,开始施行DP方案化疗。
(DP:多西他赛+顺铂)
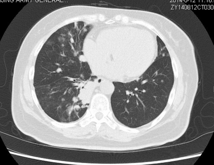
DP化疗三个周期之后,患者咳嗽咳痰症状减轻了,但胸部CT复查病灶缩小不明显:

第四周期更换为GP方案化疗(吉西他滨+顺铂),症状持续减轻。
结果这时出了个意外,老太太晚上睡觉忘记关窗户,第八天时感冒了,不能耐受继续化疗。
反正症状减轻了,老太太就先出院调养了。
在第五个月的时候,咳嗽咳痰症状又开始出现,做了基因检测,阳性!
口服靶向药物吉非替尼(易瑞沙)治疗。


之后多次复查,病灶持续缩小。
在第2年半的时候,更换过新的靶向药物。
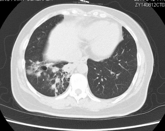
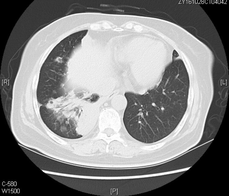
以下是第50个月的时候复查:


与两年前对比,病灶有所增大,但未影响肺功能,老太太总体状态很不错!
该患者在确诊时已经属于肺癌晚期伴有多发转移,最后一次随访时,已经带瘤生存50个月。
这是一个奇迹!
优质的医疗资源,更容易创造奇迹!
这里是影像科豪大夫,谢谢阅读!